Suppr超能文献

衰老依赖性YAP1减少通过上调Nr4a1-AKT/GSK-3β轴促进阿尔茨海默病病理进程。

Aging-dependent YAP1 reduction contributes to AD pathology by upregulating the Nr4a1-AKT/GSK-3β axis.

作者信息

Lei Ling, Cheng Yilei, Yin Anqi, Han Jian-Min, Wu Gang, Yang Fumin, Wang Qi, Wang Jian-Zhi, Liu Rong, Li Hong-Lian, Wang Xiaochuan

机构信息

Hubei Key Laboratory of Cognitive and Affective Disorders, School of Medicine, Jianghan University, Wuhan, 430056, China.

School of Basic Medicine, Key Laboratory of Education Ministry/Hubei Province of China for Neurological Disorders, Tongji Medical College, Huazhong University of Science and Technology, Wuhan, 430030, China.

出版信息

Transl Neurodegener. 2025 Jun 4;14(1):29. doi: 10.1186/s40035-025-00487-4.

Abstract

BACKGROUND

Aging is the greatest risk factor for late-onset Alzheimer's disease (LOAD), which accounts for > 95% of all Alzheimer's disease (AD) cases. Yes-associated protein 1 (YAP1), an aging-dependent protein, is a key element in the classical Hippo-YAP1 pathway mediated by a kinase cascade. Research showed that YAP1 was markedly reduced in the brains of individuals with AD. However, the mechanisms underlying the susceptibility of the Hippo-YAP1 signaling pathway in the context of LOAD remain unclear.

METHODS

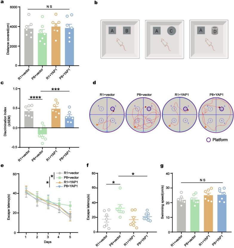
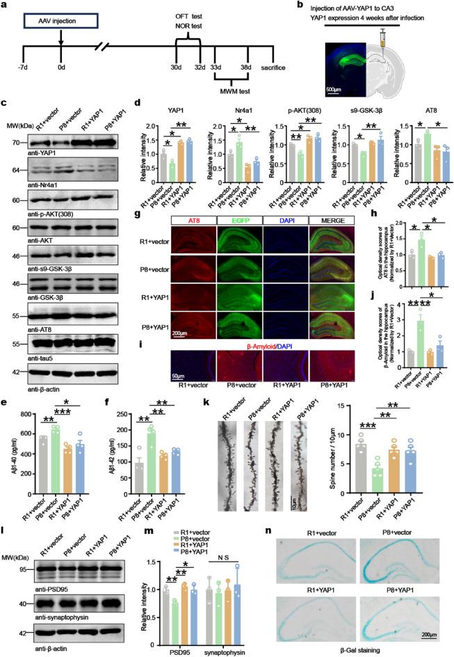
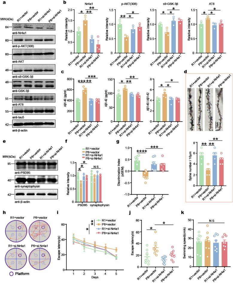
AAV9-YAP1-RNAi was injected into the hippocampi of C57BL/6J mice to establish a YAP1 knockdown model. Overexpression of full-length YAP1 was achieved by injecting AAV9-YAP1 into the hippocampi of SAMP8 mice. To establish the model of knockdown of nuclear receptor subfamily 4 group A member 1 (Nr4a1), AAV9-Nr4a1-RNAi was injected into the hippocampi of SAMP8 mice. In the C57BL/6J mice with YAP1 knockdown, Nr4a1 expression was either knocked down or inhibited with DIM-C to examine the impact of Nr4a1 on tau phosphorylation and cognitive deficits. Primary hippocampal neurons from Sprague-Dawley (SD) rats were infected with lentivirus (LV)-YAP1 to create a YAP1 overexpression model, and Aβ treatment was used to induce neuronal senescence. Protein levels were assessed using immunofluorescence, Western blotting, and ELISA. Animal behavior was evaluated using the Morris water maze test, novel object recognition test, and open field test.

