Suppr超能文献

微管聚合产生对循环肿瘤细胞侵袭很重要的微触手。

Microtubule polymerization generates microtentacles important in circulating tumor cell invasion.

作者信息

Kainka Lucina, Shaebani Reza, Kaiser Kathi, Bosche Jonas, Santen Ludger, Lautenschläger Franziska

机构信息

Department of Natural Science, Experimental Physics, Saarland University, 66123 Saarbrücken, Germany.

Department of Natural Science, Theoretical Physics, Saarland University, 66123 Saarbrücken, Germany; Center for Biophysics, Saarland University, 66123 Saarbrücken, Germany.

出版信息

Biophys J. 2025 Jul 1;124(13):2161-2175. doi: 10.1016/j.bpj.2025.05.018. Epub 2025 May 26.

Abstract

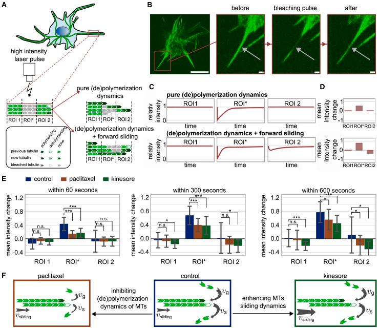
Circulating tumor cells (CTCs) have crucial roles in the spread of tumors during metastasis. A decisive step is the extravasation of CTCs from the blood stream or lymph system, which depends on the ability of cells to attach to vessel walls. Recent work suggests that such adhesion is facilitated by microtubule (MT)-based membrane protrusions called microtentacles (McTNs). However, how McTNs facilitate such adhesion and how MTs can generate protrusions in CTCs remain unclear. By combining fluorescence recovery after photobleaching experiments and simulations we show that polymerization of MTs provides the main driving force for McTN formation, whereas the contribution of MTs sliding with respect to each other is minimal. Further, the forces exerted on the McTN tip result in curvature, as the MTs are anchored at the other end in the MT organizing center. When approaching vessel walls, McTN curvature is additionally influenced by the adhesion strength between the McTN and wall. Moreover, increasing McTN length, reducing its bending rigidity, or strengthening adhesion enhances the cell-wall contact area and, thus, promotes cell attachment to vessel walls. Our results demonstrate a link between the formation and function of McTNs, which may provide new insight into metastatic cancer diagnosis and therapy.

摘要

循环肿瘤细胞(CTCs)在肿瘤转移过程中起着关键作用。一个决定性步骤是CTCs从血流或淋巴系统外渗,这取决于细胞附着于血管壁的能力。最近的研究表明,这种粘附是由基于微管(MT)的膜突起即微触手(McTNs)促进的。然而,McTNs如何促进这种粘附以及MTs如何在CTCs中产生突起仍不清楚。通过结合光漂白实验后的荧光恢复和模拟,我们表明MTs的聚合为McTN形成提供了主要驱动力,而MTs相互滑动的贡献最小。此外,由于MTs在另一端锚定在微管组织中心,施加在McTN尖端的力导致弯曲。当接近血管壁时,McTN的弯曲还受到McTN与壁之间粘附强度的影响。此外,增加McTN长度、降低其弯曲刚度或增强粘附力可增加细胞与壁的接触面积,从而促进细胞附着于血管壁。我们的结果证明了McTNs的形成与功能之间的联系,这可能为转移性癌症的诊断和治疗提供新的见解。

https://cdn.ncbi.nlm.nih.gov/pmc/blobs/ef71/12256914/6e29666f4a07/gr1.jpg

文献AI研究员

20分钟写一篇综述,助力文献阅读效率提升50倍。

立即体验

用中文搜PubMed

大模型驱动的PubMed中文搜索引擎

马上搜索

文档翻译

学术文献翻译模型,支持多种主流文档格式。

立即体验