Suppr超能文献

S-取代蝶啶在大鼠四氯化碳诱导急性肝炎治疗中的应用

The Application of S-Substituted Pteridine for CCl-Induced Acute Hepatitis Treatment in Rats.

作者信息

Lohvinenko Natalia, Shvets Volodymyr, Antypenko Oleksii, Voskoboinik Oleksii, Bozhkov Andrii, Maslak Hanna, Oksenych Valentyn, Kamyshnyi Oleksandr, Okovytyy Sergiy, Kovalenko Serhii

机构信息

Department of Physiology, Immunology, Biochemistry with a Course in Civil Defense and Medicine, Zaporizhzhia National University, 69063 Zaporizhzhia, Ukraine.

Department of Biochemistry, Zaporizhzhia State Medical and Pharmaceutical University, 69000 Zaporizhzhia, Ukraine.

出版信息

Biomedicines. 2025 May 22;13(6):1276. doi: 10.3390/biomedicines13061276.

Abstract

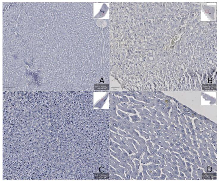
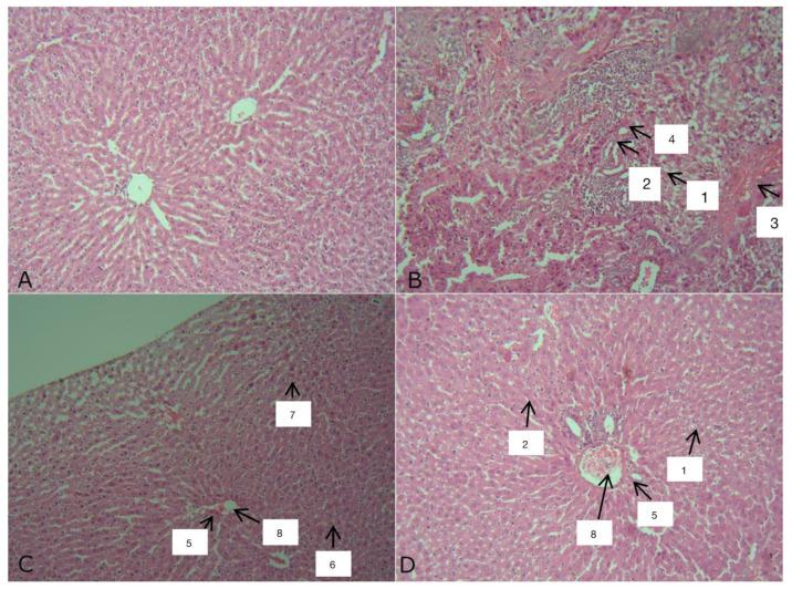
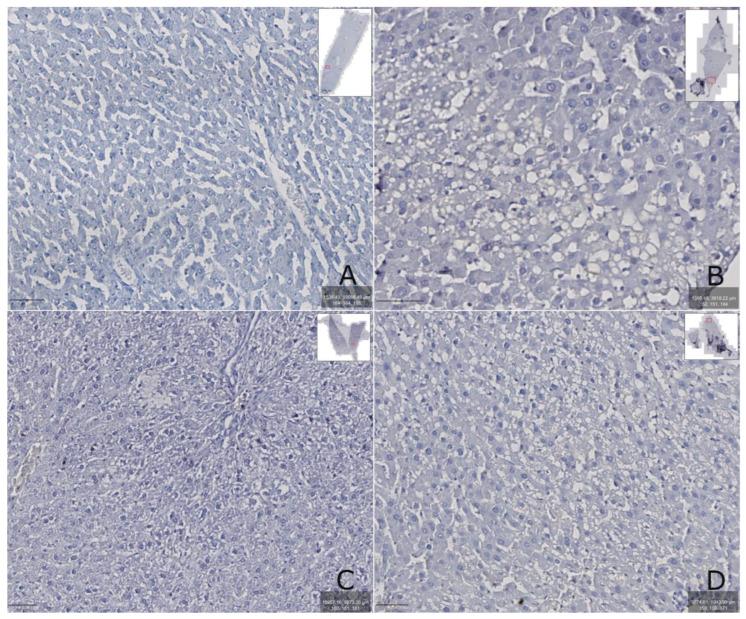
Liver disease is one of the most common medical problems in the world. The pharmacological correction of these pathologies includes the use of drugs with antioxidant and hepatoprotective action, among which there are natural and synthetic sulfur-containing compounds. However, many of these drugs have side effects, and their application does not always correspond to approaches in evidence-based medicine. Therefore, today the urgent problem is the search for new effective substances with high metabolitotropic properties and high safety criteria. The aim of this work was an in-depth study of the hepatoprotective and antioxidant action of a new investigational pteridine-containing "lead-compound" (DCTP) under conditions of experimental tetrachloromethane hepatitis in rats in comparison with the reference drug "Thiotriazoline". The hepatoprotective effect of the compound was studied using a model of acute tetrachloromethane (CCl) hepatitis in adult male Wistar rats. The levels of biochemical liver damage markers were estimated with spectrophotometric methods. Histological and immunohistochemical methods were used for the determination of hepatocyte damage. The statistical processing of data was performed using the nonparametric Wilcoxon-Mann-Whitney method. The results of the studies showed that DCTP was superior to the reference drug Thiotriazoline in terms of its effect on the levels of AST, DC, Schiff bases, and carbonylated proteins, which are markers of oxidative (Nrf2) and inflammatory (Lipocalin-2) stress, as well as its effect on animal survival. The results were confirmed by histological examination data, which showed regeneration of the hepatocyte membrane structure; a reduction in infiltrative, destructive, and inflammatory process in the liver; a reduction in the cytolytic process; stabilization; and an increase in the functional activity of the liver due to the administration of the study drug. The pharmacological effects of the studied compound (DCTP) are probably associated with its structural similarity to tetrahydrofolic acid, which is an integral component of oxidation-reduction processes and a participant in the biosynthesis of nitrogenous bases of nucleotides and amino acids. The obtained data show the antioxidant and hepatoprotective properties of the studied "lead-compound" from the pteridinethione group (DCTP). It was shown that the studied substance DCTP significantly reduces acute hepatotoxic effects caused by CCl, as evidenced by the decrease in the level of lipid peroxidation and prooxidant markers, the normalization of liver biochemical markers, the regeneration of the liver architecture, the limitation of inflammatory effects, the decrease in Nrf2 and Lipocalin-2 markers, and the induction of liver antioxidant enzymes.

