Suppr超能文献

GRK2/AP-1信号轴介导振荡性低切应力诱导的血管内皮功能障碍和动脉粥样硬化。

The GRK2/AP-1 Signaling Axis Mediates Vascular Endothelial Dysfunction and Atherosclerosis Induced by Oscillatory Low Shear Stress.

作者信息

Wu Li-Da, Shi Yi, Kong Chao-Hua, Chen Ai-Qun, Kang Ying, Kan Jun-Yan, Jiang Xiao-Min, Chu Peng, Wang Dong-Chen, Lv Yi-Fei, Qian Zhi-Yuan, Jiang Zi-Hao, Chen Yun-Wei, Sun Yue, Chang Rui-Rui, Zhou Wen-Ying, Gu Yue, Zhang Jun-Xia, Chen Shao-Liang

机构信息

Department of Cardiology, Nanjing First Hospital, Nanjing Medical University, Nanjing, 210000, China.

College of Pharmacy, Nanjing Medical University, Nanjing, 210000, China.

出版信息

Adv Sci (Weinh). 2025 Sep;12(33):e01981. doi: 10.1002/advs.202501981. Epub 2025 Jun 10.

Abstract

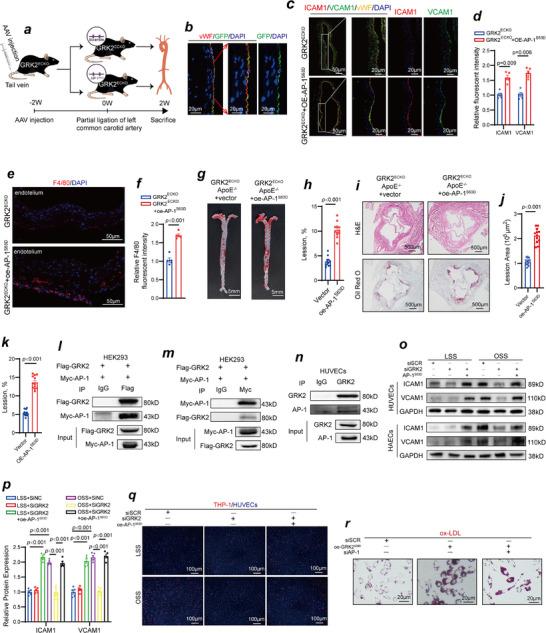
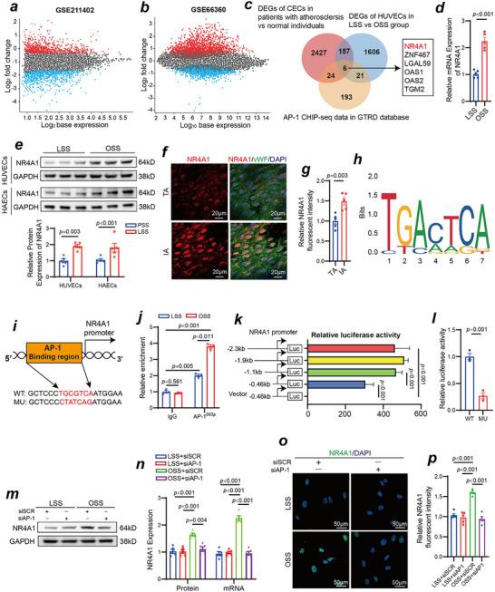
Disturbed blood flow and the resulting oscillatory low shear stress (OSS) are key contributors to vascular endothelial dysfunction and the initiation of atherosclerosis. However, the molecular mediators that translate abnormal hemodynamic signals into pathological vascular endothelial responses remain unclear. G protein-coupled receptors (GPCRs) are classical mechanosensors in the vascular endothelium. Here, using vascular endothelial-specific knockout mice, in vitro parallel plate flow chamber systems, and phosphoproteomic analysis, G protein-coupled receptor kinase 2 (GRK2) is identified as a central mediator of OSS-induced vascular endothelial dysfunction. Mechanistically, OSS promotes GRK2 phosphorylation at serine 29, which subsequently activates the transcription factor activator protein-1 (AP-1), increasing the expression of the proinflammatory adhesion molecules intercellular cell adhesion molecule-1 (ICAM1) and vascular cell adhesion molecule 1 (VCAM1). In parallel, AP-1 promotes nuclear receptor subfamily 4 group A 1 (NR4A1) transcription, which anchors liver kinase B1 (LKB1) to the nucleus and suppresses downstream AMP-activated protein kinase (AMPK) signaling, leading to metabolic dysregulation and impaired vascular endothelial homeostasis. These findings underscore the GRK2/AP-1 signaling axis as a crucial mechanotransduction cascade linking disturbed flow to vascular endothelial dysfunction. Given the important role of GPCRs in mechanotransduction, targeting GRK2 may offer a novel therapeutic approach for atherosclerosis.

摘要

血流紊乱以及由此产生的振荡性低剪切应力(OSS)是血管内皮功能障碍和动脉粥样硬化起始的关键因素。然而,将异常血流动力学信号转化为病理性血管内皮反应的分子介质仍不清楚。G蛋白偶联受体(GPCRs)是血管内皮中的经典机械传感器。在此,利用血管内皮特异性敲除小鼠、体外平行板流动腔系统和磷酸化蛋白质组分析,确定G蛋白偶联受体激酶2(GRK2)是OSS诱导的血管内皮功能障碍的核心介质。机制上,OSS促进GRK2丝氨酸29位点的磷酸化,随后激活转录因子激活蛋白-1(AP-1),增加促炎黏附分子细胞间黏附分子-1(ICAM1)和血管细胞黏附分子1(VCAM1)的表达。同时,AP-1促进核受体亚家族4 A组1(NR4A1)转录,将肝激酶B1(LKB1)锚定到细胞核并抑制下游AMP激活蛋白激酶(AMPK)信号传导,导致代谢失调和血管内皮稳态受损。这些发现强调了GRK2/AP-1信号轴作为将血流紊乱与血管内皮功能障碍联系起来的关键机械转导级联反应。鉴于GPCRs在机械转导中的重要作用,靶向GRK2可能为动脉粥样硬化提供一种新的治疗方法。

https://cdn.ncbi.nlm.nih.gov/pmc/blobs/5431/12412516/d30483918e73/ADVS-12-e01981-g002.jpg

文献AI研究员

20分钟写一篇综述,助力文献阅读效率提升50倍。

立即体验

用中文搜PubMed

大模型驱动的PubMed中文搜索引擎

马上搜索

文档翻译

学术文献翻译模型,支持多种主流文档格式。

立即体验