Suppr超能文献

啶虫脒诱导的小鼠睾丸毒性:桑色素的改善作用及潜在机制

Acetamiprid-induced testicular toxicity in mice: ameliorative effect and potential mechanisms of morin.

作者信息

Alemdar Nihal Turkmen, Demir Selim, Yulug Esin, Kulaber Ali, Demir Elif Ayazoglu, Erdogan Nadire Sevdenur, Mentese Ahmet, Aliyazicioglu Yuksel

机构信息

Department of Medical Services and Techniques, Vocational School of Health Services, Recep Tayyip Erdogan University, Rize, 53100, Türkiye, Turkey.

Department of Nutrition and Dietetics, Faculty of Health Sciences, Karadeniz Technical University, Trabzon, 61080, Türkiye, Turkey.

出版信息

BMC Complement Med Ther. 2025 Jun 6;25(1):203. doi: 10.1186/s12906-025-04944-5.

Abstract

BACKGROUND

Acetamiprid (ACP) is a novel chloronicotinyl insecticide that has been extensively utilized in agricultural, domestic, and public health contexts for nearly two decades. However, its potential to induce organ damage, including reproductive toxicity in mammals, has emerged as a significant concern. Morin is a naturally occurring flavonol that has gained prominence as a food supplement in recent years due to its antioxidant and anti-inflammatory properties. The objective of this study was to evaluate the protective effect of morin against testicular damage in mice subjected to ACP exposure.

METHODS

Thirty male Balb/c mice were randomly assigned to one of five groups, with the following treatment allocations: control, ACP (20 mg/kg), ACP + morin (15 and 30 mg/kg), and only morin (30 mg/kg). ACP and morin applications were conducted orally over a period of 14 days. Hormonal analyses were conducted on serum samples obtained from the mice, while biochemical and histological evaluations were performed on testicular samples.

RESULTS

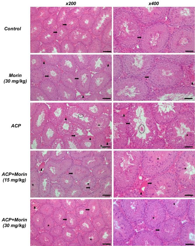
The biochemical results demonstrated that ACP elevated oxidative stress, inflammation, and ER stress in testicular tissue by inhibiting the Nrf2 pathway, a finding that was corroborated by histopathological analyses. However, morin treatments eliminated ACP-induced Nrf2 inhibition and to activate antioxidant and anti-inflammatory mechanisms. These findings were also corroborated by the restoration of serum testosterone and inhibin B levels and the diminution of histopathological lesions.

CONCLUSIONS

Overall, the findings indicated that morin may have potential protective properties against ACP-associated reproductive toxicity, however, further research is required to determine the detailed molecular mechanisms.

摘要

背景

啶虫脒(ACP)是一种新型氯代烟碱类杀虫剂,近二十年来已广泛应用于农业、家庭和公共卫生领域。然而,其诱导器官损伤的潜力,包括对哺乳动物的生殖毒性,已成为一个重大问题。桑色素是一种天然存在的黄酮醇,近年来因其抗氧化和抗炎特性而作为食品补充剂受到关注。本研究的目的是评估桑色素对暴露于啶虫脒的小鼠睾丸损伤的保护作用。

方法

将30只雄性Balb/c小鼠随机分为五组,进行以下处理:对照组、啶虫脒组(20mg/kg)、啶虫脒+桑色素组(15mg/kg和30mg/kg)、仅桑色素组(30mg/kg)。啶虫脒和桑色素经口给药14天。对从小鼠采集的血清样本进行激素分析,对睾丸样本进行生化和组织学评估。

结果

生化结果表明,啶虫脒通过抑制Nrf2途径提高了睾丸组织中的氧化应激、炎症和内质网应激,这一发现得到了组织病理学分析的证实。然而,桑色素处理消除了啶虫脒诱导的Nrf2抑制,并激活了抗氧化和抗炎机制。血清睾酮和抑制素B水平的恢复以及组织病理学病变的减轻也证实了这些发现。

结论

总体而言,研究结果表明桑色素可能对啶虫脒相关的生殖毒性具有潜在的保护作用,然而,需要进一步研究以确定详细的分子机制。

https://cdn.ncbi.nlm.nih.gov/pmc/blobs/0b5c/12143094/76c66d108ca3/12906_2025_4944_Fig1_HTML.jpg

文献AI研究员

20分钟写一篇综述,助力文献阅读效率提升50倍。

立即体验

用中文搜PubMed

大模型驱动的PubMed中文搜索引擎

马上搜索

文档翻译

学术文献翻译模型,支持多种主流文档格式。

立即体验