摘要

肝脏疾病是世界上最常见的医学问题之一。这些病症的药物治疗包括使用具有抗氧化和肝脏保护作用的药物,其中有天然和合成的含硫化合物。然而,这些药物中的许多都有副作用,并且它们的应用并不总是符合循证医学的方法。因此,当今的紧迫问题是寻找具有高代谢调节特性和高安全标准的新型有效物质。这项工作的目的是深入研究一种新的含蝶啶“先导化合物”(DCTP)在大鼠实验性四氯化碳肝炎条件下的肝脏保护和抗氧化作用,并与参比药物“硫代三唑啉”进行比较。使用成年雄性Wistar大鼠急性四氯化碳(CCl)肝炎模型研究了该化合物的肝脏保护作用。用分光光度法估计肝脏生化损伤标志物的水平。组织学和免疫组织化学方法用于测定肝细胞损伤。使用非参数Wilcoxon-Mann-Whitney方法对数据进行统计处理。研究结果表明,DCTP在对AST、DC、席夫碱和羰基化蛋白水平的影响方面优于参比药物硫代三唑啉,这些是氧化应激(Nrf2)和炎症应激(脂质运载蛋白-2)的标志物,以及其对动物存活率的影响。组织学检查数据证实了这些结果,该数据显示肝细胞膜结构的再生;肝脏中浸润、破坏和炎症过程的减少;细胞溶解过程的减少;稳定化;以及由于给予研究药物而导致肝脏功能活性的增加。所研究化合物(DCTP)的药理作用可能与其与四氢叶酸的结构相似性有关,四氢叶酸是氧化还原过程的一个组成部分,也是核苷酸和氨基酸含氮碱基生物合成的参与者。获得的数据显示了所研究的蝶啶硫酮基团“先导化合物”(DCTP)的抗氧化和肝脏保护特性。结果表明,所研究的物质DCTP显著降低了由CCl引起的急性肝毒性作用,脂质过氧化水平和促氧化剂标志物的降低、肝脏生化标志物的正常化、肝脏结构的再生、炎症作用的限制、Nrf2和脂质运载蛋白-2标志物的降低以及肝脏抗氧化酶的诱导都证明了这一点。

https://cdn.ncbi.nlm.nih.gov/pmc/blobs/7d8f/12189556/d44c039ee66d/biomedicines-13-01276-g001.jpg

文献AI研究员

20分钟写一篇综述,助力文献阅读效率提升50倍。

立即体验

用中文搜PubMed

大模型驱动的PubMed中文搜索引擎

马上搜索

文档翻译

学术文献翻译模型,支持多种主流文档格式。

立即体验