Suppr超能文献

弹性蛋白作为一种新型细胞外基质,源自格雷夫斯眼病患者血小板衍生生长因子-BB诱导的眼眶成纤维细胞中异常的组蛋白去乙酰化酶4表达。

Elastin as a Novel Extracellular Matrix From Aberrant HDAC4 Expression in PDGF-BB-Induced Orbital Fibroblasts From Graves' Ophthalmopathy Patients.

作者信息

Chompoowong Rajit, Wongphoom Jutamas, Kitkumthorn Nakarin, Saonanon Preamjit, Pruksakorn Vannakorn, Palaga Tanapat, Hirankarn Nattiya, van Hagen P Martin, Dik Willem A, Virakul Sita

机构信息

Medical Microbiology, Interdisciplinary Program, Graduate School, Chulalongkorn University, Bangkok, Thailand.

Department of Pathology, King Chulalongkorn Memorial Hospital, Bangkok, Thailand.

出版信息

Invest Ophthalmol Vis Sci. 2025 Jul 1;66(9):30. doi: 10.1167/iovs.66.9.30.

Abstract

PURPOSE

The purpose of this study was to investigate fibroblast markers and histone deacetylase (HDAC) 4 in orbital tissues and orbital fibroblasts from patients with Graves' ophthalmopathy (GO) and healthy controls.

METHODS

Hematoxylin and eosin (H&E), Masson's trichrome, and Verhoeff's Van Gieson (VVG) staining were performed on GO and control orbital tissues. Immunohistochemistry on fibroblast markers were investigated. GO orbital fibroblasts (GOFs) and control orbital fibroblasts (COFs) stimulated with platelet-derived growth factor (PDGF)-BB were assessed for collagen type I alpha I (COL1A1), elastin (ELN), and fibrillin-2 (FBN2) mRNA expression. HDAC4 knockdown in GOF and COF were assessed to study its impact on elastin expression. GO orbital tissues and GOF treated with either LMK-235 or tasquinimod were examined.

RESULTS

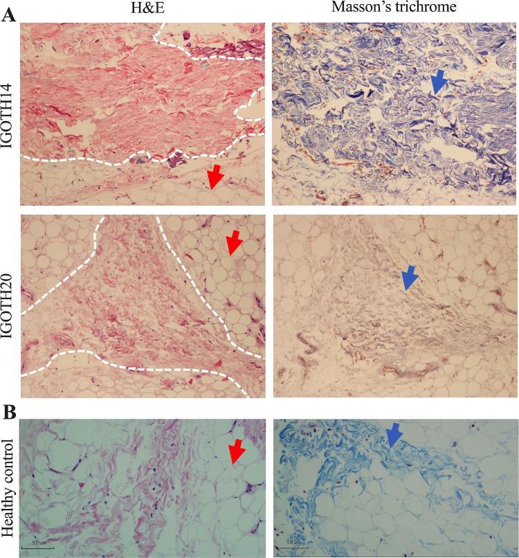
Orbital tissues exhibited accumulation of adipocytes, orbital fibroblasts, collagen, and elastin. After 2 hours, PDGF-BB stimulation induced an 8-fold increase of ELN in GOF and a 5-fold increase of ELN in COF compared to no treatment, whereas COL1A1 and FBN2 mRNA levels were later induced after 24 hours. Elastin protein expression was significantly higher in GOF compared to COF at both the basal level and after PDGF-BB stimulation. HDAC4 knockdown significantly reduced PDGF-BB-induced ELN mRNA expression in GOF but not in COF. LMK-235 inhibited ELN mRNA expression in GOF. However, LMK-235 and tasquinimod did not decrease ELN mRNA level in GO orbital tissues.

CONCLUSIONS

Orbital tissues exhibit shared and unique characteristics from other tissues. Our in vitro studies showed that elastin mRNA and protein expression increased in response to PDGF-BB stimulation in GOF which might be due to aberrant HDAC4 levels.

摘要

目的

本研究旨在调查格雷夫斯眼病(GO)患者和健康对照者眼眶组织及眼眶成纤维细胞中的成纤维细胞标志物和组蛋白去乙酰化酶(HDAC)4。

方法

对GO和对照眼眶组织进行苏木精-伊红(H&E)、Masson三色染色和Verhoeff-Van Gieson(VVG)染色。研究成纤维细胞标志物的免疫组织化学。评估血小板衍生生长因子(PDGF)-BB刺激的GO眼眶成纤维细胞(GOF)和对照眼眶成纤维细胞(COF)中I型胶原α1(COL1A1)、弹性蛋白(ELN)和原纤蛋白-2(FBN2)mRNA的表达。评估GOF和COF中HDAC4的敲低情况,以研究其对弹性蛋白表达的影响。检查用LMK-235或他喹莫德处理的GO眼眶组织和GOF。

结果

眼眶组织表现出脂肪细胞、眼眶成纤维细胞、胶原蛋白和弹性蛋白的积聚。与未处理相比,2小时后,PDGF-BB刺激使GOF中ELN增加8倍,COF中ELN增加5倍,而COL1A1和FBN2 mRNA水平在24小时后诱导增加。在基础水平和PDGF-BB刺激后,GOF中的弹性蛋白蛋白表达均显著高于COF。HDAC4敲低显著降低了GOF中PDGF-BB诱导的ELN mRNA表达,但在COF中未降低。LMK-235抑制了GOF中ELN mRNA的表达。然而,LMK- 235和他喹莫德并未降低GO眼眶组织中ELN mRNA水平。

结论

眼眶组织表现出与其他组织共有的和独特的特征。我们的体外研究表明,GOF中弹性蛋白mRNA和蛋白表达在PDGF-BB刺激下增加,这可能是由于HDAC4水平异常所致。

https://cdn.ncbi.nlm.nih.gov/pmc/blobs/4c5f/12266294/b92638d9730a/iovs-66-9-30-f001.jpg

文献AI研究员

20分钟写一篇综述,助力文献阅读效率提升50倍。

立即体验

用中文搜PubMed

大模型驱动的PubMed中文搜索引擎

马上搜索

文档翻译

学术文献翻译模型,支持多种主流文档格式。

立即体验