Suppr超能文献

在捕获的60只野生美洲水貂中发现4只新型严重急性呼吸综合征冠状病毒2(SARS-CoV-2)感染的野生美洲水貂。

Four Novel SARS-CoV-2 Infected Feral American Mink () Among 60 Individuals Caught in the Wild.

作者信息

Suita Francesca, Padilla-Blanco Miguel, Aguiló-Gisbert Jordi, Lorenzo-Bermejo Teresa, Ballester Beatriz, Cardells Jesús, Maiques Elisa, Rubio Vicente, Lizana Víctor, Rubio-Guerri Consuelo

机构信息

Servicio de Análisis, Investigación, Gestión de Animales Silvestres (SAIGAS), Veterinary Faculty, Universidad Cardenal Herrera-CEU, CEU Universities, 46115 Valencia, Spain.

Department of Pharmacy, School of Health Sciences, Universidad Cardenal Herrera-CEU, CEU Universities, 46115 Valencia, Spain.

出版信息

Animals (Basel). 2025 Jun 2;15(11):1636. doi: 10.3390/ani15111636.

Abstract

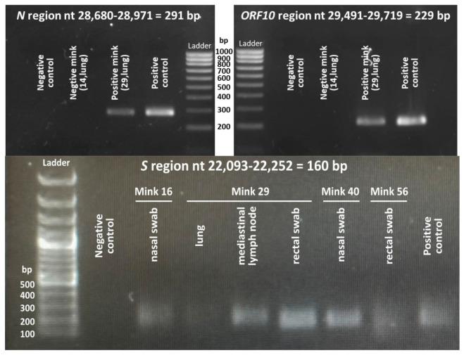
Severe Acute Respiratory Syndrome Coronavirus 2 (SARS-CoV-2), the zoonotic virus responsible for the COVID-19 pandemic, has caused global health and economic disruption. American mink () are highly susceptible to SARS-CoV-2 and capable of transmitting it to both mink and humans. We previously reported the first detection of SARS-CoV-2 in feral mink, with two positive cases among 13 animals in the upper courses of two rivers in the Valencian Community, eastern Spain. Here, we expand that study with 60 additional feral mink sampled from November 2020 to May 2022. Four new positives were identified by two-step RT-PCR assay on necropsy samples, including nasal and rectal swabs, lung tissue, lymph nodes, and fetuses from three pregnant females. In total, six of 73 mink tested positive, all with low viral loads. Sanger sequencing confirmed infection and revealed clustering with the B.1.177 and Alpha variants. Body weight and reproductive status analyses indicated seasonal breeding and high population turnover, consistent with other wild mink populations. Our findings reveal that SARS-CoV-2 circulation is limited in feral mink, at least in this region. They underscore the key importance of wildlife surveillance as an element of the One Health strategy, which encompasses humans, animals, and the environment.

摘要

严重急性呼吸综合征冠状病毒2(SARS-CoV-2)是导致COVID-19大流行的人畜共患病毒,已造成全球健康和经济混乱。美国水貂对SARS-CoV-2高度易感,并且能够将其传播给水貂和人类。我们之前报道了在野生水貂中首次检测到SARS-CoV-2,在西班牙东部巴伦西亚自治区两条河流上游的13只动物中有两例呈阳性。在此,我们通过从2020年11月至2022年5月采集的另外60只野生水貂扩大了该研究。通过对尸检样本(包括鼻拭子和直肠拭子、肺组织、淋巴结以及三只怀孕雌性的胎儿)进行两步RT-PCR检测,鉴定出4例新的阳性病例。总共73只水貂中有6只检测呈阳性,所有阳性的病毒载量都很低。桑格测序证实了感染,并显示与B.1.177和Alpha变体聚类。体重和繁殖状况分析表明存在季节性繁殖和高种群更替率,这与其他野生水貂种群一致。我们的研究结果表明,至少在该地区,SARS-CoV-2在野生水貂中的传播是有限的。它们强调了野生动物监测作为“同一健康”战略(涵盖人类、动物和环境)要素的关键重要性。

https://cdn.ncbi.nlm.nih.gov/pmc/blobs/5fa7/12153652/22efcd915f4b/animals-15-01636-g001.jpg

文献AI研究员

20分钟写一篇综述,助力文献阅读效率提升50倍。

立即体验

用中文搜PubMed

大模型驱动的PubMed中文搜索引擎

马上搜索

文档翻译

学术文献翻译模型,支持多种主流文档格式。

立即体验