Suppr超能文献

膜蛋白从内质网中选择外源糖蛋白转运至溶酶体进行降解。

Membralin Selects Foreign Glycoproteins from the Endoplasmic Reticulum to Lysosomes for Degradation.

作者信息

Zheng Yong-Hui, Zhang Jing, Lu Xiaoran, Li Sunan, Wang Tao, Ahmad Iqbal

机构信息

University of Illinois Chicago.

Harbin Veterinary Research Institute, Chinese Academy of Agricultural Sciences.

出版信息

Res Sq. 2025 Jun 23:rs.3.rs-6498082. doi: 10.21203/rs.3.rs-6498082/v1.

Abstract

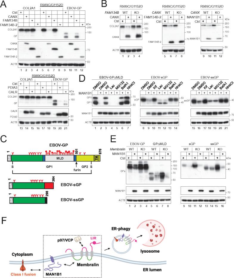
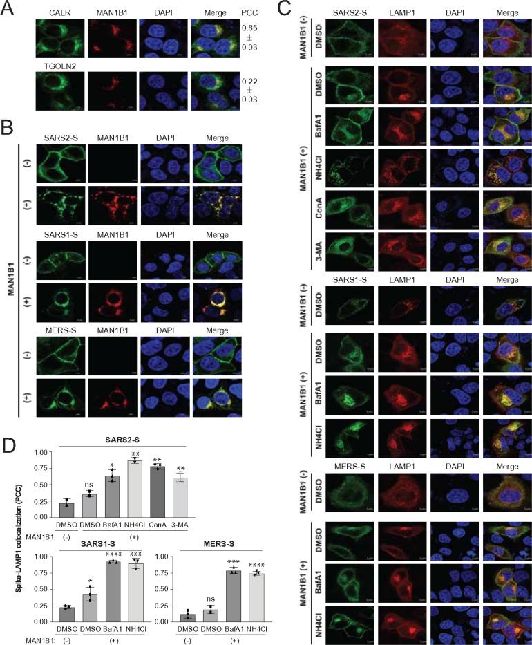
The endoplasmic reticulum (ER) plays a central role in protein synthesis and folding. Membralin is a multi-pass membrane protein involved in ER-associated degradation (ERAD). Here, we demonstrate that Membralin assembles a protein degradation machinery across the ER membrane, specifically targeting class I fusion proteins expressed by major human viruses. Membralin interacts with MAN1B1 and p97/VCP through its luminal and cytoplasmic loops, respectively. Importantly, Membralin also contains an LC3-interacting region (LIR) in its cytoplasmic tail. The expression of these viral glycoproteins induces ER stress, prompting MAN1B1 to trim mannose residues extensively. Subsequently, Membralin recruits p97/VCP and initiate ER-phagy via its LIR, leading to degradation. This pathway specifically recognizes dense -glycans and is selective, as it does not degrade misfolded domestic proteins. Collectively, our study reveals a cell-autonomous immunity inside the ER orchestrated by Membralin, underscoring its important role in the clearance of foreign glycoproteins to maintain cellular homeostasis.

摘要

内质网(ER)在蛋白质合成和折叠过程中发挥着核心作用。膜蛋白(Membralin)是一种参与内质网相关降解(ERAD)的多次跨膜蛋白。在此,我们证明膜蛋白在内质网膜上组装了一种蛋白质降解机制,特别靶向主要人类病毒表达的I类融合蛋白。膜蛋白分别通过其腔环和胞质环与MAN1B1和p97/VCP相互作用。重要的是,膜蛋白在其胞质尾部还含有一个LC3相互作用区域(LIR)。这些病毒糖蛋白的表达会诱导内质网应激,促使MAN1B1广泛修剪甘露糖残基。随后,膜蛋白招募p97/VCP并通过其LIR启动内质网自噬,导致降解。该途径特异性识别密集聚糖且具有选择性,因为它不会降解错误折叠的内源性蛋白质。总的来说,我们的研究揭示了内质网内由膜蛋白精心编排的细胞自主免疫,强调了其在清除外来糖蛋白以维持细胞稳态方面的重要作用。

https://cdn.ncbi.nlm.nih.gov/pmc/blobs/16a4/12270202/9001ea660b3b/nihpp-rs6498082v1-f0001.jpg

文献AI研究员

20分钟写一篇综述,助力文献阅读效率提升50倍。

立即体验

用中文搜PubMed

大模型驱动的PubMed中文搜索引擎

马上搜索

文档翻译

学术文献翻译模型,支持多种主流文档格式。

立即体验