Suppr超能文献

应激颗粒组装损害巨噬细胞的胞葬作用,加重小鼠过敏性鼻炎。

Stress granule assembly impairs macrophage efferocytosis to aggravate allergic rhinitis in mice.

作者信息

Zhou Ye, Yang Zixuan, Wang Yuanyuan, Dong Yue, Wang Tianyu, Li Yunhui, Liang Caiquan, Liu Yanfang, Li Zhixuan, Liu Shanrong, Gui Liangchen, Fan Yiwen, Lei Ting, Jia Kaiwei, Zhang Liyuan, Wang Mu, Nie Wen, Chen Long, Ma Mingrui, Wu Yanfeng, Zhong Cuiping, Liu Huanhai, Hou Jin

机构信息

National Key Laboratory of Immunity and Inflammation, Second Military Medical University, Shanghai, 200433, China.

Department of Otolaryngology-Head and Neck Surgery, Second Affiliated Hospital of Second Military Medical University, Shanghai, 200003, China.

出版信息

Nat Commun. 2025 Jul 1;16(1):5610. doi: 10.1038/s41467-025-60920-0.

Abstract

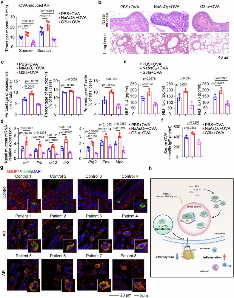
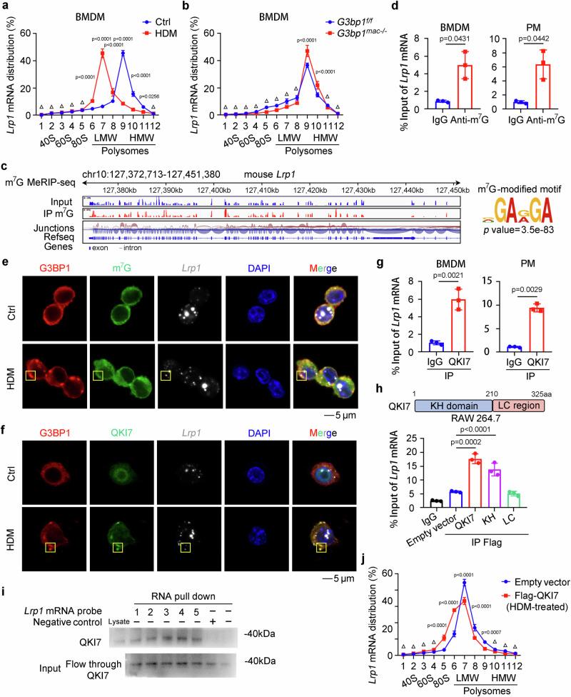
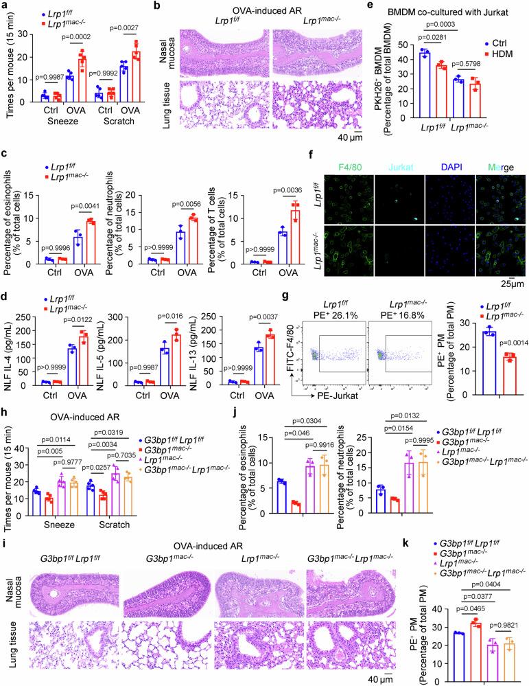
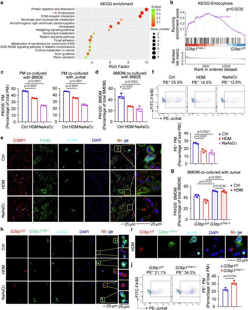
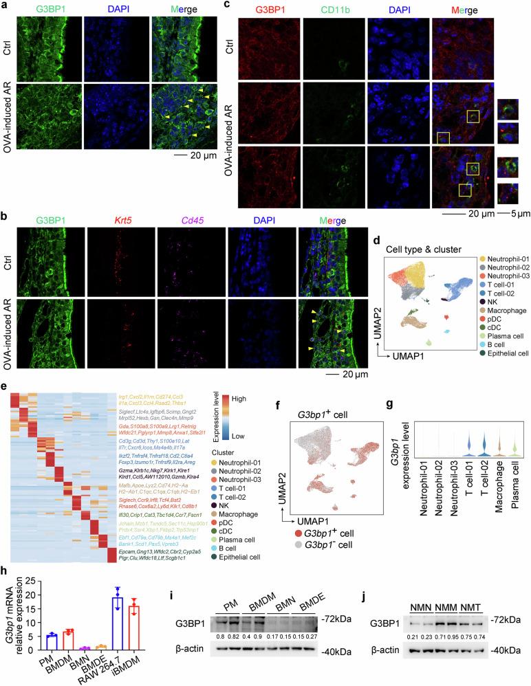
Cytoplasmic stress granules (SG) assemble in response to stress-induced translational arrest and are key signaling hubs orchestrating cell fate and regulating various physiological and pathological processes. However, the role of SG formation in the progression of allergic diseases is incompletely understood. Here, by analyzing the nasal tissues of allergic rhinitis (AR) mouse models and AR patients, we find that SGs assemble specifically in the macrophages within the nasal mucosa and promote AR progression by restraining the efferocytotic ability of macrophages, ultimately resulting in reduced Mres generation and IL-10 production. Mechanistically, intracellular mG-modified Lrp1 mRNA, encoding for a typical efferocytosis receptor, is transported by the mG reader QKI7 into stress-induced SGs, where Lrp1 mRNA is sequestered away from the translation machinery, ultimately resulting in reduced macrophage efferocytosis. Therefore, SG assembly impairs macrophage efferocytosis and aggravates AR, and the inhibition of SGs bears considerable potential in the targeted therapy.

