Suppr超能文献

长春胺通过调节大鼠庆大霉素诱导的肝毒性和肾毒性中的ampk/mtor信号通路诱导细胞保护性自噬。

Vincamine induces cytoprotective autophagy via regulation of ampk/mtor signaling pathway in gentamicin-induced hepatotoxicity and nephrotoxicity in rats.

作者信息

Abouelhamd Alaa, Shehata Nourhan Elpry Mahmoud, Abdel-Hafez Sara Mohamed Naguib, Abu-Baih Dalia H

机构信息

Department of Biochemistry & Molecular Biology, Faculty of Pharmacy, Deraya University, New Minia City, 61111, Minia, Egypt.

Deraya Center for scientific Research, Deraya University, New Minia City, 61111, Minia, Egypt.

出版信息

Sci Rep. 2025 Jun 20;15(1):20202. doi: 10.1038/s41598-025-06355-5.

Abstract

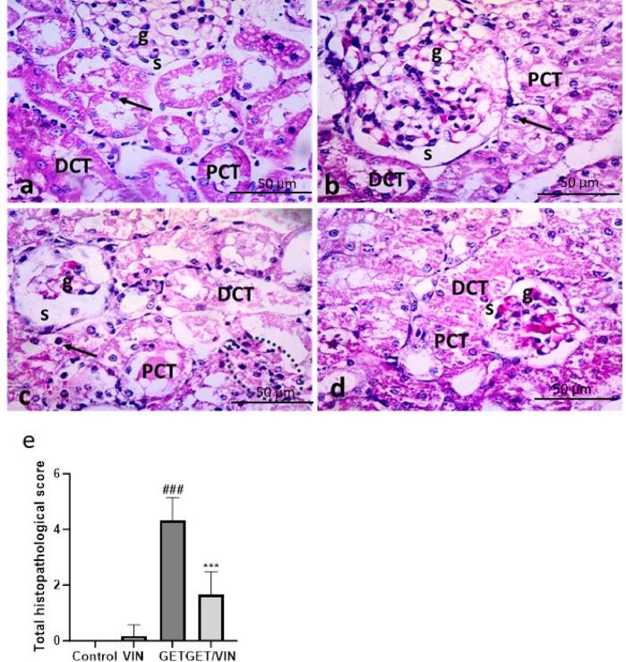
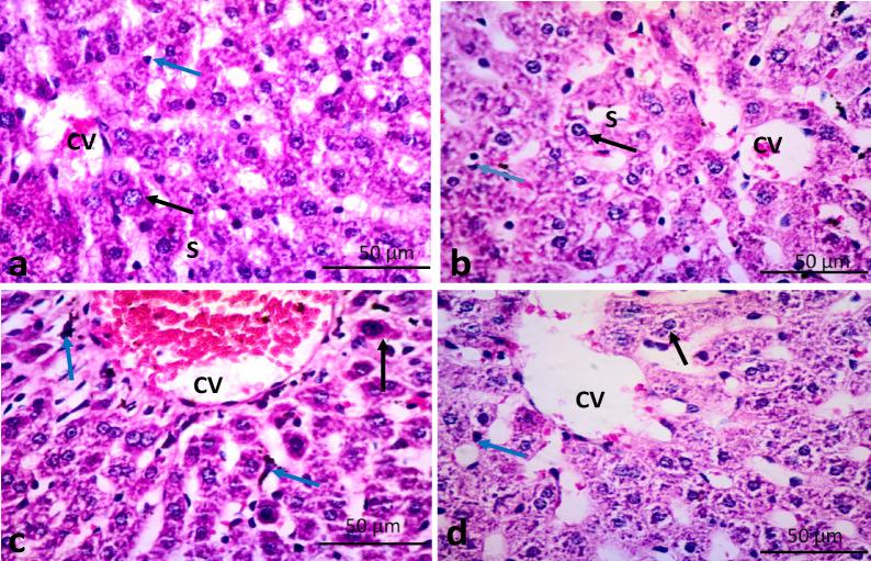
Gentamicin (GET), a widely utilized aminoglycoside antibiotic for severe bacterial infections, is associated with significant hepatorenal toxicity. These adverse effects are frequently exacerbated by GET-induced oxidative stress and inflammation. This study aimed to evaluate the potential protective efficacy of vincamine (VIN) against GET-induced hepatic and renal damage. 4 groups of adult male rats were assigned: normal control (received CMC), GET (100 mg/kg, i.p.), VIN (40 mg/kg, p.o.), and GET/VIN (received both VIN and GET) for 7 days. Liver and kidney function tests were performed. Serum total antioxidant capacity (TAC) and tissue malondialdehyde (MDA) were quantified. To assess apoptosis, Bax and Bcl-2 mRNA levels were quantified using real-time polymerase chain reaction (RT-PCR), while cleaved caspase-3 protein levels were measured using ELISA. Histopathological alterations were also examined. The implication of autophagy was assessed by detecting AMPK, beclin-1, LC3 and mTOR proteins. Our results indicated that VIN significantly attenuated GET-induced hepatotoxicity and nephrotoxicity by mitigating oxidative stress and apoptosis. Mechanistically, VIN modulated apoptotic pathways by upregulating the anti-apoptotic Bcl-2 gene and downregulating the pro-apoptotic Bax gene. Notably, VIN potently enhanced autophagy through modulation of the AMPK/mTOR signaling pathway, evidenced by the upregulation of beclin1 and LC3 levels. Histopathological analysis further corroborated these findings, demonstrating that VIN markedly reduced the tissue damage associated with GET administration. VIN demonstrates potential as a cytoprotective agent against GET-induced hepatorenal toxicity. The protective effect of VIN may be attributed to its capacity to modulate the Bax/Bcl-2/Caspase-3-dependent apoptotic pathway and the AMPK/mTOR-mediated autophagy pathway.

