Suppr超能文献

非远处转移鼻咽癌患者的甲状腺保留容积调强弧形放疗:一项可行性研究。

Thyroid-sparing volume-modulated arc therapy in patients with non-distant metastatic nasopharyngeal carcinoma: a feasibility study.

作者信息

Xie Renxian, Lu Jiayang, Cai Qingxin, Li Longbo, Xie Keyan, Chen Tong, Huang Hongxin, Chen Jianzhou, Zhang Ying, Chen Chuangzhen

机构信息

Department of Radiation Oncology, Cancer Hospital of Shantou University Medical College, Shantou, China.

Shantou University Medical College, Shantou, China.

出版信息

Front Oncol. 2025 Jun 12;15:1443226. doi: 10.3389/fonc.2025.1443226. eCollection 2025.

Abstract

PURPOSE

To assess the dosimetric feasibility of thyroid-sparing volume-modulated arc therapy (TS VMAT) in patients with non-distant metastatic nasopharyngeal carcinoma.

METHODS

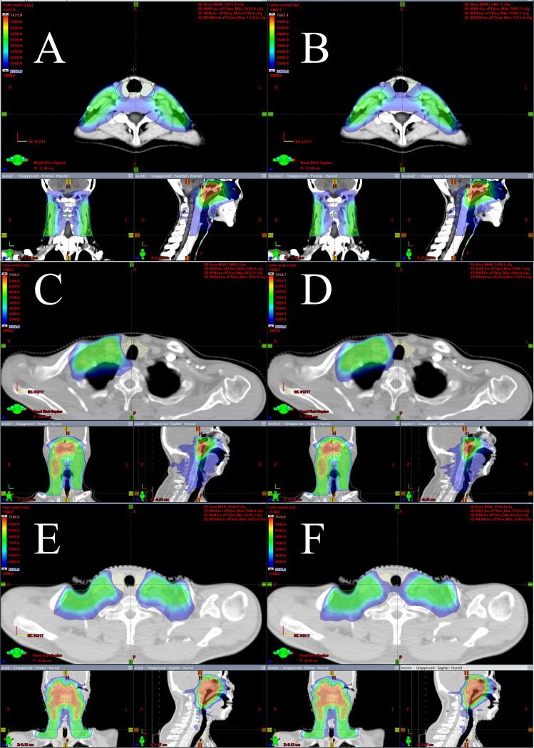
TS VMAT plans and non-thyroid-sparing volume-modulated arc therapy (NTS VMAT) plans were created using inverse-planning VMAT and computed tomography datasets of 60 patients from two centers using the Eclipse version 15.6 treatment planning system. These patients were split up into three groups, each consisting of ten patients: the bilateral upper neck irradiation group, the one-side lower neck irradiation group, and the bilateral lower neck irradiation group. Dose volume histograms, the homogeneity index (HI), conformity index (CI), and irradiation doses to the thyroid and other OARs were used to assess the two treatment plans.

RESULTS

There were no statistically significant differences in HI, CI, and dosage distribution to OARs between the two plans, except for the bilateral lower neck irradiation group, where mild but clinically acceptable differences were observed. Surprisingly, the TS VMAT plans significantly reduced the radiation dose to the thyroid gland across all three groups without compromising target coverage, conformity, or dose homogeneity. Specifically, the mean dose to the thyroid was substantially lower in the TS VMAT plans compared to the NTS VMAT plans. Additionally, the volume of the thyroid irradiated with 40 Gy or more was also significantly reduced in the TS VMAT plans.

CONCLUSIONS

The TS VMAT plan is appropriate for radiotherapy planning in patients with non-distant metastatic nasopharyngeal carcinoma. The TS VMAT plan reduces radiation dosage to the thyroid gland compared to the NTS VMAT plan, lowering the risk of hypothyroidism without exacerbating the HI, CI, and the irradiation doses to OARs.

摘要

目的

评估在非远处转移性鼻咽癌患者中实施甲状腺保护容积调强弧形放疗(TS VMAT)的剂量学可行性。

方法

利用Eclipse 15.6版治疗计划系统,通过逆向计划VMAT及来自两个中心的60例患者的计算机断层扫描数据集,创建TS VMAT计划和非甲状腺保护容积调强弧形放疗(NTS VMAT)计划。这些患者被分为三组,每组10例:双侧上颈部照射组、单侧下颈部照射组和双侧下颈部照射组。采用剂量体积直方图、均匀性指数(HI)、适形指数(CI)以及甲状腺和其他危及器官的照射剂量来评估这两种治疗计划。

结果

除双侧下颈部照射组观察到轻微但临床可接受的差异外,两种计划在HI、CI以及危及器官的剂量分布方面无统计学显著差异。令人惊讶的是,TS VMAT计划在不影响靶区覆盖、适形性或剂量均匀性的情况下,显著降低了所有三组患者甲状腺的辐射剂量。具体而言,与NTS VMAT计划相比,TS VMAT计划中甲状腺的平均剂量显著更低。此外,TS VMAT计划中接受40 Gy或更高剂量照射的甲状腺体积也显著减少。

结论

TS VMAT计划适用于非远处转移性鼻咽癌患者的放射治疗计划。与NTS VMAT计划相比,TS VMAT计划降低了甲状腺的辐射剂量,降低了甲状腺功能减退风险,且未加重HI、CI以及危及器官的照射剂量。

https://cdn.ncbi.nlm.nih.gov/pmc/blobs/7601/12198196/2705696a060d/fonc-15-1443226-g001.jpg

文献AI研究员

20分钟写一篇综述,助力文献阅读效率提升50倍。

立即体验

用中文搜PubMed

大模型驱动的PubMed中文搜索引擎

马上搜索

文档翻译

学术文献翻译模型,支持多种主流文档格式。

立即体验