Suppr超能文献

FTO的O-连接N-乙酰葡糖胺化促进TRIM21介导的FTO泛素化降解,以维持巨噬细胞炎症的负反馈控制。

FTO O-GlcNAcylation promotes TRIM21-mediated FTO ubiquitination degradation to sustain the negative feedback control of macrophage inflammation.

作者信息

Zhang Lu, Liu Min, Xie Yan, Yuan Bi-Feng, Peng Zhiyong, Xiong Jun, Zhang Xiao-Lian

机构信息

State Key Laboratory of Virology and Biosafety, Department of Immunology Wuhan University Taikang Medical School, School of Basic Medical Sciences, Wuhan University, Wuhan, China.

Hubei Province Key Laboratory of Allergy and Immunology, Department of Allergy Zhongnan Hospital, Wuhan University, Wuhan, China.

出版信息

Front Immunol. 2025 Jun 26;16:1593243. doi: 10.3389/fimmu.2025.1593243. eCollection 2025.

Abstract

INTRODUCTION

The fat mass and obesity-associated protein (FTO), a key RNA N-methyladenosine (mA) demethylase, has been highlighted for its important role in inflammatory response. Emerging evidences link the O-GlcNAcylation to numerous human diseases, particularly inflammation. However, the specific role and underlying mechanism of FTO O-GlcNAcylation in inflammation remain elusive.

METHODS

The FTO O-GlcNAcylation modification was determined by co-immunoprecipitation (Co-IP) assay, metabolic glycan labeling combined with click reaction, and liquid chromatography-tandem mass spectrometry (LC-MS/MS) analysis. Chromatin immunoprecipitation (ChIP)-qPCR and dual-luciferase reporter assay were used to determine FOXO1 binding to the 2 promoter and the 2 promoter activity during LPS stimulation. The FTO ubiquitination modification and the interaction between FTO and TRIM21 were detected by confocal microscopy, pull-down, and mass spectrometry analysis. The effects of FTO O-GlcNAcylation on the ubiquitination degradation of FTO were assessed by Co-IP and protein stability assays. The 1 mRNA mA methylation levels were detected by mA-RNA-immunoprecipitation (RIP)-qPCR. The myeloid-specific deletion (mye ) mice, the macrophage depletion and reconstitution experiments, and enzyme-linked immunosorbent assays (ELISA) were used to evaluate inflammatory responses in () or bacterial endotoxin (lipopolysaccharide, LPS) induced sepsis mouse models.

RESULTS

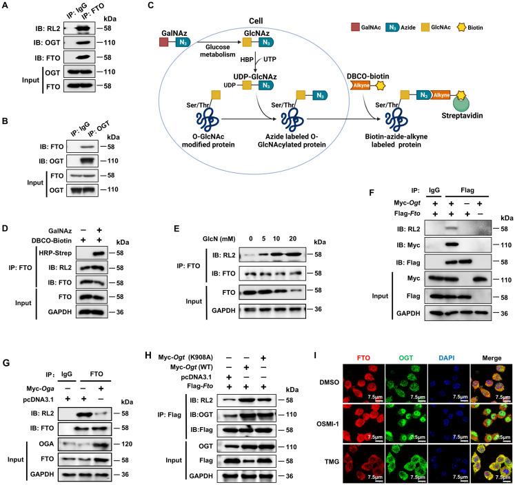
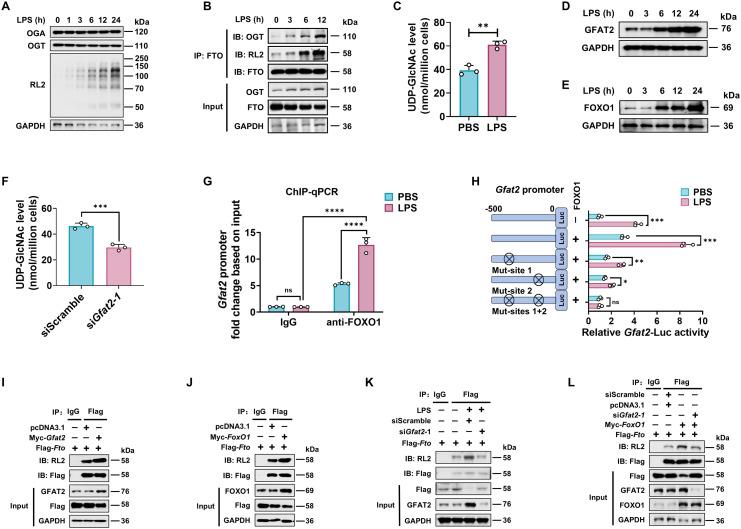
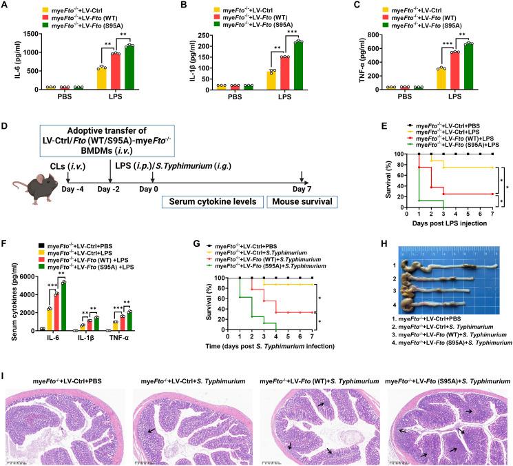
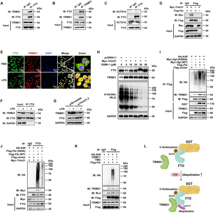
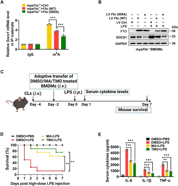
We demonstrate that FTO undergoes O-GlcNAcylation specifically at the serine 95 (Ser95) site. LPS enhances FTO O-GlcNAcylation modification levels by increasing the FOXO1-regulated GFAT2 expression. O-GlcNAcylation of FTO promotes TRIM21-mediated K48-ubiquitination degradation of FTO, which further induces suppressor of cytokine signaling () 1 mA methylation, thus sustains SOCS1 protein expression and suppresses multiple inflammatory cytokines IL-1β/IL-6/TNF-α production in LPS-stimulated macrophages. FTO O-GlcNAcylation mutation (S95A) aggravates or LPS-induced sepsis, while FTO O-GlcNAcylation suppresses the hyperinflammatory phenotype in mice. Promotion of O-GlcNAcylation by an OGA inhibitor Thiamet-G alleviates LPS-induced inflammatory responses and septic shock in mice.

