Suppr超能文献

由于洛匹那韦诱导的Zmpste24抑制作用,艾滋病患者患晚期膝骨关节炎进展的风险更高。

AIDS patients suffer higher risk of advanced knee osteoarthritis progression due to lopinavir-induced Zmpste24 inhibition.

作者信息

Kong Keyu, Liu Li, Zhang Renfang, Chang Yongyun, Shao Yueming, Zhao Chen, Qiao Hua, Jin Minghao, Chen Xuzhuo, Shi Wentao, Wu Xinru, Fan Wenxuan, Hu Yuehao, Rong Kewei, Zhang Pu, Li Baixing, Zhang Jingwei, Ma Peixiang, Zhang Xiaoling, Li Huiwu, Zhai Zanjing

机构信息

Shanghai Key Laboratory of Orthopaedic Implants, Department of Orthopaedic Surgery, Shanghai Ninth People's Hospital, Shanghai Jiaotong University School of Medicine, Shanghai, China.

Department of Infection and Immunity, Shanghai Public Health Clinical Center (SPHCC), Fudan University, Shanghai, China.

出版信息

Bone Res. 2025 Jun 3;13(1):58. doi: 10.1038/s41413-025-00431-2.

Abstract

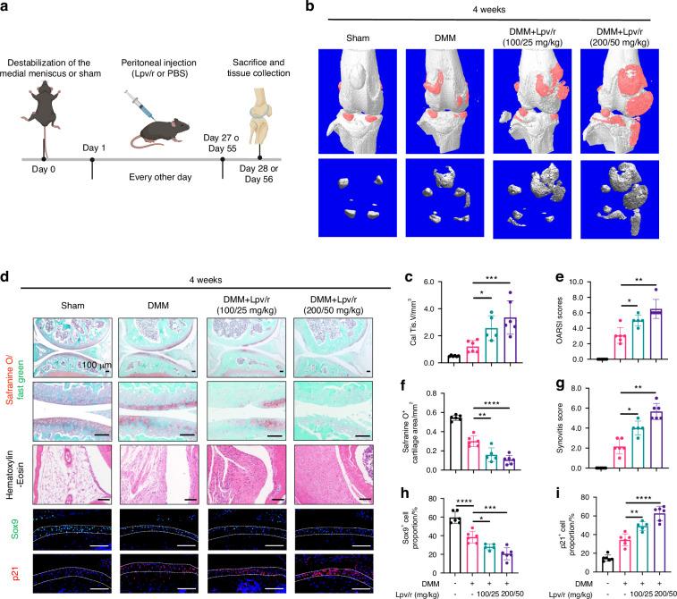
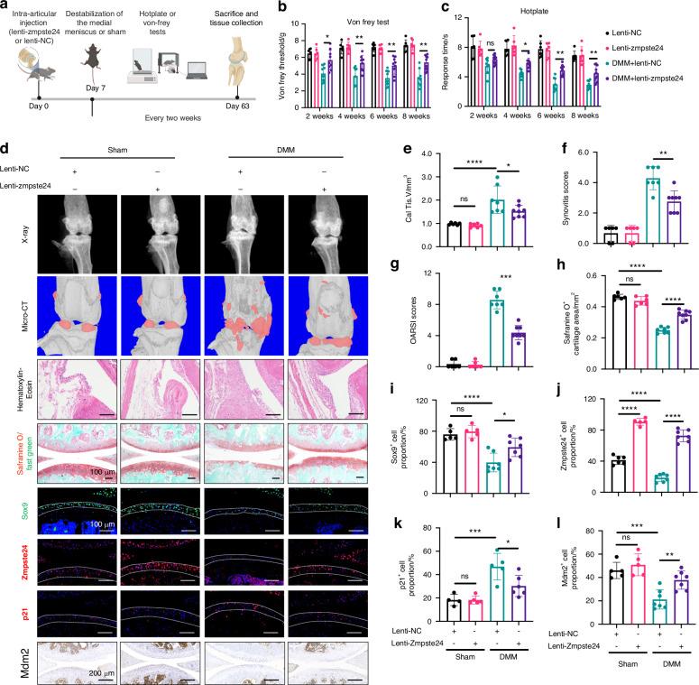
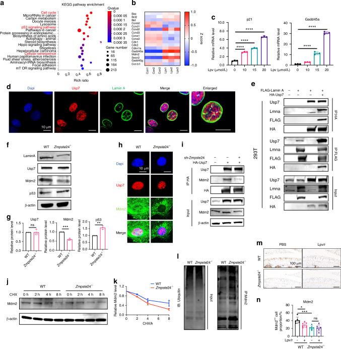
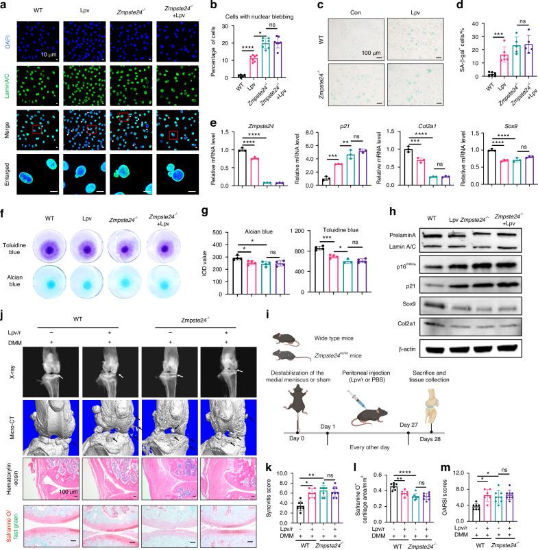
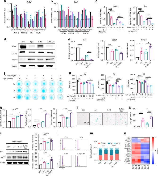
Debate regarding the premature aging of knee joints in acquired immune deficiency syndrome (AIDS) patients has remained contentious, with conjectures pointing towards its correlation with distinct antiviral regimes. Protease inhibitors (PIs) stand as a prominent class of antiviral agents frequently utilized in AIDS management and have been significantly linked to premature senescence. This study aimed to investigate whether PI-containing regimens would accelerate osteoarthritis (OA) development and explore the molecular mechanisms underlying this association. A retrospective cohort of 151 HIV-infected individuals, categorized into PI and non-PI groups, was established. Patients in PI group exhibited lower KOOS and a higher prevalence of radiological knee OA than those in non-PI group. Additionally, 25 anti-HIV drugs were screened and among all antiviral drugs, lopinavir had the most detrimental impact on cartilage anabolism, accelerating cartilage senescence and promoting mouse OA development. Mechanistically, lopinavir accelerated cellular senescence by inhibiting Zmpste24 and interfering nuclear membrane stability, which leads to decreased binding between nuclear membrane-binding protein Usp7 and Mdm2 and activates Usp7/Mdm2/p53 pathway. Zmpste24 overexpression reduces OA severity in mice. These findings suggest that PI-containing regimens accelerate cartilage senescence and OA development through Zmpste24 inhibition, which provides new insights into the selection of HIV regimens.

