Suppr超能文献

BIK基因多态性与蛋白酶体调节揭示了严重流感的宿主风险因素。

BIK polymorphism and proteasome regulation unveil host risk factor for severe influenza.

作者信息

Soni Sourabh, Yildiz Soner, Allen Emma Kaitlynn, Petersen Hans, Peeples Mark, El Zahed Sara, Rosas Lorena, Anang Vandana, Antonescu Laura, Nho Richard Seonghun, Mora Ana Lucia, Horowitz Jeffrey Craig, Rojas Mauricio, Medina Rafael Andrés, Thomas Paul Glyndwr, García-Sastre Adolfo, Tesfaigzi Yohannes, Mebratu Yohannes Afework

机构信息

Department of Internal Medicine, Division of Pulmonary, Critical Care, and Sleep Medicine, Davis Heart and Lung Research Institute, College of Medicine, The Ohio State University Wexner Medical Center, Columbus, OH 43210.

Department of Microbiology, Icahn School of Medicine at Mount Sinai, Mount Sinai, NY 10029.

出版信息

Proc Natl Acad Sci U S A. 2025 Jul 15;122(28):e2424367122. doi: 10.1073/pnas.2424367122. Epub 2025 Jul 8.

Abstract

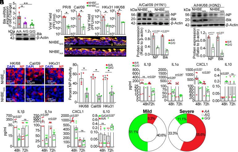
Influenza A viruses (IAVs) pose a significant public health threat, with host factors playing a crucial role in disease severity. We investigated the role of Bcl-2-interacting killer (BIK) in IAV infection using cellular and mouse models, and influenza-infected human cohort. In airway epithelial cells (AECs), BIK deficiency impaired viral replication, while BIK restoration enhanced it. Conversely, airway-specific BIK overexpression in mice increased viral load, inflammation, and mortality, whereas BIK suppression conferred protection. Critically, a genetic variation (rs738276) in the gene, influencing BIK expression, correlates with altered viral replication in air-liquid interface differentiated primary normal human bronchial epithelial cells and influenza severity in humans. Mechanistically, we demonstrate that IAV nucleoprotein (NP) suppresses β5, a subunit of the proteasome, leading to increased BIK levels and enhanced viral replication. Conversely, β5 treatment dampened BIK levels and protected mice from IAV-induced morbidity and mortality. Furthermore, BIK interacts with NP, disrupting the Bcl-2/NP interaction and promoting viral replication. Our findings uncover an IAV-BIK-β5 axis that governs viral replication, suggesting that targeting BIK or β5 may offer therapeutic strategies against influenza.

摘要

甲型流感病毒(IAV)对公众健康构成重大威胁,宿主因素在疾病严重程度中起着关键作用。我们使用细胞和小鼠模型以及流感感染的人类队列研究了与Bcl-2相互作用的杀手蛋白(BIK)在IAV感染中的作用。在气道上皮细胞(AEC)中,BIK缺陷会损害病毒复制,而BIK恢复则会增强病毒复制。相反,小鼠气道特异性BIK过表达会增加病毒载量、炎症和死亡率,而BIK抑制则具有保护作用。至关重要的是,该基因中的一个影响BIK表达的基因变异(rs738276)与气液界面分化的原代正常人支气管上皮细胞中病毒复制的改变以及人类流感严重程度相关。从机制上讲,我们证明IAV核蛋白(NP)抑制蛋白酶体的一个亚基β5,导致BIK水平升高和病毒复制增强。相反,β5处理可降低BIK水平,并保护小鼠免受IAV诱导的发病和死亡。此外,BIK与NP相互作用,破坏Bcl-2/NP相互作用并促进病毒复制。我们的研究结果揭示了一个控制病毒复制的IAV-BIK-β5轴,表明靶向BIK或β5可能提供抗流感的治疗策略。

https://cdn.ncbi.nlm.nih.gov/pmc/blobs/c6cb/12280918/49ef8d002cf8/pnas.2424367122fig01.jpg

文献AI研究员

20分钟写一篇综述,助力文献阅读效率提升50倍。

立即体验

用中文搜PubMed

大模型驱动的PubMed中文搜索引擎

马上搜索

文档翻译

学术文献翻译模型,支持多种主流文档格式。

立即体验