Suppr超能文献

TLR4和AGER在炎性乳腺癌中的临床意义及预后价值

Clinical Significance and Prognostic Value of TLR4 and AGER in Inflammatory Breast Cancer.

作者信息

Paiva Luiza Darla Aguiar Silva, Teles Ana Carolina Filgueiras, Souza Jeferson Dos Santos, Oliveira Pedro Ruan Amorim, Alves Bianca Elen Souza, Coelho Mariana Timbaúba Benício, Cajado Aurilene Gomes, Maia Isabelle Fátima Vieira Camelo, Silva Paulo Goberlânio Barros, Cavalcante Diane Isabelle Magno, Cunha Maria do Perpétuo Socorro Saldanha, Arruda Larissa Mont'Alverne, Lima-Júnior Roberto César Pereira, Rogatto Silvia Regina, Wong Deysi Viviana Tenazoa

机构信息

Graduate Program in Oncology, Haroldo Juaçaba Hospital, Cancer Institute of Ceará (ICC), Fortaleza 60430-230, CE, Brazil.

Laboratory of Inflammation and Cancer Pharmacology, Drug Research and Development Center (NPDM), Department of Physiology and Pharmacology, Faculty of Medicine, Federal University of Ceara, Fortaleza 60430-270, CE, Brazil.

出版信息

Cancers (Basel). 2025 Jun 28;17(13):2182. doi: 10.3390/cancers17132182.

Abstract

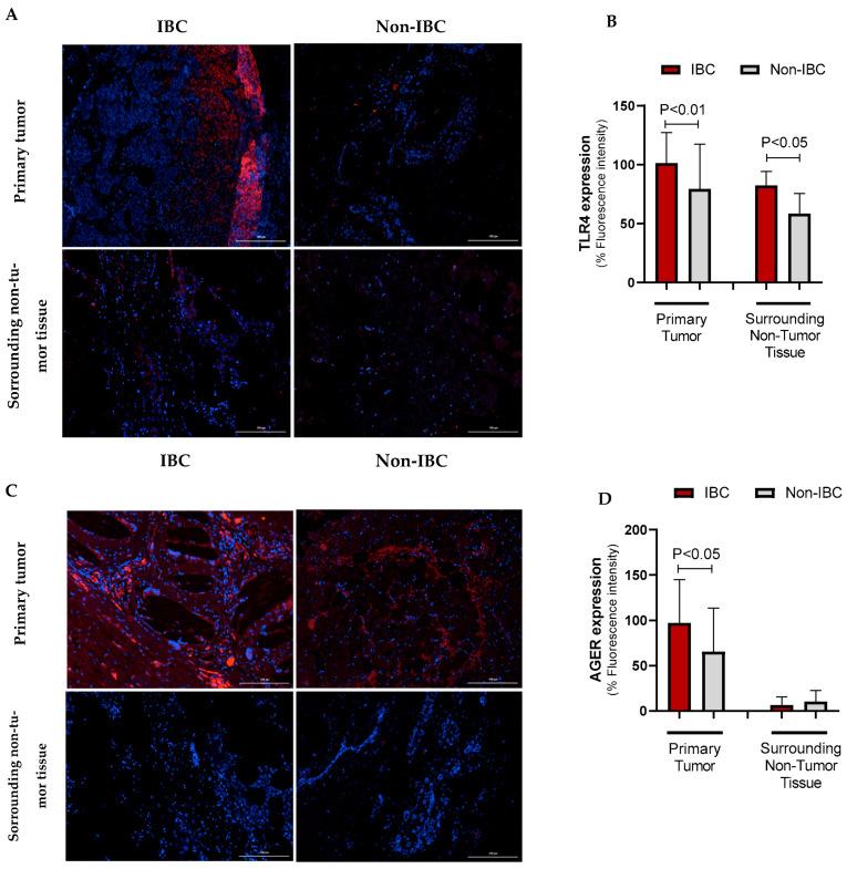
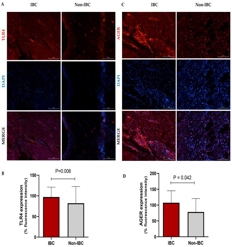
: Inflammatory breast carcinoma (IBC) is an aggressive and rare neoplasm, accounting for 1-5% of all breast cancers. Toll-like receptor type 4 (TLR4) and Advanced Glycation End Products Receptor (AGER/RAGE) have been implicated in breast cancer, and have been shown to promote tumor growth, metastasis, and resistance to therapy by modulating the tumor microenvironment and inflammatory pathways. However, the role of TLR4 and AGER in IBC has not been elucidated. : TLR4 and AGER immunofluorescence expression were evaluated in 27 IBC and 24 non-IBC samples. The expression data and clinicopathological parameters, including the prognostic values of these biomarkers, were compared. and gene expression were investigated using the microarray transcriptomic dataset of IBC and non-IBC samples (Gene Expression Omnibus repository-GEO). : IBC samples showed higher TLR4 and AGER immunoexpression than the non-IBC group and were associated with obesity and Ki-67 expression ( < 0.05). AGER expression in IBC versus non-IBC was also statistically associated with triple-negative molecular subtypes. Non-IBC subjects with AGER immunoexpression above the cutoff (106.1%, sensitivity of 92.3%, and specificity of 56.2%) showed reduced metastasis-free survival ( = 0.032). In the multivariate analysis, high TLR4 immunostaining increased the risk of metastasis-free survival by 1.029-fold. Analyzing three external GEO datasets confirmed that and expression increased in IBC compared to non-IBC samples. : Overall, IBC samples showed higher TLR4 and AGER expressions than other breast cancer types, shedding light on the significance of these markers on IBC biology.

摘要

炎性乳腺癌(IBC)是一种侵袭性罕见肿瘤,占所有乳腺癌的1%-5%。Toll样受体4(TLR4)和晚期糖基化终产物受体(AGER/RAGE)与乳腺癌有关,已显示可通过调节肿瘤微环境和炎症途径促进肿瘤生长、转移及治疗抵抗。然而,TLR4和AGER在IBC中的作用尚未阐明。对27例IBC样本和24例非IBC样本进行了TLR4和AGER免疫荧光表达评估。比较了表达数据和临床病理参数,包括这些生物标志物的预后价值。使用IBC和非IBC样本的微阵列转录组数据集(基因表达综合数据库-GEO)研究了 和 基因表达。IBC样本的TLR4和AGER免疫表达高于非IBC组,且与肥胖和Ki-67表达相关(<0.05)。IBC与非IBC中AGER的表达在统计学上也与三阴性分子亚型相关。AGER免疫表达高于临界值(106.1%,敏感性92.3%,特异性56.2%)的非IBC受试者无转移生存期缩短(=0.032)。多变量分析中,高TLR4免疫染色使无转移生存期风险增加1.029倍。分析三个外部GEO数据集证实,与非IBC样本相比,IBC中 和 表达增加。总体而言,IBC样本的TLR4和AGER表达高于其他乳腺癌类型,揭示了这些标志物在IBC生物学中的意义。

https://cdn.ncbi.nlm.nih.gov/pmc/blobs/7023/12249131/4bf5aa49b742/cancers-17-02182-g001.jpg

文献AI研究员

20分钟写一篇综述,助力文献阅读效率提升50倍。

立即体验

用中文搜PubMed

大模型驱动的PubMed中文搜索引擎

马上搜索

文档翻译

学术文献翻译模型,支持多种主流文档格式。

立即体验