Suppr超能文献

几丁质酶-1抑制可减轻MASH动物模型中的代谢失调并恢复体内平衡。

Chitinase-1 inhibition attenuates metabolic dysregulation and restores homeostasis in MASH animal models.

作者信息

Drzewicka Katarzyna, Głuchowska Katarzyna M, Mlącki Michal, Hofman Bartłomiej, Tuszyńska Irina, Ryan Tristram A J, Piwowar Katarzyna, Wilczyński Bartosz, Dymkowska Dorota, Grzybowski Marcin M, Dymek Barbara, Rejczak Tomasz, Lisiecki Kamil, Gołębiowski Adam, Jagielski Adam, Muchowicz Angelika, Ryan Dylan, Zabłocki Krzysztof, O'Neill Luke A J, Zasłona Zbigniew

机构信息

Molecure S.A., Warsaw, Poland.

Division of Immunology, Division of Gastroenterology, Harvard Medical School and Boston Children's Hospital, Boston, MA, United States.

出版信息

Front Immunol. 2025 May 29;16:1544973. doi: 10.3389/fimmu.2025.1544973. eCollection 2025.

Abstract

BACKGROUND

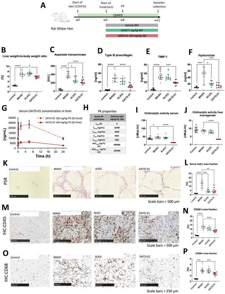
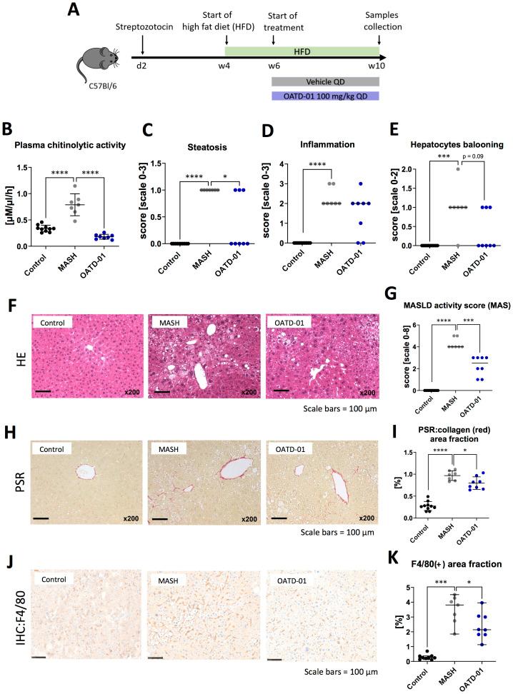
OATD-01 is a chitinase-1 (CHIT1) inhibitor, reducing inflammation and fibrosis in animal models where chronic inflammation leads to tissue remodeling. CHIT1, predominantly secreted by macrophages, is overexpressed in metabolic dysfunction-associated steatohepatitis (MASH).

METHODS AND RESULTS

In the study, we demonstrated the therapeutic efficacy of OATD-01 in two murine models (STAM, DIAMOND) and one rat model (CDHFD) of MASH. RNA-Seq analysis of livers obtained from CDHFD rat model revealed that OATD-01 reversed MASH-dysregulated genes. In addition to reducing inflammation and fibrosis observed in the rat model, RNA-Seq demonstrated that OATD-01 regulated key metabolic processes such as acetyl-CoA metabolism, triglyceride metabolism, cholesterol synthesis, cholesterol flux, and glycolysis. Using functional assay performed on bone marrow-derived macrophages (BMDMs) we demonstrated that both genetic and pharmacological inactivation of CHIT1 resulted in inhibition of glucose uptake. As a consequence, our data suggest decreased glycolysis, accompanied by increased ATP levels, lower citrate, and increased acetate levels, ultimately leading to a reduced IL-1β secretion in BMDMs.

CONCLUSIONS

These results revealed the key role for CHIT1 in regulating metabolism. OATD-01 is a macrophage modulator that can directly restore metabolic balance and consequently inhibit inflammation and fibrosis, supporting its use for MASH treatment.

摘要

背景

OATD-01是一种几丁质酶-1(CHIT1)抑制剂,可在慢性炎症导致组织重塑的动物模型中减轻炎症和纤维化。CHIT1主要由巨噬细胞分泌,在代谢功能障碍相关脂肪性肝炎(MASH)中过度表达。

方法与结果

在本研究中,我们证明了OATD-01在两种MASH小鼠模型(STAM、DIAMOND)和一种大鼠模型(CDHFD)中的治疗效果。对从CDHFD大鼠模型获得的肝脏进行RNA测序分析表明,OATD-01可逆转MASH失调的基因。除了减轻在大鼠模型中观察到的炎症和纤维化外,RNA测序还表明,OATD-01可调节关键的代谢过程,如乙酰辅酶A代谢、甘油三酯代谢、胆固醇合成、胆固醇通量和糖酵解。通过对骨髓来源的巨噬细胞(BMDM)进行功能测定,我们证明CHIT1的基因和药理学失活均导致葡萄糖摄取受到抑制。因此,我们的数据表明糖酵解减少,同时ATP水平升高、柠檬酸盐水平降低以及乙酸盐水平升高,最终导致BMDM中IL-1β分泌减少。

结论

这些结果揭示了CHIT1在调节代谢中的关键作用。OATD-01是一种巨噬细胞调节剂,可直接恢复代谢平衡,从而抑制炎症和纤维化,支持其用于MASH的治疗。

https://cdn.ncbi.nlm.nih.gov/pmc/blobs/02f4/12158736/09a3ab9e95a9/fimmu-16-1544973-g001.jpg

文献AI研究员

20分钟写一篇综述,助力文献阅读效率提升50倍。

立即体验

用中文搜PubMed

大模型驱动的PubMed中文搜索引擎

马上搜索

文档翻译

学术文献翻译模型,支持多种主流文档格式。

立即体验