Suppr超能文献

气道上皮干细胞的更新与分化:克服迈向临床级组织工程的挑战性步骤。

Airway epithelial stem cell renewal and differentiation: overcoming challenging steps towards clinical-grade tissue engineering.

作者信息

Adamo Davide, Genna Vincenzo Giuseppe, Galaverni Giulia, Chiavelli Chiara, Merra Alessia, Lepore Fabio, Boraldi Federica, Quaglino Daniela, Evangelista Jessica, Lococo Filippo, Pellegrini Graziella

机构信息

Centre for Regenerative Medicine "Stefano Ferrari", University of Modena and Reggio Emilia, Modena, Italy.

Department of Life Sciences, University of Modena and Reggio Emilia , Modena, Italy.

出版信息

Stem Cell Res Ther. 2025 Jul 6;16(1):351. doi: 10.1186/s13287-025-04478-0.

Abstract

BACKGROUND

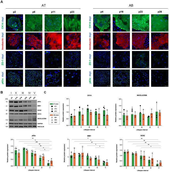
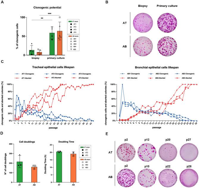
Despite their life-saving potential, tissue engineering approaches for the treatment of extensive tracheal and bronchial defects still face significant limitations. A major challenge is the inability to regenerate a functional airway epithelium containing the appropriate amount of stem cells required for long-term tissue renewal following transplantation of the bioengineered graft. In this scenario, extensive cell culture characterization, validation assays and quality controls are needed to guide each step of the regeneration process.

METHODS

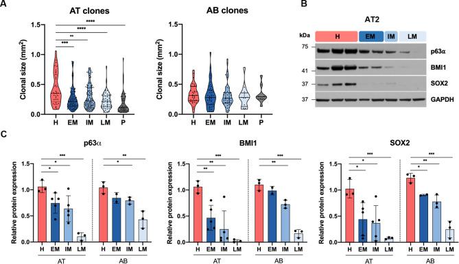
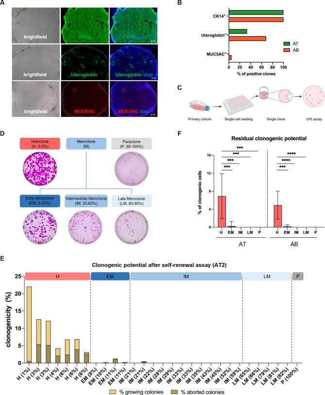
Stem cell depletion is often due to suboptimal culture conditions, therefore we tested the ability of a clinical-grade culture system to support the safe and efficient in vitro expansion and differentiation of primary human tracheal and bronchial epithelial cells. Single-cell clonal analysis was used to unravel the heterogeneity of airway basal cells and to understand tissue-specific regeneration and differentiation mechanisms. Functional assays were used to investigate the wound healing ability and tightness of the regenerated epithelium under the selected culture conditions.

RESULTS

Primary tracheobronchial epithelial cells showed an impressive proliferative potential, allowing the regeneration of a mature and functional epithelium without immortalisation events. Analysis at the single cell level allowed the identification of the subpopulation of basal cells endowed with in vitro self-renewal, distinguishing them from transient amplifying cells. This approach has further defined the hierarchy of cellular differentiation and its correlation with regenerative and differentiation potential.

CONCLUSIONS

Our results show that primary airway epithelial cell cultures can maintain stem cells together with their differentiation lineages in vitro. Airway cells can be safely and effectively used in autologous tissue engineering approaches when cultured under appropriate and well-standardised conditions. In addition to the validation assays proposed for the development of new advanced therapy products, this study outlines possible quality controls to enhance therapeutic success and maximise patient safety in future clinical applications.

摘要

背景

尽管组织工程方法具有挽救生命的潜力,但用于治疗广泛气管和支气管缺损的方法仍面临重大限制。一个主要挑战是无法再生功能性气道上皮,该上皮在生物工程移植物移植后需要含有长期组织更新所需的适量干细胞。在这种情况下,需要进行广泛的细胞培养表征、验证试验和质量控制来指导再生过程的每一步。

方法

干细胞耗竭通常是由于培养条件不理想,因此我们测试了一种临床级培养系统支持原代人气管和支气管上皮细胞安全、高效体外扩增和分化的能力。单细胞克隆分析用于揭示气道基底细胞的异质性,并了解组织特异性再生和分化机制。功能试验用于研究在选定培养条件下再生上皮的伤口愈合能力和紧密性。

结果

原代气管支气管上皮细胞显示出令人印象深刻的增殖潜力,能够再生成熟且功能正常的上皮,而不会发生永生化事件。单细胞水平的分析允许鉴定具有体外自我更新能力的基底细胞亚群,将它们与短暂扩增细胞区分开来。这种方法进一步定义了细胞分化的层次结构及其与再生和分化潜力的相关性。

结论

我们的结果表明,原代气道上皮细胞培养物可以在体外维持干细胞及其分化谱系。当在适当且标准化的条件下培养时,气道细胞可安全有效地用于自体组织工程方法。除了为开发新的先进治疗产品提出的验证试验外,本研究还概述了可能的质量控制措施,以提高未来临床应用中的治疗成功率并最大限度地提高患者安全性。

https://cdn.ncbi.nlm.nih.gov/pmc/blobs/c7c1/12232793/e21d9c3ddac5/13287_2025_4478_Fig1_HTML.jpg

文献AI研究员

20分钟写一篇综述,助力文献阅读效率提升50倍。

立即体验

用中文搜PubMed

大模型驱动的PubMed中文搜索引擎

马上搜索

文档翻译

学术文献翻译模型,支持多种主流文档格式。

立即体验