Suppr超能文献

毛蕊花糖苷通过靶向PCBP2改善肝细胞铁死亡和肝缺血再灌注损伤。

Acteoside ameliorates hepatocyte ferroptosis and hepatic ischemia-reperfusion injury targeting PCBP2.

作者信息

Jia Kexin, Zhang Yinhao, Li Fanghong, Liu Runping, Wu Jianzhi, Qu Jiaorong, Luo Ranyi, Huang Zixi, Xu Zhe, Li Xiaojiaoyang

机构信息

School of Life Sciences, Beijing University of Chinese Medicine, Beijing 100029, China.

School of Chinese Materia Medica, Beijing University of Chinese Medicine, Beijing 100029, China.

出版信息

Acta Pharm Sin B. 2025 Apr;15(4):2077-2094. doi: 10.1016/j.apsb.2025.03.002. Epub 2025 Mar 7.

Abstract

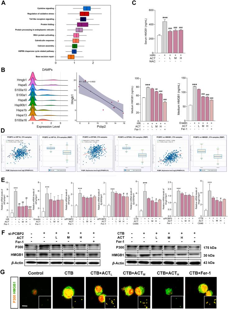
Hepatic ischemia-reperfusion injury (HIRI) has been considered as an inevitable process of liver transplantation. Hepatocyte ferroptosis is a key factor in HIRI development, yet precise mechanism and potential therapies are still unclear. Here, we demonstrated a strong correlation between hepatocyte ferroptosis and the downregulation of poly(rC)-binding protein (PCBP2), which compromised the stability of antiporter system Xc (consisted of SL3A2/SLC7A11). Besides, inhibiting PCBP2 contributed to facilitating cofactor p300 to enhance the transcriptional activity of HIF1, leading to the expression and secretion of HMGB1. Then, released HMGB1 from ferroptotic hepatocytes worsened M1 macrophage recruitment and immune response during HIRI. Additionally, acteoside (ACT) was shown to assist PCBP2 in stabilizing the mRNA stability of and , as well as enhance the binding affinity of PCBP2-system Xc. Beyond that, ACT also supported PCBP2 to limit HMGB1-induced M1 macrophage recruitment through imposing restrictions on p300 and HIF1. Furthermore, specific knockdown of PCBP2 in hepatocytes directly interposed the therapeutic efficacy of ACT on HIRI mice. In conclusion, ACT alleviated hepatocyte ferroptosis and HIRI promoting PCBP2 to maintain the stability of system Xc and limit HIF1/p300-HMGB1 signaling. These findings highlight the therapeutic benefits of ACT in treating HIRI and offer insights into innovative therapeutic strategies.

摘要

肝缺血再灌注损伤(HIRI)被认为是肝移植中不可避免的过程。肝细胞铁死亡是HIRI发展的关键因素,但其确切机制和潜在治疗方法仍不清楚。在此,我们证明了肝细胞铁死亡与多聚(rC)结合蛋白(PCBP2)的下调之间存在密切关联,PCBP2下调会损害反向转运体系统Xc(由SL3A2/SLC7A11组成)的稳定性。此外,抑制PCBP2有助于促进辅因子p300增强HIF1的转录活性,导致HMGB1的表达和分泌。然后,铁死亡肝细胞释放的HMGB1会加剧HIRI期间M1巨噬细胞的募集和免疫反应。此外,毛蕊花糖苷(ACT)被证明有助于PCBP2稳定 和 的mRNA稳定性,以及增强PCBP2与系统Xc的结合亲和力。除此之外,ACT还通过限制p300和HIF1来支持PCBP2限制HMGB1诱导的M1巨噬细胞募集。此外,肝细胞中PCBP2的特异性敲除直接干扰了ACT对HIRI小鼠的治疗效果。总之,ACT通过促进PCBP2维持系统Xc的稳定性并限制HIF1/p300-HMGB1信号传导,减轻了肝细胞铁死亡和HIRI。这些发现突出了ACT在治疗HIRI方面的治疗益处,并为创新治疗策略提供了见解。

https://cdn.ncbi.nlm.nih.gov/pmc/blobs/3ecf/12138084/373ef99c2234/ga1.jpg

文献AI研究员

20分钟写一篇综述,助力文献阅读效率提升50倍。

立即体验

用中文搜PubMed

大模型驱动的PubMed中文搜索引擎

马上搜索

文档翻译

学术文献翻译模型,支持多种主流文档格式。

立即体验