Suppr超能文献

PDCA循环在伴随诊断PD-L1 SP263免疫组化检测中的应用

Application of the PDCA cycle in companion diagnostic PD-L1 SP263 immunohistochemical testing.

作者信息

Liu Xiaoying, Yang Feicheng, Wang Kun, Zhang Zhe, Dai Penghui, Zhao Jie, Chen Zhihong

机构信息

Department of Pathology, Hunan Provincial People's Hospital and The First Affiliated Hospital of Hunan Normal University, Changsha, 410005, China.

出版信息

BMC Cancer. 2025 Jul 12;25(1):1167. doi: 10.1186/s12885-025-14572-4.

Abstract

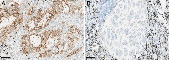
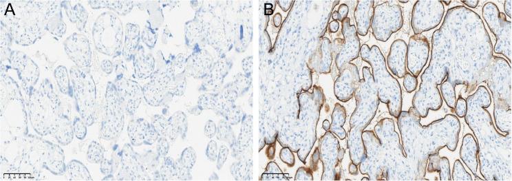
The aim of this study was to investigate application of the PDCA (Plan-Do-Check-Action) cycle in companion diagnostic PD-L1 SP263 immunohistochemical (IHC) testing. By using scientific quality control methods, the accuracy and consistency of the experimental results were ensured.Methods A total of 279 cases of PD-L1 SP263 IHC testing conducted in our hospital from May 2021 to December 2021 were collected. The PDCA cycle method was applied, and quality control data before and after its implementation were analyzed and compared.Results The application of the PDCA cycle effectively strengthened quality control management that significantly improved the accuracy and consistency of PD-L1 SP263 IHC testing results.Conclusion PD-L1 SP263 testing has value as both a complementary and companion diagnostic test for immunotherapy in malignant tumors, with the accuracy of its results being particularly crucial. The testing process involves pre-analytical, analytical, and post-analytical phases. The application of the PDCA cycle provides a robust scientific approach to aid quality control management throughout the PD-L1 SP263 testing process.

摘要

本研究旨在探讨PDCA(计划-执行-检查-行动)循环在伴随诊断PD-L1 SP263免疫组织化学(IHC)检测中的应用。通过采用科学的质量控制方法,确保了实验结果的准确性和一致性。方法收集2021年5月至2021年12月在我院进行的279例PD-L1 SP263 IHC检测病例。应用PDCA循环法,对实施前后的质量控制数据进行分析比较。结果PDCA循环的应用有效加强了质量控制管理,显著提高了PD-L1 SP263 IHC检测结果的准确性和一致性。结论PD-L1 SP263检测作为恶性肿瘤免疫治疗的补充和伴随诊断检测具有价值,其结果的准确性尤为关键。检测过程包括分析前、分析中和分析后阶段。PDCA循环的应用为整个PD-L1 SP263检测过程中的质量控制管理提供了一种强有力的科学方法。

https://cdn.ncbi.nlm.nih.gov/pmc/blobs/2bfb/12254985/bb198426c49a/12885_2025_14572_Fig1_HTML.jpg

文献AI研究员

20分钟写一篇综述,助力文献阅读效率提升50倍。

立即体验

用中文搜PubMed

大模型驱动的PubMed中文搜索引擎

马上搜索

文档翻译

学术文献翻译模型,支持多种主流文档格式。

立即体验