Suppr超能文献

RNA结合蛋白Bcas2是活化B细胞中抗体类别转换所必需的。

The RNA Binding Protein Bcas2 is Required for Antibody Class Switch in Activated-B Cells.

作者信息

Chen Yu, Sun Siyuan, Lu Chenxu, Li Yixuan, Fang Bing, Tang Xiangfeng, Li Xuepeng, Yu Weiru, Lei Yumei, Sun Longjie, Zhang Ming, Sun Jiazeng, Liu Ping, Luo Yongting, Zhao Xingwang, Zhan Jing, Liu Libing, Liu Rong, Huang Jiaqiang, Yi Ziwei, Yu Yifei, Xiao Weihan, Ding Zheng, Li Lei, Su Dan, Ren Fazheng, Cao Changchang, Wang Ran, Shi Wenbiao, Chen Juan

机构信息

Key Laboratory of Precision Nutrition and Food Quality Department of Nutrition and Health China Agricultural University Beijing China.

National Engineering Laboratory for Birth Defects Prevention and Control of Key Technology Beijing Key Laboratory of Pediatric Organ Failure Department of Pediatrics The Seventh Medical Center of PLA General Hospital Beijing China.

出版信息

Exploration (Beijing). 2025 Feb 16;5(3):270015. doi: 10.1002/EXP.70015. eCollection 2025 Jun.

Abstract

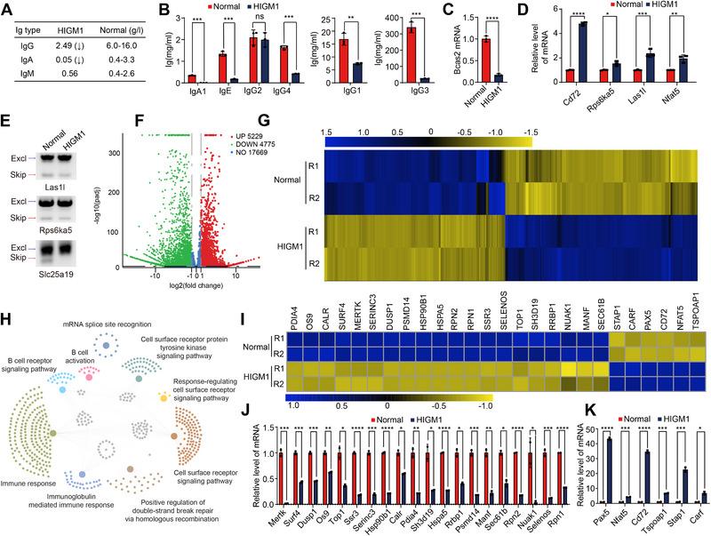
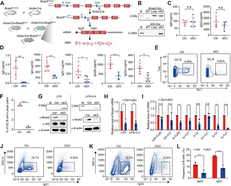
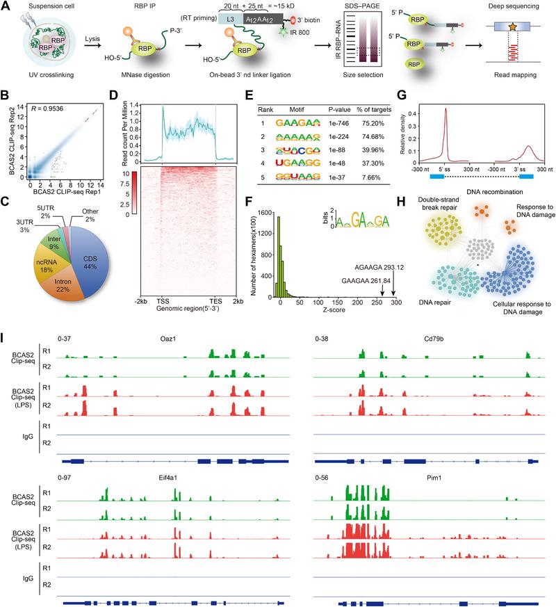
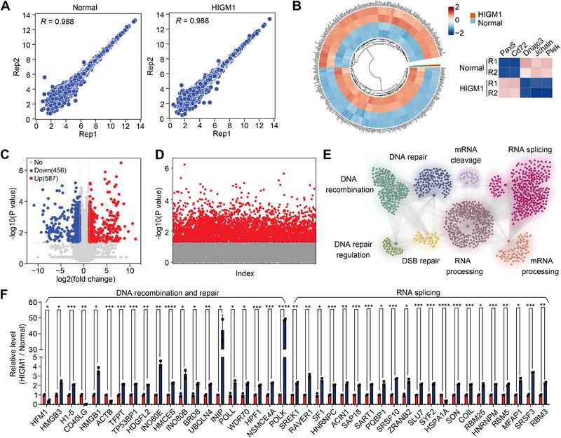
In children, hyper-IgM syndrome type 1 (HIGM1) is a type of severe antibody disorder, the pathogenesis of which remains unclear. The antibody diversity is partially determined by the alternative splicing (AS) in the germline, which is mainly regulated by RNA-binding proteins, including Breast cancer amplified sequence 2 (Bcas2). However, the effect of Bcas2 on AS and antibody production in activated B cells, the main immune cell type in the germline, remains unknown. To fill this gap, we created a conditional knockout (cKO, B cell-specific AID-Cre ) mouse model and performed integrated mechanistic analysis on alternative splicing (AS) and CSR in B cells through the RNA-sequencing approach, cross-linking immunoprecipitation and sequencing (CLIP-seq) analysis, and interactome proteomics. The results demonstrate that cKO significantly decreased CSR in activated B cells without inhibiting the B cell development. Mechanistically, Bcas2 interacts with SRSF7 at a conservative circular domain, forming a complex to regulate the AS of genes involved in the post-switch transcription, thereby causing broad-spectrum changes in antibody production. Importantly, we identified GAAGAA as the binding motif of Bcas2 to RNAs and revealed its essential role in the regulation of Bcas2-dependent AS and CSR. In addition, we detected a mutation of at the 3'UTR of gene in children with HIGM1 and observed similar patterns of AS events and CSR in the patient that were discovered in the cKO B cells. Combined, our study elucidates the mechanism by which Bcas2-mediated AS affects CSR, offering potential insights into the clinical implications of Bcas2 in HIGM1.

