Suppr超能文献

关键代谢物耗竭诱导的表观遗传重编程是肿瘤发生的一条古老进化途径。

Epigenetic reprogramming induced by key metabolite depletion is an evolutionarily ancient path to tumorigenesis.

作者信息

Chen Zhe, Zhang Xiaomeng, Deng Mingxi, Li Chongyang, Nguyen Thi Thuy, Liu Min, Dou Kun, Ishibashi Toyotaka, Wang Jiguang, Yan Yan

机构信息

Division of Life Science, The Hong Kong University of Science and Technology, Hong Kong 999077, China.

School of Life Science and Technology, ShanghaiTech University, Shanghai 201210, China.

出版信息

Dis Model Mech. 2025 Jun 1;18(6). doi: 10.1242/dmm.052313. Epub 2025 Jun 16.

Abstract

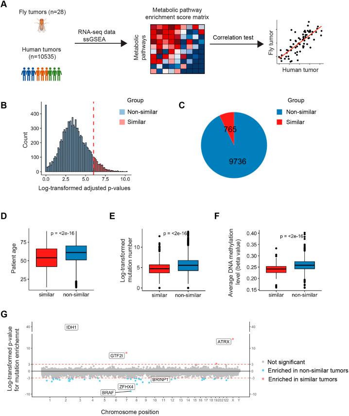
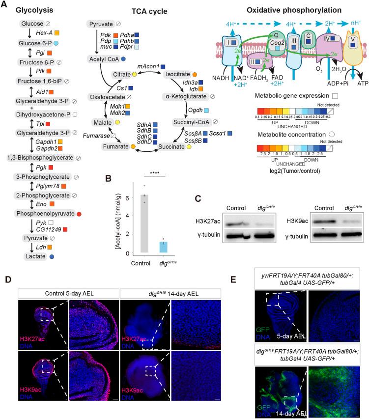
Tumor growth is a challenge for multicellular life forms. Contrary to human tumors, which take years to form, tumors in short-living species can arise within days without accumulating multiple mutations, raising the question whether the paths to tumorigenesis in diverse species have any commonalities. In a fly tumor model caused by loss of cell polarity genes, we identified two key metabolic changes: first, systemic depletion of acetyl-CoA leading to a reduction in histone acetylation levels and stochastic silencing of actively transcribed genes; and second, defects in the methionine cycle causing systemic depletion of S-adenosyl methionine, which further reduces histone methylation levels and causes stochastic activation of transposons. Perturbation of the methionine metabolic process inhibits tumor growth. To understand the evolutionary origin of tumorigenesis, we performed comparative studies of fly and human tumors and found that human tumors with metabolic signatures similar to those of fly tumors have a lower mutational load, younger patient age and lower DNA methylation levels. This study indicates that depletion of key metabolites is an evolutionarily ancient driving force for tumorigenesis.

摘要

肿瘤生长对多细胞生命形式而言是一项挑战。与需要数年时间形成的人类肿瘤不同,短命物种中的肿瘤在数天内即可出现,且无需积累多个突变,这就引发了一个问题,即不同物种的肿瘤发生途径是否存在任何共性。在由细胞极性基因缺失导致的果蝇肿瘤模型中,我们发现了两个关键的代谢变化:其一,乙酰辅酶A的全身消耗导致组蛋白乙酰化水平降低以及活跃转录基因的随机沉默;其二,甲硫氨酸循环缺陷导致S-腺苷甲硫氨酸的全身消耗,这进一步降低了组蛋白甲基化水平并导致转座子的随机激活。甲硫氨酸代谢过程的扰动会抑制肿瘤生长。为了理解肿瘤发生的进化起源,我们对果蝇和人类肿瘤进行了比较研究,发现具有与果蝇肿瘤相似代谢特征的人类肿瘤具有较低的突变负荷、较年轻的患者年龄和较低的DNA甲基化水平。这项研究表明,关键代谢物的消耗是肿瘤发生在进化上古老的驱动力。

https://cdn.ncbi.nlm.nih.gov/pmc/blobs/10b9/12208194/29f2b7fe8a47/dmm-18-052313-g1.jpg

文献AI研究员

20分钟写一篇综述,助力文献阅读效率提升50倍。

立即体验

用中文搜PubMed

大模型驱动的PubMed中文搜索引擎

马上搜索

文档翻译

学术文献翻译模型,支持多种主流文档格式。

立即体验