Suppr超能文献

肝缺血再灌注损伤过程中犬尿氨酸途径的代谢重编程通过损害 NAD 动态平衡加重肝损伤。

Metabolic Rewiring of Kynurenine Pathway during Hepatic Ischemia-Reperfusion Injury Exacerbates Liver Damage by Impairing NAD Homeostasis.

机构信息

Department of Biochemistry and Molecular Biology, School of Basic Medical Sciences, Cheeloo College of Medicine, Shandong University, Jinan, Shandong, 250012, China.

Department of General Surgery, Qilu Hospital of Shandong University, Jinan, Shandong, 250012, China.

出版信息

Adv Sci (Weinh). 2022 Dec;9(35):e2204697. doi: 10.1002/advs.202204697. Epub 2022 Oct 30.

Abstract

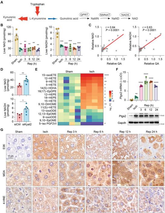
Hepatic ischemia-reperfusion (IR) injury remains a common issue lacking effective strategy and validated pharmacological targets. Here, using an unbiased metabolomics screen, this study finds that following murine hepatic IR, liver 3-hydroxyanthranilic acid (3-HAA) and quinolinic acid (QA) decline while kynurenine and kynurenic acid (KYNA) increase. Kynurenine aminotransferases 2, functioning at the key branching point of the kynurenine pathway (KP), is markedly upregulated in hepatocytes during ischemia, shifting the kynurenine metabolic route from 3-HAA and QA to KYNA synthesis. Defects in QA synthesis impair de novo nicotinamide adenine dinucleotide (NAD) biosynthesis, rendering the hepatocytes relying on the salvage pathway for maintenance of NAD and cellular antioxidant defense. Blocking the salvage pathway following IR by the nicotinamide phosphoribosyltransferase inhibitor FK866 exacerbates liver oxidative damage and enhanced IR susceptibility, which can be rescued by the lipid peroxidation inhibitor Liproxstatin-1. Notably, nicotinamide mononucleotide administration once following IR effectively boosts NAD and attenuated IR-induced oxidative stress, inflammation, and cell death in the murine model. Collectively, the findings reveal that metabolic rewiring of the KP partitions it away from NAD synthesis in hepatic IR pathophysiology, and provide proof of concept that NAD augmentation is a promising therapeutic measure for IR-induced liver injury.

摘要

肝缺血再灌注 (IR) 损伤仍然是一个常见问题,缺乏有效的策略和经过验证的药物靶点。本研究采用无偏代谢组学筛选方法,发现在小鼠肝 IR 后,肝 3-羟基犬尿氨酸 (3-HAA) 和喹啉酸 (QA) 减少,而犬尿氨酸和犬尿氨酸 (KYNA) 增加。在缺血期间,犬尿氨酸氨基转移酶 2 (Kynurenine aminotransferases 2,KAT2) 在肝细胞中明显上调,该酶位于犬尿氨酸途径 (Kynurenine pathway,KP) 的关键分支点,将犬尿氨酸代谢途径从 3-HAA 和 QA 转移到 KYNA 的合成。QA 合成缺陷会损害从头合成烟酰胺腺嘌呤二核苷酸 (Nicotinamide adenine dinucleotide,NAD),使肝细胞依赖补救途径来维持 NAD 和细胞抗氧化防御。IR 后通过烟酰胺磷酸核糖基转移酶抑制剂 FK866 阻断补救途径会加剧肝氧化损伤和增强 IR 易感性,而脂质过氧化抑制剂 Liproxstatin-1 可挽救这种易感性。值得注意的是,IR 后单次给予烟酰胺单核苷酸可有效提高 NAD 水平,并减轻 IR 诱导的氧化应激、炎症和细胞死亡。综上所述,这些发现揭示了 KP 在肝 IR 病理生理学中的代谢重编程,使其远离 NAD 合成,为 NAD 增强是治疗 IR 诱导的肝损伤的一种有前途的治疗方法提供了证据。

https://cdn.ncbi.nlm.nih.gov/pmc/blobs/bd7f/9762284/142caae33682/ADVS-9-2204697-g007.jpg

文献AI研究员

20分钟写一篇综述,助力文献阅读效率提升50倍。

立即体验

用中文搜PubMed

大模型驱动的PubMed中文搜索引擎

马上搜索

文档翻译

学术文献翻译模型,支持多种主流文档格式。

立即体验