摘要

在儿童中,1型高IgM综合征(HIGM1)是一种严重的抗体紊乱疾病,其发病机制尚不清楚。抗体多样性部分由种系中的可变剪接(AS)决定,可变剪接主要由包括乳腺癌扩增序列2(Bcas2)在内的RNA结合蛋白调控。然而,Bcas2对种系中主要免疫细胞类型即活化B细胞中的可变剪接和抗体产生的影响仍不清楚。为了填补这一空白,我们创建了一个条件性敲除(cKO,B细胞特异性AID-Cre)小鼠模型,并通过RNA测序方法、交联免疫沉淀和测序(CLIP-seq)分析以及相互作用组蛋白质组学对B细胞中的可变剪接(AS)和类别转换重排(CSR)进行了综合机制分析。结果表明,cKO显著降低了活化B细胞中的CSR,而不抑制B细胞发育。从机制上讲,Bcas2在一个保守的环状结构域与SRSF7相互作用,形成一个复合物来调控参与转换后转录的基因的可变剪接,从而导致抗体产生的广谱变化。重要的是,我们确定GAAGAA为Bcas2与RNA的结合基序,并揭示了其在调控Bcas2依赖性可变剪接和类别转换重排中的关键作用。此外,我们在HIGM1儿童中检测到基因3'UTR处的一个突变,并在患者中观察到与cKO B细胞中发现的类似的可变剪接事件和类别转换重排模式。综合来看,我们的研究阐明了Bcas2介导的可变剪接影响类别转换重排的机制,为Bcas2在HIGM1中的临床意义提供了潜在的见解。

https://cdn.ncbi.nlm.nih.gov/pmc/blobs/a96d/12199426/1e50dbda4497/EXP2-5-270015-g008.jpg

文献AI研究员

20分钟写一篇综述,助力文献阅读效率提升50倍。

立即体验

用中文搜PubMed

大模型驱动的PubMed中文搜索引擎

马上搜索

文档翻译

学术文献翻译模型,支持多种主流文档格式。

立即体验