Suppr超能文献

胰十二指肠切除术后的影像学评估:精准处理并发症的方法——一篇叙述性综述

Radiological Assessment After Pancreaticoduodenectomy for a Precision Approach to Managing Complications: A Narrative Review.

作者信息

Urraro Fabrizio, Patanè Vittorio, Clemente Alfredo, Giordano Nicoletta, Caputo Damiano, Cammarata Roberto, Costa Gianluca, Reginelli Alfonso

机构信息

Department of Life Sciences, Health and Health Professions, Link Campus University, 00165 Rome, Italy.

Department of Precision Medicine, University of Campania "L. Vanvitelli", 80138 Naples, Italy.

出版信息

J Pers Med. 2025 May 28;15(6):220. doi: 10.3390/jpm15060220.

Abstract

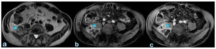
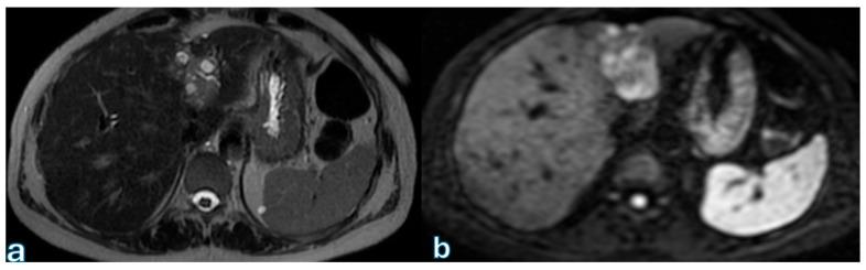
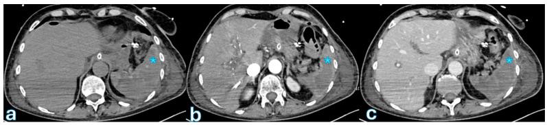
Radiological assessment following pancreaticoduodenectomy is critical for the prompt diagnosis and management of postoperative complications, significantly influencing patient outcomes. Pancreaticoduodenectomy, or the Whipple procedure, is the standard surgical intervention for pancreatic and periampullary malignancies, but it involves notable risks, especially from complications like fistulas, bleeding, or leakage. Cross-sectional imaging, particularly contrast-enhanced computed tomography, serves as the primary diagnostic tool due to its rapid acquisition, high resolution, and effective delineation of postoperative anatomy and complications. Magnetic resonance imaging (with cholangiopancreatography and hepatobiliary contrast agents) complements CT by providing superior contrast resolution for specific complications, notably in the biliary system and pancreatic duct. This narrative review discusses various imaging techniques and their applications, highlighting characteristic radiological features of common postoperative complications. It underscores the importance of a multidisciplinary approach, emphasizing close collaboration between radiologists and surgeons to optimize surgical decision-making and improve patient management post-pancreatic surgery.

摘要

胰十二指肠切除术后的影像学评估对于术后并发症的及时诊断和处理至关重要,对患者预后有显著影响。胰十二指肠切除术,即惠普尔手术,是治疗胰腺和壶腹周围恶性肿瘤的标准外科手术,但该手术存在显著风险,尤其是瘘、出血或渗漏等并发症。横断面成像,特别是增强计算机断层扫描,因其采集速度快、分辨率高且能有效描绘术后解剖结构和并发症,成为主要的诊断工具。磁共振成像(结合磁共振胰胆管造影和肝胆对比剂)通过为特定并发症提供更高的对比分辨率来补充CT,尤其是在胆道系统和胰管方面。本叙述性综述讨论了各种成像技术及其应用,突出了常见术后并发症的特征性影像学表现。强调了多学科方法的重要性,强调放射科医生和外科医生之间密切合作,以优化手术决策并改善胰腺手术后的患者管理。

https://cdn.ncbi.nlm.nih.gov/pmc/blobs/ef01/12194379/4d9fdd15e48d/jpm-15-00220-g001.jpg

文献AI研究员

20分钟写一篇综述,助力文献阅读效率提升50倍。

立即体验

用中文搜PubMed

大模型驱动的PubMed中文搜索引擎

马上搜索

文档翻译

学术文献翻译模型,支持多种主流文档格式。

立即体验