RESULTS

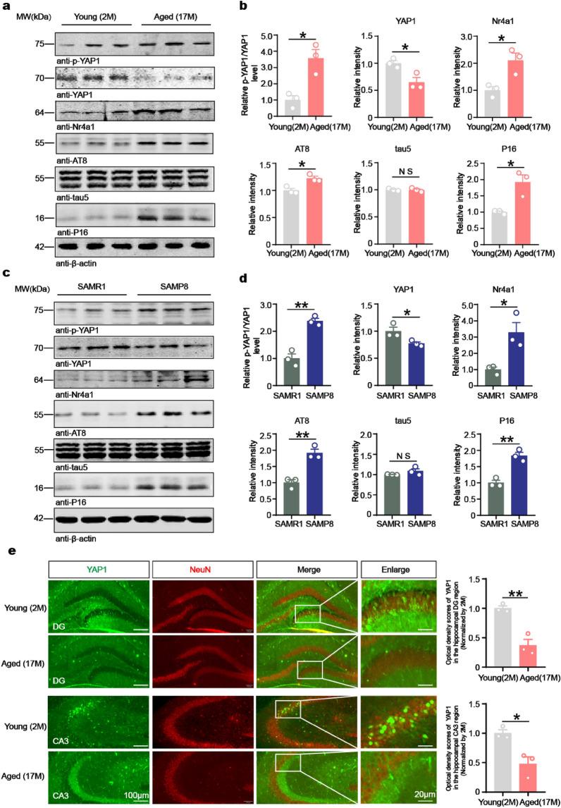
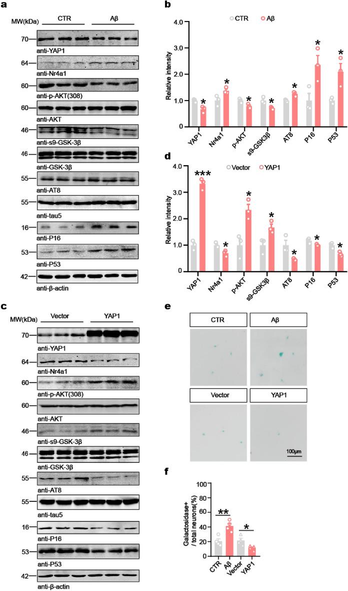
YAP1 was reduced in the hippocampus of both aged C57BL/6J mice and SAMP8 AD model mice through Hippo pathway activation, as well as in Aβ-induced senescent neurons. Overexpression of YAP1 in primary neurons significantly mitigated the Aβ-induced neuronal senescence by downregulating several senescence-related genes, including p16 and p53. The levels of phosphorylated AKT/GSK-3β in neurons were increased with overexpression of YAP1 both in vivo and in vitro. Knockdown of YAP1 induced AD-like symptoms and exacerbated cognitive decline in 2-month-old C57BL/6J mice. Injection of AAV9-YAP1 in the brains of SAMP8 mice partially alleviated neuronal senescence and enhanced cognitive function. Notably, genetic knockdown and chemical inhibition of Nr4a1 significantly ameliorated cognitive deficits as well as AD-like pathology in these subjects.

CONCLUSIONS

These findings reveal an etiopathogenic relationship between aging and AD, which is associated with the YAP1-Nr4a1-AKT/GSK-3β signaling pathway. Our findings provide insight into the therapeutic strategies aimed at delaying brain aging and combating neurodegenerative diseases such as AD.

摘要

背景

衰老 是晚发性阿尔茨海默病(LOAD)的最大风险因素,LOAD占所有阿尔茨海默病(AD)病例的95%以上。Yes相关蛋白1(YAP1)是一种依赖衰老的蛋白质,是由激酶级联介导的经典Hippo-YAP1信号通路中的关键元件。研究表明,AD患者大脑中YAP1明显减少。然而,在LOAD背景下,Hippo-YAP1信号通路易感性的潜在机制仍不清楚。

方法

将AAV9-YAP1-RNAi注入C57BL/6J小鼠的海马体中,以建立YAP1基因敲低模型。通过将AAV9-YAP1注入SAMP8小鼠的海马体中,实现全长YAP1的过表达。为建立核受体亚家族4 A组成员1(Nr4a1)基因敲低模型,将AAV9-Nr4a1-RNAi注入SAMP8小鼠的海马体中。在YAP1基因敲低的C57BL/6J小鼠中,用DIM-C敲低或抑制Nr4a1表达,以研究Nr4a1对tau蛋白磷酸化和认知缺陷的影响。将慢病毒(LV)-YAP1感染Sprague-Dawley(SD)大鼠的原代海马神经元,建立YAP1过表达模型,并用Aβ处理诱导神经元衰老。使用免疫荧光、蛋白质印迹法和酶联免疫吸附测定法评估蛋白质水平。使用莫里斯水迷宫试验、新物体识别试验和旷场试验评估动物行为。

结果

通过Hippo信号通路激活,老年C57BL/6J小鼠和SAMP8 AD模型小鼠的海马体中YAP1均减少,在Aβ诱导的衰老神经元中也是如此。原代神经元中YAP1的过表达通过下调包括p16和p53在内的几个衰老相关基因,显著减轻了Aβ诱导的神经元衰老。体内和体外实验中,YAP1过表达均使神经元中磷酸化AKT/GSK-3β水平升高。YAP1基因敲低诱导2月龄C57BL/6J小鼠出现AD样症状并加剧认知衰退。向SAMP8小鼠脑内注射AAV9-YAP1可部分减轻神经元衰老并增强认知功能。值得注意的是,Nr4a1的基因敲低和化学抑制显著改善了这些受试者的认知缺陷以及AD样病理改变。

结论

这些发现揭示了衰老与AD之间的病因学关系,这与YAP1-Nr4a1-AKT/GSK-3β信号通路有关。我们的发现为旨在延缓脑衰老和对抗AD等神经退行性疾病的治疗策略提供了思路。

https://cdn.ncbi.nlm.nih.gov/pmc/blobs/91f9/12135490/ce3f2654cd26/40035_2025_487_Fig1_HTML.jpg

文献AI研究员

20分钟写一篇综述,助力文献阅读效率提升50倍。

立即体验

用中文搜PubMed

大模型驱动的PubMed中文搜索引擎

马上搜索

文档翻译

学术文献翻译模型,支持多种主流文档格式。

立即体验