Suppr超能文献

蛋白酶敏感型白细胞介素-15介导的益生菌重编程肿瘤微环境及光热疗法

Probiotic-mediated tumor microenvironment reprogramming with protease-sensitive interleukin-15 and photothermal therapy.

作者信息

Wang Huifang, Zheng Liuhai, Yang Chuanbin, Jia Lin, Zhou Runhua, Liu Hongda, Dong Yafang, Xu Xiaolong, Shi Guangwei, Yang Jialu, Li Yang, Yuan Haitao, Cen Jinpeng, Zhang Guiming, Yu Le, Guo Tianqi, Jiang Haibo, Liu Yawei, Wang Xijun, Li Zhijie, Wang Jigang

机构信息

Department of Critical Care Medicine, Guangdong Provincial Clinical Research Center for Geriatrics, Shenzhen Clinical Research Centre for Geriatrics, Shenzhen People's Hospital (The First Affiliated Hospital, Southern University of Science and Technology, The Second Clinical Medical College, Jinan University), Shenzhen, Guangdong 518020, China.

College of Pharmacy, Shenzhen Technology University, Shenzhen, Guangdong 518118, China.

出版信息

Cell Rep Med. 2025 Jun 17;6(6):102191. doi: 10.1016/j.xcrm.2025.102191.

Abstract

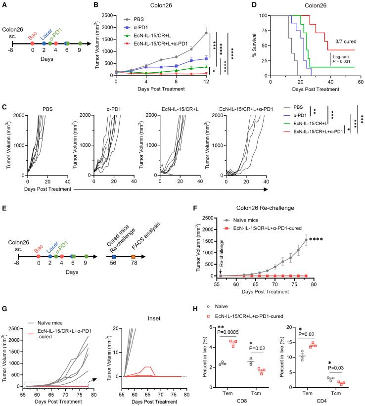
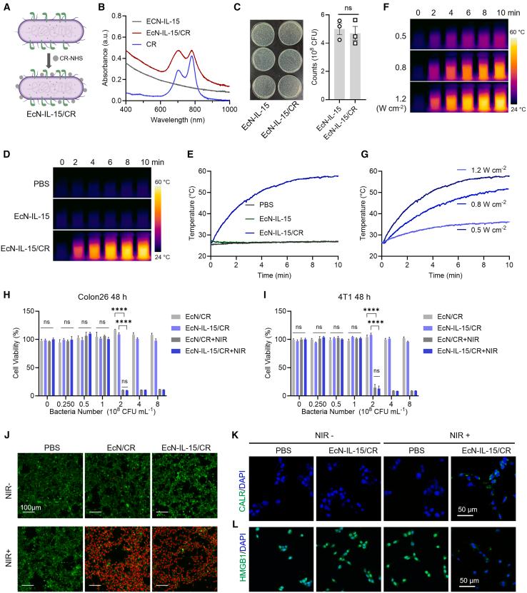
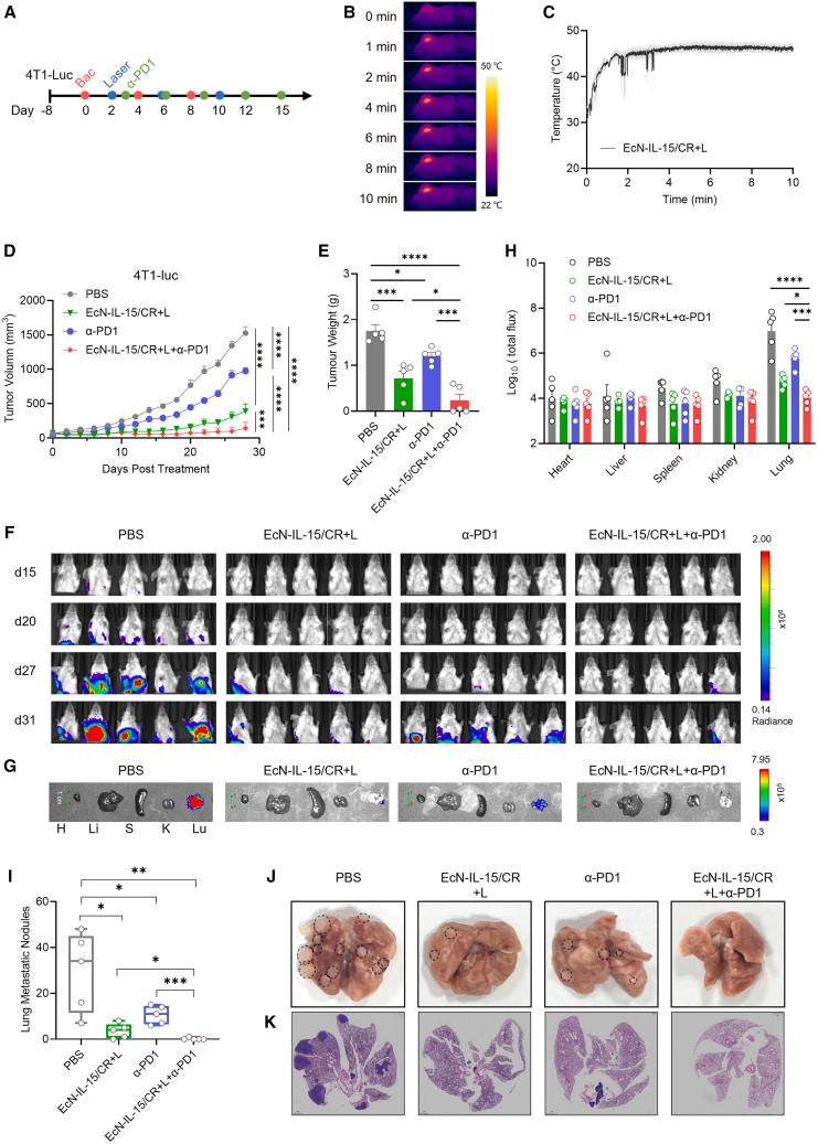
T cell inadequacy or exhaustion often causes the failure of immune checkpoint blockade (ICB)-based immunotherapy. Interleukin-15 (IL-15) has been used to prime the tumor microenvironment (TME) to boost the efficiency of immunotherapy. However, its clinical application is hindered by systemic toxicity and low intratumoral concentrations. Here, we engineer the probiotic Escherichia coli Nissle 1917 to deliver IL-15 and croconium dye, enabling the TME-responsive release of IL-15 and amplifying the antitumor effect through photothermal therapy. This promotes the recruitment of antigen-presenting cells and T cells and the expansion of T/natural killer cells induced by IL-15. Consequently, it halts the tumor growth and induces systemic memory T cell production. This approach combined with ICBs generates prominent synergistic effects across various immune-hot and immune-cold tumors. This study provides a strategy for targeted delivery of cytokines, demonstrating its high potential for TME reprogramming when combined with immunogenic cell death inducers.