CONCLUSION

These findings reveal a mechanism that FTO O-GlcNAcylation promotes its ubiquitination degradation, and thus induces mA methylation and downregulates LPS-mediated inflammatory response, which maintains the negative feedback control of macrophage inflammatory cytokine storm in sepsis. Regulation of FTO O-GlcNAcylation may offer a potential therapeutic strategy for combating endotoxin-induced inflammatory disease and other FTO abnormal expression-associated diseases.

摘要

引言

脂肪量与肥胖相关蛋白(FTO)是一种关键的RNA N - 甲基腺苷(mA)去甲基化酶,因其在炎症反应中的重要作用而受到关注。越来越多的证据将O - 连接的N - 乙酰葡糖胺化(O - GlcNAcylation)与多种人类疾病,特别是炎症联系起来。然而,FTO的O - GlcNAcylation在炎症中的具体作用和潜在机制仍不清楚。

方法

通过免疫共沉淀(Co - IP)分析、代谢聚糖标记结合点击反应以及液相色谱 - 串联质谱(LC - MS/MS)分析来确定FTO的O - GlcNAcylation修饰。采用染色质免疫沉淀(ChIP)-qPCR和双荧光素酶报告基因分析来确定脂多糖(LPS)刺激期间FOXO1与2启动子的结合以及2启动子活性。通过共聚焦显微镜、下拉实验和质谱分析检测FTO的泛素化修饰以及FTO与TRIM21之间的相互作用。通过Co - IP和蛋白质稳定性分析评估FTO的O - GlcNAcylation对FTO泛素化降解的影响。通过mA - RNA免疫沉淀(RIP)-qPCR检测1 mRNA mA甲基化水平。使用髓系特异性缺失(mye)小鼠、巨噬细胞清除和重建实验以及酶联免疫吸附测定(ELISA)来评估在()或细菌内毒素(脂多糖,LPS)诱导的脓毒症小鼠模型中的炎症反应。

结果

我们证明FTO在丝氨酸95(Ser95)位点特异性地发生O - GlcNAcylation修饰。LPS通过增加FOXO1调节的GFAT2表达来提高FTO的O - GlcNAcylation修饰水平。FTO的O - GlcNAcylation促进TRIM21介导的FTO的K48 - 泛素化降解,这进一步诱导细胞因子信号转导抑制因子()1 mA甲基化,从而维持SOCS1蛋白表达并抑制LPS刺激的巨噬细胞中多种炎性细胞因子IL - 1β/IL - 6/TNF - α的产生。FTO的O - GlcNAcylation突变(S95A)加重或LPS诱导的脓毒症,而FTO的O - GlcNAcylation抑制小鼠中的过度炎症表型。OGA抑制剂Thiamet - G促进O - GlcNAcylation减轻小鼠中LPS诱导的炎症反应和脓毒性休克。

结论

这些发现揭示了一种机制,即FTO的O - GlcNAcylation促进其泛素化降解,从而诱导mA甲基化并下调LPS介导的炎症反应,这维持了脓毒症中巨噬细胞炎性细胞因子风暴的负反馈控制。FTO的O - GlcNAcylation调节可能为对抗内毒素诱导的炎性疾病和其他FTO异常表达相关疾病提供一种潜在的治疗策略。

https://cdn.ncbi.nlm.nih.gov/pmc/blobs/c92d/12240770/450aeed9f8d4/fimmu-16-1593243-g001.jpg

文献AI研究员

20分钟写一篇综述,助力文献阅读效率提升50倍。

立即体验

用中文搜PubMed

大模型驱动的PubMed中文搜索引擎

马上搜索

文档翻译

学术文献翻译模型,支持多种主流文档格式。

立即体验