摘要

关于获得性免疫缺陷综合征(AIDS)患者膝关节过早老化的争论一直存在争议,推测其与不同的抗病毒治疗方案有关。蛋白酶抑制剂(PIs)是AIDS治疗中常用的一类重要抗病毒药物,且与过早衰老显著相关。本研究旨在调查含PI的治疗方案是否会加速骨关节炎(OA)的发展,并探索这种关联背后的分子机制。建立了一个回顾性队列,纳入151名HIV感染者,分为PI组和非PI组。PI组患者的膝关节损伤和骨关节炎疗效评分(KOOS)较低,膝关节放射学OA的患病率高于非PI组。此外,对25种抗HIV药物进行了筛选,在所有抗病毒药物中,洛匹那韦对软骨合成代谢的损害最大,加速了软骨衰老并促进了小鼠OA的发展。机制上,洛匹那韦通过抑制Zmpste24并干扰核膜稳定性来加速细胞衰老,这导致核膜结合蛋白泛素特异性蛋白酶7(Usp7)与鼠双微体2(Mdm2)之间的结合减少,并激活Usp7/Mdm2/p53通路。Zmpste24过表达可降低小鼠OA的严重程度。这些发现表明,含PI的治疗方案通过抑制Zmpste24加速软骨衰老和OA发展,这为HIV治疗方案的选择提供了新见解。

https://cdn.ncbi.nlm.nih.gov/pmc/blobs/45b5/12134061/97daef62e8e8/41413_2025_431_Fig1_HTML.jpg

文献AI研究员

20分钟写一篇综述,助力文献阅读效率提升50倍。

立即体验

用中文搜PubMed

大模型驱动的PubMed中文搜索引擎

马上搜索

文档翻译

学术文献翻译模型,支持多种主流文档格式。

立即体验