摘要

庆大霉素(GET)是一种广泛用于治疗严重细菌感染的氨基糖苷类抗生素,具有显著的肝肾毒性。GET诱导的氧化应激和炎症常常会加剧这些不良反应。本研究旨在评估长春胺(VIN)对GET诱导的肝损伤和肾损伤的潜在保护作用。将成年雄性大鼠分为4组:正常对照组(给予羧甲基纤维素钠)、GET组(100 mg/kg,腹腔注射)、VIN组(40 mg/kg,口服)和GET/VIN组(同时给予VIN和GET),持续7天。进行肝功能和肾功能检测。定量测定血清总抗氧化能力(TAC)和组织丙二醛(MDA)含量。为评估细胞凋亡,采用实时聚合酶链反应(RT-PCR)定量测定Bax和Bcl-2 mRNA水平,同时采用酶联免疫吸附测定(ELISA)检测裂解的半胱天冬酶-3蛋白水平。还检查了组织病理学改变。通过检测AMPK、贝林1、微管相关蛋白1轻链3(LC3)和雷帕霉素靶蛋白(mTOR)蛋白评估自噬的影响。我们的结果表明,VIN通过减轻氧化应激和细胞凋亡,显著减轻了GET诱导的肝毒性和肾毒性。机制上,VIN通过上调抗凋亡的Bcl-2基因和下调促凋亡的Bax基因来调节凋亡途径。值得注意的是,VIN通过调节AMPK/mTOR信号通路有力地增强了自噬,贝林1和LC3水平的上调证明了这一点。组织病理学分析进一步证实了这些发现,表明VIN显著减少了与GET给药相关的组织损伤。VIN显示出作为一种抗GET诱导的肝肾毒性的细胞保护剂的潜力。VIN的保护作用可能归因于其调节Bax/Bcl-2/半胱天冬酶-3依赖性凋亡途径和AMPK/mTOR介导自噬途径的能力。

https://cdn.ncbi.nlm.nih.gov/pmc/blobs/6870/12181324/95e2920c9c79/41598_2025_6355_Fig1_HTML.jpg

文献AI研究员

20分钟写一篇综述,助力文献阅读效率提升50倍。

立即体验

用中文搜PubMed

大模型驱动的PubMed中文搜索引擎

马上搜索

文档翻译

学术文献翻译模型,支持多种主流文档格式。

立即体验