Suppr超能文献

桑色素通过减轻异环磷酰胺所致大鼠睾丸毒性中的氧化应激、炎症、内质网应激、自噬、细胞凋亡及氧化性DNA损伤发挥治疗作用。

Morin provides therapeutic effect by attenuating oxidative stress, inflammation, endoplasmic reticulum stress, autophagy, apoptosis, and oxidative DNA damage in testicular toxicity caused by ifosfamide in rats.

作者信息

Cakmak Fatma, Kucukler Sefa, Gur Cihan, Comakli Selim, Ileriturk Mustafa, Kandemir Fatih Mehmet

机构信息

Private Buhara Hospital, Emergency Medicine Clinic, Erzurum, Turkey.

Atatürk University, Faculty of Veterinary Medicine, Department of Biochemistry, Erzurum, Turkey.

出版信息

Iran J Basic Med Sci. 2023;26(10):1227-1236. doi: 10.22038/IJBMS.2023.71702.15580.

Abstract

OBJECTIVES

In the present study, it was evaluated whether morin has a protective effect on testicular toxicity caused by ifosfamide (IFOS), which is used in the treatment of various malignancies.

MATERIALS AND METHODS

For this purpose, 100 or 200 mg/kg morin was given to Sprague Dawley rats for 2 days, and a single dose (500 mg/kg) IFOS was administered on the 2nd day. At the 24th hr of IFOS administration, animals were decapitated and testicular tissues were taken and the status of oxidative stress, inflammation, endoplasmic reticulum stress (ERS), autophagy, and apoptosis markers were analyzed by biochemical, molecular, and histopathological methods.

RESULTS

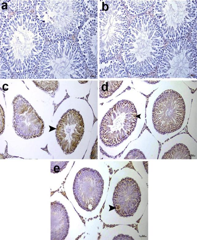
According to the data obtained, it was determined that IFOS caused oxidative stress in testicular tissues. It was observed that inflammation, ERS, autophagy, apoptosis, and oxidative DNA damage occurred with oxidative stress. Morin treatment suppressed oxidative stress. Morin showed anti-inflammatory effects by reducing TNF-α and IL-1β protein levels. It also increased the mRNA transcript levels of the ERS marker ATF-6, PERK, IRE1, GRP-78, and CHOP genes, and the apoptosis marker genes Bax, Casp-3, and apaf-1. It up-regulated the anti-apoptotic protein Bcl-2 gene and the cell survival signal AKT-2 gene. Morin caused a decrease in beclin-1 protein levels and showed an anti-autophagic effect. In addition, morin attenuated oxidative DNA damage and decreased 8-OHdG immune-positive cell numbers.

CONCLUSION

As a result, it was observed that IFOS caused cellular damage by activating various signaling pathways in testicular tissue, while morin exhibited protective properties against this damage.

摘要

目的

在本研究中,评估了桑色素对异环磷酰胺(IFOS)所致睾丸毒性是否具有保护作用,IFOS用于治疗多种恶性肿瘤。

材料与方法

为此,给Sprague Dawley大鼠分别给予100或200mg/kg桑色素,持续2天,并于第2天给予单次剂量(500mg/kg)的IFOS。在给予IFOS后24小时,将动物断头并取睾丸组织,通过生化、分子和组织病理学方法分析氧化应激、炎症、内质网应激(ERS)、自噬和凋亡标志物的状态。

结果

根据获得的数据,确定IFOS在睾丸组织中引起氧化应激。观察到氧化应激伴随着炎症、ERS、自噬、凋亡和氧化性DNA损伤的发生。桑色素治疗可抑制氧化应激。桑色素通过降低TNF-α和IL-1β蛋白水平显示出抗炎作用。它还增加了ERS标志物ATF-6、PERK、IRE1、GRP-78和CHOP基因以及凋亡标志物基因Bax、Casp-3和apaf-1的mRNA转录水平。它上调了抗凋亡蛋白Bcl-2基因和细胞存活信号AKT-2基因。桑色素导致beclin-1蛋白水平降低并显示出抗自噬作用。此外,桑色素减轻了氧化性DNA损伤并减少了8-OHdG免疫阳性细胞数量。

结论

结果表明,IFOS通过激活睾丸组织中的各种信号通路引起细胞损伤,而桑色素对这种损伤具有保护作用。

https://cdn.ncbi.nlm.nih.gov/pmc/blobs/50dd/10510477/f9c61d886c82/IJBMS-26-1227-g001.jpg

文献AI研究员

20分钟写一篇综述,助力文献阅读效率提升50倍。

立即体验

用中文搜PubMed

大模型驱动的PubMed中文搜索引擎

马上搜索

文档翻译

学术文献翻译模型,支持多种主流文档格式。

立即体验