Suppr超能文献

虾青素通过调节NOX4、趋化因子、Nrf2和AP-1信号通路减轻HF/HFr/STZ糖尿病大鼠的糖尿病性心肌病和肾病。

Astaxanthin mitigates diabetic cardiomyopathy and nephropathyin HF/HFr/STZ diabetic rats via modulating NOX4, fractalkine, Nrf2, and AP-1 pathways.

作者信息

El-Nasr Nesma M E Abo, Hussien Yosra A, El-Baset Marawan Abd, Shabana Marwa E, Saleh Dalia O

机构信息

Pharmacology Department, Medical Research and Clinical Studies Institute, National Research Centre, 33 El-Bohouth St., Dokki, P.O. 12622, Cairo, Egypt.

Stark Neurosciences Research Institute, Indiana University School of Medicine, Indianapolis, IN, USA.

出版信息

Sci Rep. 2025 Jun 20;15(1):20199. doi: 10.1038/s41598-025-06263-8.

Abstract

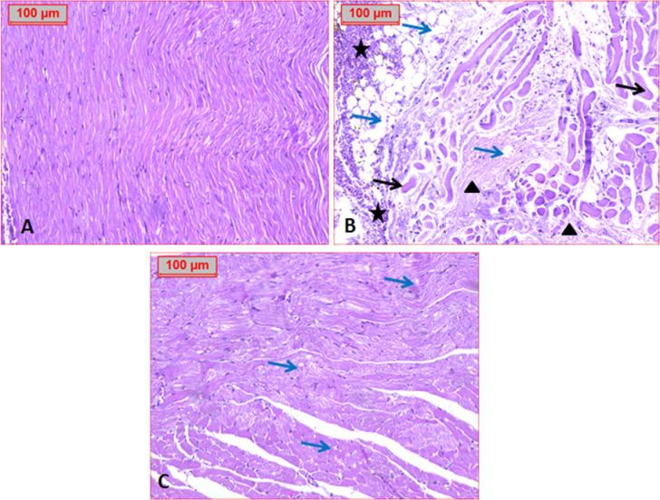
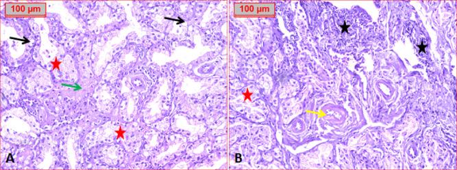
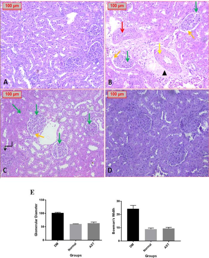
This study investigated the effects of astaxanthin (ASTA) on diabetic cardiomyopathy (DCM) and nephropathy (DN) in rats. Type 2 diabetes was induced through a high-fat/high-fructose (HF/HFr) diet followed by a sub-diabetogenic dose streptozotocin injection. Diabetic rats were treated with ASTA at a dose of 100 mg/kg for four weeks. Serum markers of renal and cardiac function, oxidative stress parameters, and electrocardiographic (ECG) measurements were assessed. Diabetic control rats exhibited significant impairment in renal and cardiac functions, heightened oxidative stress, and altered ECG parameters. Treatment with ASTA (100 mg/kg) markedly improved these conditions, proven by reduction in serum urea, creatinine, cardiac creatine phosphokinase-MB (CK-MB), and LDH levels. Additionally, oxidative stress markers such as MDA, GSH, SOD, and NOX4 were restored in both heart and kidney tissues. Furthermore, ASTA was able to increase the cardiac and renal Fractalkine chemokine as well as attenuate the elevated Nrf2 and AP-1. ECG abnormalities were partially reversed, with enhancements in the QTc interval and ST segment height. The histopathological examination of cardiac and renal tissues confirmed these results. Finally, the forementioned promising observations suggest that ASTA may offer therapeutic potential in mitigating DCM and DN via modulation of NOX4, Fractalkine, Nrf2, and AP-1 Pathway, warranting further research into its mechanisms and clinical applicability.

摘要

本研究调查了虾青素(ASTA)对大鼠糖尿病性心肌病(DCM)和肾病(DN)的影响。通过高脂/高果糖(HF/HFr)饮食诱导2型糖尿病,随后注射亚致糖尿病剂量的链脲佐菌素。糖尿病大鼠以100 mg/kg的剂量接受ASTA治疗,持续四周。评估了肾脏和心脏功能的血清标志物、氧化应激参数以及心电图(ECG)测量结果。糖尿病对照大鼠表现出肾脏和心脏功能的显著损害、氧化应激增强以及心电图参数改变。用ASTA(100 mg/kg)治疗显著改善了这些状况,血清尿素、肌酐、心脏肌酸磷酸激酶-MB(CK-MB)和乳酸脱氢酶水平降低证明了这一点。此外,心脏和肾脏组织中的氧化应激标志物如丙二醛(MDA)、谷胱甘肽(GSH)、超氧化物歧化酶(SOD)和NADPH氧化酶4(NOX4)均恢复正常。此外,ASTA能够增加心脏和肾脏中的趋化因子Fractalkine,并减弱升高的核因子E2相关因子2(Nrf2)和活化蛋白-1(AP-1)。心电图异常部分得到逆转,QTc间期和ST段高度有所改善。心脏和肾脏组织的组织病理学检查证实了这些结果。最后,上述有前景的观察结果表明,ASTA可能通过调节NOX4、Fractalkine、Nrf2和AP-1信号通路,在减轻DCM和DN方面具有治疗潜力,值得进一步研究其机制和临床适用性。

https://cdn.ncbi.nlm.nih.gov/pmc/blobs/2c26/12181436/80f60a0b3cd8/41598_2025_6263_Fig1_HTML.jpg

文献AI研究员

20分钟写一篇综述,助力文献阅读效率提升50倍。

立即体验

用中文搜PubMed

大模型驱动的PubMed中文搜索引擎

马上搜索

文档翻译

学术文献翻译模型,支持多种主流文档格式。

立即体验