摘要

T细胞功能不足或耗竭往往会导致基于免疫检查点阻断(ICB)的免疫疗法失效。白细胞介素-15(IL-15)已被用于调节肿瘤微环境(TME),以提高免疫疗法的效率。然而,其临床应用受到全身毒性和肿瘤内浓度低的阻碍。在此,我们对益生菌大肠杆菌Nissle 1917进行改造,使其能够递送IL-15和藏红花染料,实现TME响应性的IL-15释放,并通过光热疗法增强抗肿瘤效果。这促进了抗原呈递细胞和T细胞的募集以及由IL-15诱导的T/自然杀伤细胞的扩增。因此,它抑制了肿瘤生长并诱导了全身记忆T细胞的产生。这种方法与ICB联合使用,在各种免疫热肿瘤和免疫冷肿瘤中均产生了显著的协同效应。本研究提供了一种细胞因子靶向递送策略,证明其与免疫原性细胞死亡诱导剂联合使用时在重编程TME方面具有很高的潜力。

https://cdn.ncbi.nlm.nih.gov/pmc/blobs/e82e/12208336/056211fe2c05/fx1.jpg

文献AI研究员

20分钟写一篇综述,助力文献阅读效率提升50倍。

立即体验

用中文搜PubMed

大模型驱动的PubMed中文搜索引擎

马上搜索

文档翻译

学术文献翻译模型,支持多种主流文档格式。

立即体验