Suppr超能文献

脂质纳米颗粒递送的脂联素修饰信使核糖核酸对体外和体内脂肪生成及骨代谢的影响

Effects of Modified Messenger RNA of Adiponectin Delivered by Lipid Nanoparticles on Adipogenesis and Bone Metabolism In Vitro and In Vivo.

作者信息

Xie Ying, Ma Qian, Wang Jinghao, Zhu Zoe Xiaofang, El-Araby Rady E, Tu Maxwell, Li Zhongyu, Xu Xiaoyang, Tu Qisheng, Chen Jake

机构信息

Department of Periodontology, Peking University School and Hospital of Stomatology & National Center for Stomatology & National Clinical Research Center for Oral Diseases & National Engineering Research Center of Oral Biomaterials and Digital Medical Devices, Beijing 100081, China.

Division of Oral Biology, Department of Periodontology, Tufts University School of Dental Medicine, Boston, MA 02111, USA.

出版信息

Cells. 2025 Jun 13;14(12):891. doi: 10.3390/cells14120891.

Abstract

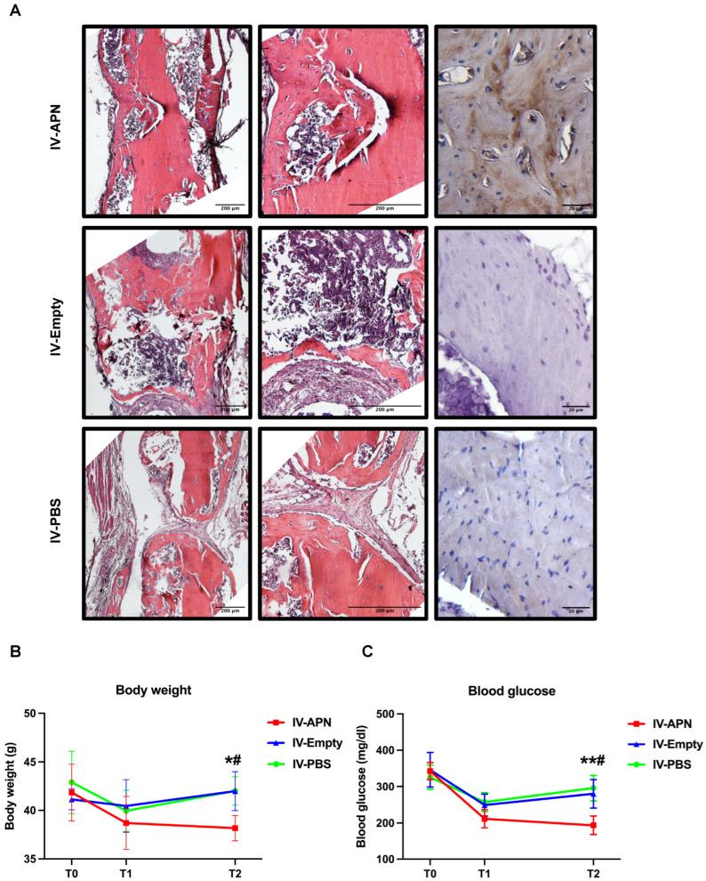
Adiponectin (APN) is a secreted adipokine that plays a key role in modulating energy and bone metabolism, as well as regulating inflammatory responses. The overexpression of APN has been proposed as a potential therapeutic strategy for treating obesity and related disorders. Lipid nanoparticles (LNPs) are promising vectors for transporting messenger ribonucleic acid (mRNA) molecules. This study tested whether delivering a stabilized version of adiponectin mRNA (APN mRNA) using lipid nanoparticles could reduce fat formation and promote bone repair in vitro and in vivo. We demonstrated that transfection with APN-LNP upregulated the mRNA and protein expression of APN, while inhibiting adipogenesis in 3T3-L1 adipocytes. APN-LNP enhanced osteogenic gene expression in MC3T3-E1 cells in a dose-dependent manner. It also reduced matrix metalloproteinase 9 expression in receptor activator of nuclear factor-kappaB ligand (RANKL)-stimulated RAW264.7 cells, suggesting an anti-resorptive effect. In vivo, a femoral fracture model was established to explore the application of APN-LNP in promoting bone healing in diet-induced obese mice. Micro-computed tomography and histology analysis indicated that intravenous injection with APN-LNP promoted bone healing. Fasting blood glucose and body weight were decreased in the APN-LNP group. Moreover, APN-LNP increased bone sialoprotein and runt-related transcription factor 2 expression in contralateral femurs, as well as interleukin-10 expression in white adipose tissues. Thus, our study provides promising preclinical data on the potential use of APN-LNP for treating bone disorders in obesity.

摘要

脂联素(APN)是一种分泌型脂肪因子,在调节能量和骨代谢以及调节炎症反应中起关键作用。APN的过表达已被提议作为治疗肥胖症及相关疾病的一种潜在治疗策略。脂质纳米颗粒(LNPs)是用于转运信使核糖核酸(mRNA)分子的有前景的载体。本研究测试了使用脂质纳米颗粒递送稳定化的脂联素mRNA(APN mRNA)是否能在体外和体内减少脂肪形成并促进骨修复。我们证明,用APN-LNP转染可上调APN的mRNA和蛋白表达,同时抑制3T3-L1脂肪细胞中的脂肪生成。APN-LNP以剂量依赖性方式增强MC3T3-E1细胞中的成骨基因表达。它还降低了核因子-κB受体激活剂配体(RANKL)刺激的RAW264.7细胞中基质金属蛋白酶9的表达,提示具有抗吸收作用。在体内,建立股骨骨折模型以探索APN-LNP在促进饮食诱导的肥胖小鼠骨愈合中的应用。微计算机断层扫描和组织学分析表明,静脉注射APN-LNP可促进骨愈合。APN-LNP组的空腹血糖和体重降低。此外,APN-LNP增加了对侧股骨中骨唾液蛋白和 runt相关转录因子2的表达,以及白色脂肪组织中白细胞介素-10的表达。因此,我们的研究为APN-LNP在治疗肥胖症相关骨疾病方面的潜在应用提供了有前景的临床前数据。

https://cdn.ncbi.nlm.nih.gov/pmc/blobs/3e03/12190357/4c8d1c2b8519/cells-14-00891-g001.jpg

文献AI研究员

20分钟写一篇综述,助力文献阅读效率提升50倍。

立即体验

用中文搜PubMed

大模型驱动的PubMed中文搜索引擎

马上搜索

文档翻译

学术文献翻译模型,支持多种主流文档格式。

立即体验