Suppr超能文献

多能干细胞来源肿瘤中的卵黄囊成分:借鉴人类生殖细胞肿瘤的知识

Yolk Sac Elements in Tumors Derived from Pluripotent Stem Cells: Borrowing Knowledge from Human Germ Cell Tumors.

作者信息

van Soest Marnix, Montilla-Rojo Joaquin, Eleveld Thomas F, Looijenga Leendert H J, Salvatori Daniela C F

机构信息

Anatomy and Physiology, Department Clinical Sciences, Faculty of Veterinary Medicine, Utrecht University, 3584 CL Utrecht, The Netherlands.

Princess Máxima Center for Pediatric Oncology, 3584 CS Utrecht, The Netherlands.

出版信息

Int J Mol Sci. 2025 Jul 4;26(13):6464. doi: 10.3390/ijms26136464.

Abstract

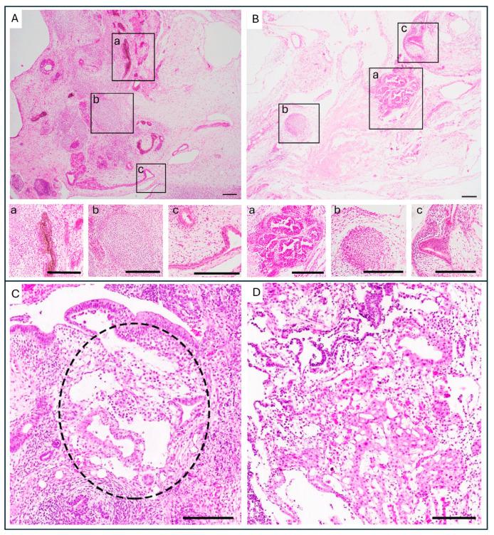
Pluripotent stem cell (PSC)-based therapies are currently in clinical trials. However, one of the main safety concerns includes the potential for cancer formation of the PSC-derived products. Currently, the teratoma in vivo assay is accepted by regulatory agencies for identifying whether PSCs have the potential to become malignant. Yolk sac elements (YSE) are one of the elements that could arise from PSC. Whereas the other malignant element, embryonal carcinoma, is thoroughly studied, this is not the case for YSE. Therefore, more research is needed to assess the nature of YSE. We propose that it is imperative to include the formation of YSE in the safety assessment of PSC due to their close resemblance to the clinical entity of yolk sac tumor (YST), a human malignant germ cell tumor (hGCT). In this review, we extrapolate knowledge from YST to better understand YSE derived from PSC. We demonstrate that both share a similar morphology and that the same characteristic immunohistochemical markers can be used for their identification. We discuss the risk these tumors pose, thereby touching upon genetic abnormalities and gene expression that characterize them, as well as possible disease mechanisms. Integrating the molecular and immunohistochemical markers identified in this review into future research will help to better address the potential malignancy associated with PSC.

摘要

基于多能干细胞(PSC)的疗法目前正在进行临床试验。然而,主要的安全问题之一包括PSC衍生产品形成癌症的可能性。目前,体内畸胎瘤试验被监管机构认可用于鉴定PSC是否有恶变的潜力。卵黄囊成分(YSE)是PSC可能产生的成分之一。虽然另一种恶性成分胚胎癌已得到充分研究,但YSE并非如此。因此,需要更多研究来评估YSE的性质。我们认为,由于YSE与人类恶性生殖细胞肿瘤(hGCT)——卵黄囊瘤(YST)的临床实体极为相似,将YSE的形成纳入PSC的安全性评估势在必行。在本综述中,我们借鉴YST的知识以更好地理解PSC衍生的YSE。我们证明两者具有相似的形态,并且相同的特征性免疫组化标志物可用于它们的鉴定。我们讨论了这些肿瘤带来的风险,进而涉及到其特征性的基因异常和基因表达以及可能的疾病机制。将本综述中鉴定的分子和免疫组化标志物整合到未来的研究中将有助于更好地应对与PSC相关的潜在恶性问题。

https://cdn.ncbi.nlm.nih.gov/pmc/blobs/ea44/12249687/912c88421934/ijms-26-06464-g001.jpg

文献AI研究员

20分钟写一篇综述,助力文献阅读效率提升50倍。

立即体验

用中文搜PubMed

大模型驱动的PubMed中文搜索引擎

马上搜索

文档翻译

学术文献翻译模型,支持多种主流文档格式。

立即体验