Suppr超能文献

表皮生长因子受体(EGFR)突变型肺多形性癌对帕博利珠单抗的反应

Response of EGFR-mutated pulmonary pleomorphic carcinoma to pembrolizumab.

作者信息

Hatakeyama Yuki, Mizugaki Hidenori, Yamada Noriyuki, Mizukami Yasushi, Kuwahara Ken, Asahina Hajime, Adachi Hirofumi, Yokouchi Hiroshi, Matsuno Yoshihiro, Oizumi Satoshi

机构信息

Department of Respiratory Medicine, NHO Hokkaido Cancer Center, Sapporo, Japan.

Department of Thoracic Surgery, NHO Hokkaido Cancer Center, Sapporo, Japan.

出版信息

Respir Med Case Rep. 2025 May 14;56:102234. doi: 10.1016/j.rmcr.2025.102234. eCollection 2025.

Abstract

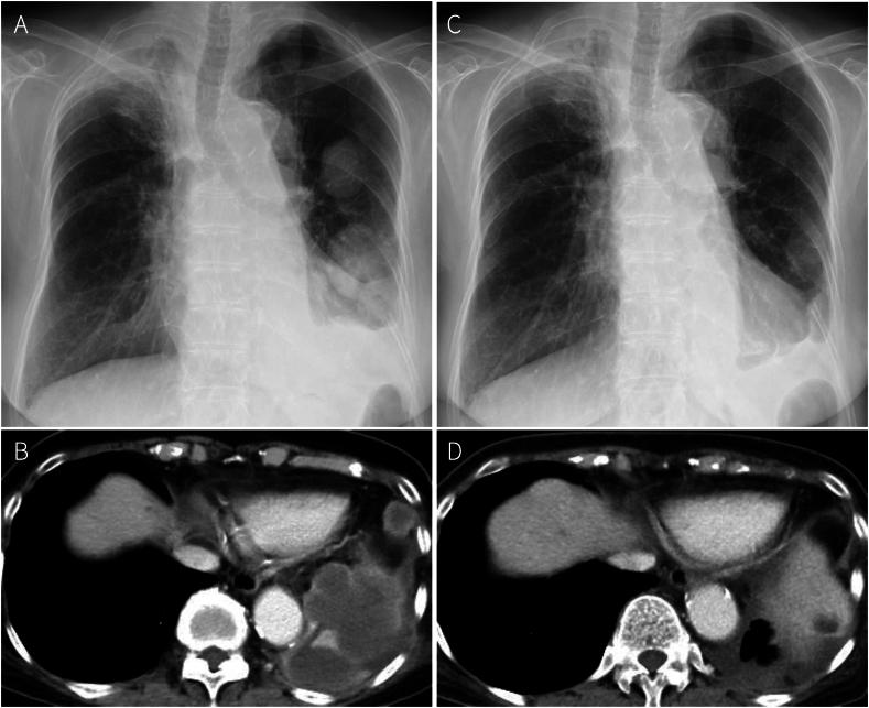
Pulmonary pleomorphic carcinoma (PPC) is a rare and aggressive lung malignancy with limited treatment options. While immune checkpoint inhibitors (ICIs) have shown promise in treating PPC, evidence regarding their efficacy in epidermal growth factor receptor ()-mutated cases remains scarce. We report a case of a woman in her 70s diagnosed with PPC harboring L858R + E709K mutations and high expression (95 %) of programmed death-ligand 1 (PD-L1). After relapsing from concurrent chemoradiotherapy for a Pancoast tumor, the patient received osimertinib as second-line therapy. Despite an initial response, rapid disease progression necessitated left lower lobectomy, confirming PPC diagnosis. Subsequent treatment with pembrolizumab achieved notably tumor response. Although Grade 3 immune-related colitis developed, it was successfully managed with prednisolone, allowing completion of six courses of pembrolizumab. This case demonstrates the potential efficacy of ICIs in -mutated PPC, even after epidermal growth factor receptor -tyrosine kinase inhibitor (EGFR-TKI) failure and highlights the importance of appropriate adverse event management. Our findings suggest that ICIs may be a viable treatment option for -mutated PPC patients, particularly those with high PD-L1 expression.

摘要

肺多形性癌(PPC)是一种罕见且侵袭性强的肺恶性肿瘤,治疗选择有限。虽然免疫检查点抑制剂(ICI)在治疗PPC方面已显示出前景,但关于其在表皮生长因子受体(EGFR)突变病例中的疗效证据仍然稀少。我们报告了一例70多岁女性,诊断为携带L858R + E709K突变且程序性死亡配体1(PD-L1)高表达(95%)的PPC。在针对潘科斯特瘤的同步放化疗后复发,患者接受奥希替尼作为二线治疗。尽管最初有反应,但疾病迅速进展需要进行左下叶切除术,确诊为PPC。随后使用帕博利珠单抗治疗取得了显著的肿瘤反应。尽管出现了3级免疫相关结肠炎,但通过泼尼松龙成功控制,使帕博利珠单抗能够完成六个疗程。该病例证明了ICI在EGFR突变的PPC中的潜在疗效,即使在表皮生长因子受体酪氨酸激酶抑制剂(EGFR-TKI)治疗失败后,并强调了适当管理不良事件的重要性。我们的研究结果表明,ICI可能是EGFR突变的PPC患者的一种可行治疗选择,特别是那些PD-L1高表达的患者。

https://cdn.ncbi.nlm.nih.gov/pmc/blobs/4780/12148578/1417a5ac3221/gr1.jpg

文献AI研究员

20分钟写一篇综述,助力文献阅读效率提升50倍。

立即体验

用中文搜PubMed

大模型驱动的PubMed中文搜索引擎

马上搜索

文档翻译

学术文献翻译模型,支持多种主流文档格式。

立即体验