Suppr超能文献

妊娠中期急性胆源性胰腺炎的内镜与腹腔镜联合治疗:一例报告

Simultaneous endoscopic and laparoscopic management of acute biliary pancreatitis in the second trimester of pregnancy: A case report.

作者信息

Sumbizi Clarence, Obwar Arnold, Rofaeil Bishoy, Fidaali Zainab, Ali Athar, Mwanga Ally

机构信息

Department of Surgery, The Aga Khan Hospital, P.O. Box 2289, Dar Es Salaam, Tanzania; Department of surgery, The Aga Khan University, P.O. Box 38129, Dar Es Salaam, Tanzania.

Department of Surgery, The Aga Khan Hospital, P.O. Box 2289, Dar Es Salaam, Tanzania; Department of surgery, The Aga Khan University, P.O. Box 38129, Dar Es Salaam, Tanzania.

出版信息

Int J Surg Case Rep. 2025 Aug;133:111589. doi: 10.1016/j.ijscr.2025.111589. Epub 2025 Jun 30.

Abstract

INTRODUCTION AND IMPORTANCE

Acute biliary pancreatitis during pregnancy is a rare but significant clinical challenge that requires a delicate balance between maternal and fetal safety. Gallstone disease remains among the leading causes of acute pancreatitis in pregnancy due to hormonal and physiological changes that predispose pregnant women to biliary stasis and sludge formation. While conservative management is often preferred in mild cases, persistent biliary obstruction or recurrent symptoms necessitate definitive intervention. ERCP and laparoscopic cholecystectomy have emerged as safe and effective modalities for managing gallstone-related complications during pregnancy.

CASE PRESENTATION

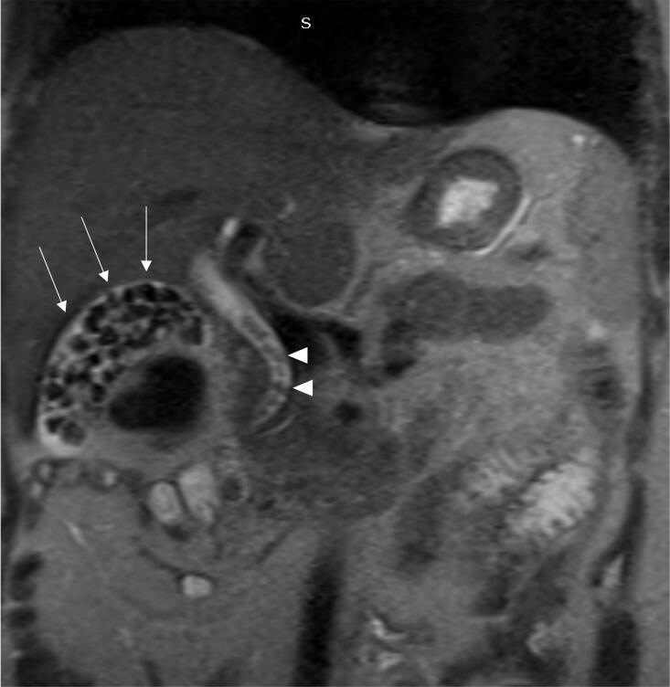
We present a case of a 30-year-old pregnant at 18 weeks of gestation who presented with acute-onset, progressively worsening epigastric pain radiating to the back associated with nausea and bilious vomiting but no fever. Laboratory investigations revealed elevated serum amylase and lipase, consistent with acute biliary pancreatitis, alongside obstructive biochemical features on liver function tests. Imaging confirmed multiple gallstones, choledocholithiasis, and a dilated common bile duct (CBD). She underwent successful ERCP with sphincterotomy and stone extraction followed by laparoscopic cholecystectomy in the same session. The patient had an uneventful recovery and was discharged on postoperative day three without complications.

CLINICAL DISCUSSION

The second trimester is considered the safest period for surgical intervention, given the lower risk of fetal loss compared to the first trimester and reduced risk of preterm labor relative to the third trimester. ERCP is the gold standard for managing choledocholithiasis in pregnancy, with fluoroscopy-minimizing techniques employed to mitigate fetal radiation exposure. Laparoscopic cholecystectomy has demonstrated superior outcomes in terms of reduced postoperative morbidity, shorter hospital stays, and faster recovery compared to open surgery. This case underscores the importance of a multidisciplinary approach, incorporating gastroenterology, surgery, and obstetric expertise, to optimize outcomes in pregnant patients with biliary pancreatitis.

CONCLUSION

This case highlights the role of timely diagnosis and intervention in managing biliary pancreatitis during pregnancy. ERCP and laparoscopic cholecystectomy, when performed in the second trimester, provide a safe and effective treatment strategy, preventing recurrent disease and reducing maternal-fetal morbidity. As evidence supporting minimally invasive procedures in pregnancy continues to grow, standardized guidelines are needed to further refine management strategies and ensure optimal patient care.

摘要

引言与重要性

妊娠期急性胆源性胰腺炎是一种罕见但严峻的临床挑战,需要在母体和胎儿安全之间达成微妙平衡。由于激素和生理变化使孕妇易发生胆汁淤积和胆泥形成,胆结石疾病仍是妊娠期急性胰腺炎的主要病因之一。虽然轻度病例通常首选保守治疗,但持续性胆管梗阻或反复出现症状则需要进行确定性干预。内镜逆行胰胆管造影术(ERCP)和腹腔镜胆囊切除术已成为妊娠期处理胆结石相关并发症的安全有效方式。

病例介绍

我们报告一例30岁妊娠18周的孕妇,其表现为急性发作、逐渐加重的上腹部疼痛,放射至背部,伴有恶心和胆汁性呕吐,但无发热。实验室检查显示血清淀粉酶和脂肪酶升高,符合急性胆源性胰腺炎,同时肝功能检查有梗阻性生化特征。影像学检查证实有多个胆结石、胆总管结石及胆总管扩张。她在同一次手术中成功接受了ERCP括约肌切开术和结石取出术,随后进行了腹腔镜胆囊切除术。患者恢复顺利,术后第三天出院,无并发症。

临床讨论

鉴于与孕早期相比胎儿丢失风险较低,且与孕晚期相比早产风险降低,孕中期被认为是手术干预的最安全时期。ERCP是妊娠期处理胆总管结石的金标准,采用使荧光透视最小化的技术以减轻胎儿辐射暴露。与开放手术相比,腹腔镜胆囊切除术在降低术后发病率、缩短住院时间和更快恢复方面已显示出更好的效果。该病例强调了多学科方法的重要性,包括胃肠病学、外科和产科专业知识,以优化妊娠期胆源性胰腺炎患者的治疗效果。

结论

该病例突出了及时诊断和干预在妊娠期胆源性胰腺炎管理中的作用。孕中期进行ERCP和腹腔镜胆囊切除术提供了一种安全有效的治疗策略,可预防疾病复发并降低母婴发病率。随着支持妊娠期微创手术的证据不断增加,需要标准化指南以进一步完善管理策略并确保最佳患者护理。

https://cdn.ncbi.nlm.nih.gov/pmc/blobs/2747/12271904/930164fb455a/gr1.jpg

文献AI研究员

20分钟写一篇综述,助力文献阅读效率提升50倍。

立即体验

用中文搜PubMed

大模型驱动的PubMed中文搜索引擎

马上搜索

文档翻译

学术文献翻译模型,支持多种主流文档格式。

立即体验