Suppr超能文献

一例异常剧烈的腹痛:病例报告

An unusually acute abdominal pain: A case report.

作者信息

Wang Ya-Chen, Zhang Jian-Feng, Shen Hong-Yuan, Guan Chengqi

机构信息

Department of Gastroenterology, Affiliated Hospital of Nantong University, Nantong, Jiangsu Province, China.

出版信息

Medicine (Baltimore). 2025 Jun 13;104(24):e42615. doi: 10.1097/MD.0000000000042615.

Abstract

RATIONALE

Acute abdominal pain is a common clinical symptom. Its etiology is complex and intricate. This is a case of small intestinal obstruction caused by bezoar combined with diabetes ketoacidosis, which leads to abdominal pain. The obstruction was caused by bezoars, which is rare in clinical practice, and worth summarizing and learning.

PATIENT CONCERNS

We reported a case of a 58-year-old female who was admitted to the hospital due to "upper abdominal pain for 3 days".

DIAGNOSES

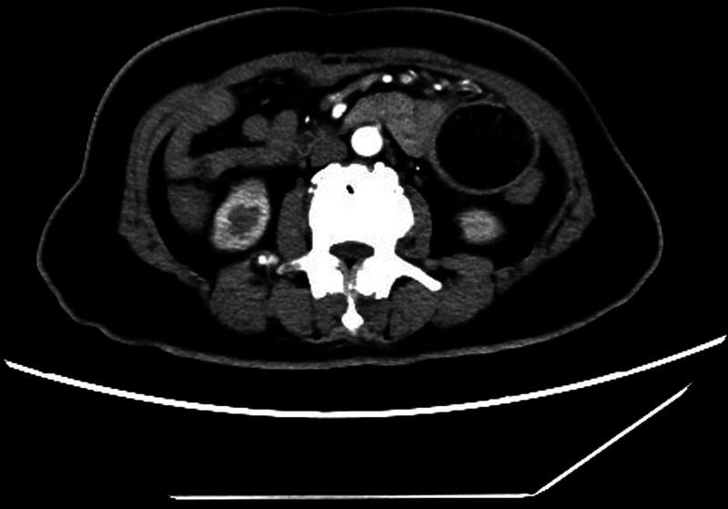
Fasting blood glucose was 21 mmol/L, urinary ketone body 3+, pondus hydrogenii (pH) 7.309, actual and standard bicarbonate decreased, and abdominal enhanced computed tomography showed a rounded low-density shadow with sharp edges and well-defined borders in the lumen of the bowel on the left side of the abdomen, with a size of 6 cm, and no significant enhancement within the lesion.

INTERVENTIONS

Including hypoglycemic treatment, correction of acid-base imbalance and electrolyte disorders, and removal of gastric stones through laparoscopy, etc.

OUTCOMES

This abdominal pain was caused by a small intestinal obstruction caused by bezoar combined with diabetes ketoacidosis. The patient was discharged successfully and remained symptom-free during follow-up.

LESSONS

There are many causes of acute abdominal pain. In clinical practice, we should comprehensively consider and diagnose the causes of abdominal pain based on the patient's current medical history, past medical history, physical examination, and auxiliary examinations. We must be alert to rare and multiple causes that can jointly cause abdominal pain, and promptly deal with different causes.

摘要

理论依据

急性腹痛是一种常见的临床症状。其病因复杂且棘手。这是一例由胃石合并糖尿病酮症酸中毒导致肠梗阻进而引起腹痛的病例。胃石导致的肠梗阻在临床实践中较为罕见,值得总结学习。

患者情况

我们报告了一例58岁女性因“上腹部疼痛3天”入院的病例。

诊断结果

空腹血糖21 mmol/L,尿酮体3+,酸碱度(pH)7.309,实际碳酸氢盐和标准碳酸氢盐降低,腹部增强计算机断层扫描显示在腹部左侧肠腔内有一个边缘锐利、边界清晰的圆形低密度阴影,大小为6厘米,病变内部无明显强化。

干预措施

包括降糖治疗、纠正酸碱失衡和电解质紊乱以及通过腹腔镜清除胃石等。

治疗结果

此次腹痛是由胃石合并糖尿病酮症酸中毒导致的肠梗阻引起。患者成功出院,随访期间无复发。

经验教训

急性腹痛的病因众多。在临床实践中,我们应根据患者当前病史、既往病史、体格检查及辅助检查全面考虑并诊断腹痛原因。必须警惕可能共同导致腹痛的罕见及多种病因,并及时针对不同病因进行处理。

https://cdn.ncbi.nlm.nih.gov/pmc/blobs/2770/12173252/46a31e604264/medi-104-e42615-g001.jpg

文献AI研究员

20分钟写一篇综述,助力文献阅读效率提升50倍。

立即体验

用中文搜PubMed

大模型驱动的PubMed中文搜索引擎

马上搜索

文档翻译

学术文献翻译模型,支持多种主流文档格式。

立即体验