Suppr超能文献

蒜素诱导的AMPK信号传导减弱了Smad3途径介导的肺纤维化。

Allicin induced AMPK signaling attenuated Smad3 pathway mediated lung fibrosis.

作者信息

Nakazawa Shun, Hou Jia, Kato Motoyasu, Togo Shinsaku, Arai Yuta, Motomura Hiroaki, Kurata Koichi, Sueyasu Takuto, Hirakawa Haruki, Ochi Yusuke, Sumiyoshi Issei, Watanabe Junko, Hoshi Kazuaki, Ihara Hiroaki, Kadoya Kotaro, Takahashi Kazuhisa

机构信息

Department of Respiratory Medicine, Juntendo University Graduate School of Medicine, Motoyasu Kato, 3-1-3 Hongo, Bunkyo-ku, Tokyo, Japan.

Department of Respiratory and Critical Care Medicine, General Hospital of Ningxia Medical University, Ningxia, China.

出版信息

Sci Rep. 2025 May 30;15(1):19060. doi: 10.1038/s41598-025-01314-6.

Abstract

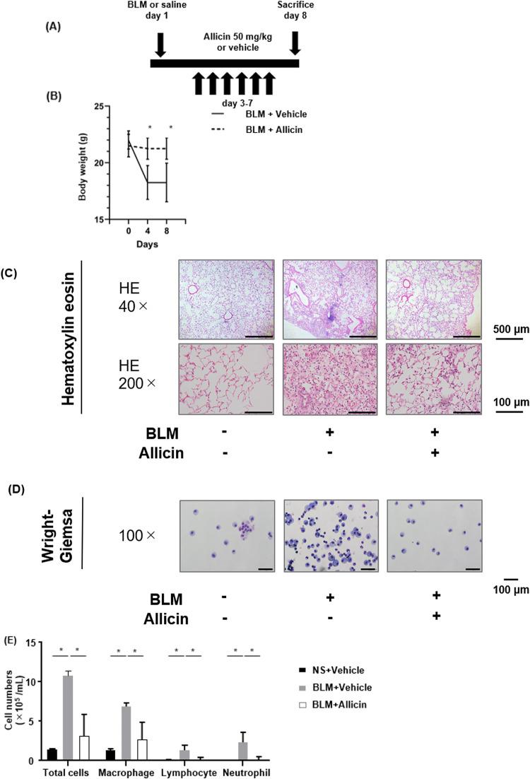
Allicin, a natural compound derived from garlic, protects against oxidative stress-mediated tissue inflammation and vascular remodeling. Although these are key processes in lung fibrosis, the effects of allicin on this disease have never been evaluated. In this study, we aimed to evaluate the effects of allicin on lung fibroblast-mediated lung fibrosis and its mechanisms. We assessed the effects of allicin on fibronectin-mediated lung fibroblast migration and the contraction of three-dimensional type I collagen gels, and evaluated its anti-fibrotic effects in mice models of bleomycin (BLM)-induced lung fibrosis. The results showed that allicin suppressed transforming growth factor beta 1 (TGFβ1)-stimulated gel contraction and migration, as well as α-smooth muscle actin (α-SMA) and fibronectin. Additionally, allicin upregulated AMP-activated protein kinase (AMPK) phosphorylation, while suppressing Smad3 phosphorylation. An AMPK inhibitor further stimulated TGFβ1-induced gel contraction and migration. Furthermore, allicin suppressed BLM-induced lung fibrosis with suppressed Smad3 phosphorylation and BLM-induced lung injury with suppressed inflammatory cell infiltration in the mouse models. These results suggest that allicin may be a candidate therapeutic agent for suppressing the fibrotic phase mediated by pulmonary fibroblasts through upregulated AMPK resulting in suppressed Smad3 pathway after reducing the acute inflammatory phase.

摘要

大蒜素是一种从大蒜中提取的天然化合物,可抵御氧化应激介导的组织炎症和血管重塑。尽管这些是肺纤维化的关键过程,但大蒜素对这种疾病的影响从未被评估过。在本研究中,我们旨在评估大蒜素对肺成纤维细胞介导的肺纤维化的影响及其机制。我们评估了大蒜素对纤连蛋白介导的肺成纤维细胞迁移和三维I型胶原凝胶收缩的影响,并在博来霉素(BLM)诱导的肺纤维化小鼠模型中评估了其抗纤维化作用。结果表明,大蒜素抑制了转化生长因子β1(TGFβ1)刺激的凝胶收缩和迁移,以及α平滑肌肌动蛋白(α-SMA)和纤连蛋白。此外,大蒜素上调了AMP激活的蛋白激酶(AMPK)的磷酸化,同时抑制了Smad3的磷酸化。AMPK抑制剂进一步刺激了TGFβ1诱导的凝胶收缩和迁移。此外,在小鼠模型中,大蒜素抑制了BLM诱导的肺纤维化,抑制了Smad3磷酸化,减轻了BLM诱导的肺损伤,减少了炎症细胞浸润。这些结果表明,大蒜素可能是一种候选治疗药物,通过上调AMPK,在减轻急性炎症期后抑制Smad3途径,从而抑制肺成纤维细胞介导的纤维化阶段。

https://cdn.ncbi.nlm.nih.gov/pmc/blobs/6fb7/12125225/0d4672c2df78/41598_2025_1314_Fig1_HTML.jpg

文献AI研究员

20分钟写一篇综述,助力文献阅读效率提升50倍。

立即体验

用中文搜PubMed

大模型驱动的PubMed中文搜索引擎

马上搜索

文档翻译

学术文献翻译模型,支持多种主流文档格式。

立即体验