Suppr超能文献

生成和使用含人诱导多能干细胞来源的小胶质细胞的气液界面皮质类器官培养物的方案。

Protocol for generating and using human iPSC-derived microglia-containing air-liquid-interface cortical organoid cultures.

作者信息

Cañizares Luna Marta, Mars Mayte, Jakobs Channa E, Huffels Christiaan F M, Ermakov Arthur, Hol Elly M, Pasterkamp R Jeroen

机构信息

Department of Translational Neuroscience, UMC Utrecht Brain Center, University Medical Center Utrecht, Utrecht University, Utrecht 3584 CG, the Netherlands.

Department of Translational Neuroscience, UMC Utrecht Brain Center, University Medical Center Utrecht, Utrecht University, Utrecht 3584 CG, the Netherlands.

出版信息

STAR Protoc. 2025 Jun 30;6(3):103915. doi: 10.1016/j.xpro.2025.103915.

Abstract

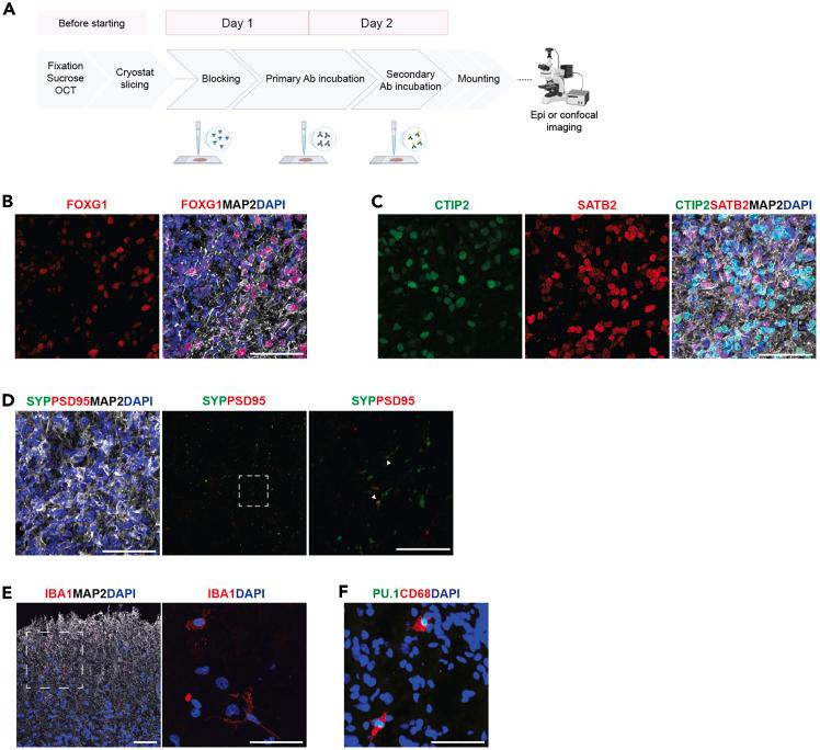
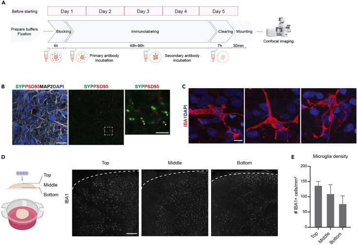
Here, we present a protocol for generating long-term microglia-containing air-liquid-interface cortical organoid (MG-ALI-CO) cultures. This approach minimizes necrotic core formation, a common limitation of extended organoid cultures, favoring microglia survival and homeostasis. We describe steps for generating air-liquid-interface cortical organoids (ALI-COs), integrating macrophage precursors, and maintaining MG-ALI-COs. Additionally, we outline several experimental analyses of MG-ALI-COs, including immunostaining, imaging, and patch-clamp electrophysiological recordings. This model provides a physiologically relevant system to investigate human neuroimmune interactions in a 3D brain-like environment.

摘要

在此,我们展示了一种用于生成长期含小胶质细胞的气液界面皮质类器官(MG-ALI-CO)培养物的方案。这种方法将坏死核心形成降至最低,而坏死核心形成是延长类器官培养的常见限制因素,有利于小胶质细胞的存活和稳态。我们描述了生成气液界面皮质类器官(ALI-COs)、整合巨噬细胞前体以及维持MG-ALI-COs的步骤。此外,我们概述了对MG-ALI-COs的几种实验分析,包括免疫染色、成像和膜片钳电生理记录。该模型提供了一个生理相关系统,用于在三维脑样环境中研究人类神经免疫相互作用。

https://cdn.ncbi.nlm.nih.gov/pmc/blobs/b8ec/12268546/385639747d0d/fx1.jpg

文献AI研究员

20分钟写一篇综述,助力文献阅读效率提升50倍。

立即体验

用中文搜PubMed

大模型驱动的PubMed中文搜索引擎

马上搜索

文档翻译

学术文献翻译模型,支持多种主流文档格式。

立即体验