摘要

细胞质应激颗粒(SG)在应激诱导的翻译停滞时组装,是协调细胞命运和调节各种生理和病理过程的关键信号枢纽。然而,SG形成在过敏性疾病进展中的作用尚未完全明确。在此,通过分析变应性鼻炎(AR)小鼠模型和AR患者的鼻组织,我们发现SG特异性地在鼻黏膜内的巨噬细胞中组装,并通过抑制巨噬细胞的噬菌作用能力促进AR进展,最终导致Mres生成减少和IL-10产生减少。机制上,编码典型噬菌作用受体的细胞内mG修饰的Lrp1 mRNA被mG阅读器QKI7转运到应激诱导的SG中,在那里Lrp1 mRNA被隔离在翻译机制之外,最终导致巨噬细胞噬菌作用降低。因此,SG组装损害巨噬细胞噬菌作用并加重AR,抑制SG在靶向治疗中具有巨大潜力。

https://cdn.ncbi.nlm.nih.gov/pmc/blobs/aa06/12218239/cf56ee35e0eb/41467_2025_60920_Fig1_HTML.jpg

文献AI研究员

20分钟写一篇综述,助力文献阅读效率提升50倍。

立即体验

用中文搜PubMed

大模型驱动的PubMed中文搜索引擎

马上搜索

文档翻译

学术文献翻译模型,支持多种主流文档格式。

立即体验