Suppr超能文献

药物-靶点网络的扰动反应扫描:用于多发性硬化症的药物重新利用

Perturbation response scanning of drug-target networks: Drug repurposing for multiple sclerosis.

作者信息

Lu Yitan, Zhou Ziyun, Li Qi, Yang Bin, Xu Xing, Zhu Yu, Xie Mengjun, Qi Yuwan, Xiao Fei, Yan Wenying, Liang Zhongjie, Cong Qifei, Hu Guang

机构信息

MOE Key Laboratory of Geriatric Diseases and Immunology, Suzhou Key Laboratory of Pathogen Bioscience and Anti-infective Medicine, Department of Bioinformatics and Computational Biology, School of Life Sciences, Suzhou Medical College of Soochow University, Suzhou, 215123, China.

Institute of Neuroscience and Jiangsu Key Laboratory of Neuropsychiatric Diseases, Soochow University, Suzhou, 215123, China.

出版信息

J Pharm Anal. 2025 Jun;15(6):101295. doi: 10.1016/j.jpha.2025.101295. Epub 2025 Apr 9.

Abstract

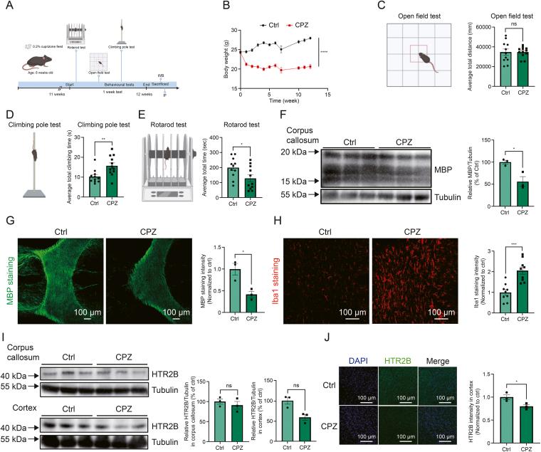
Combined with elastic network model (ENM), the perturbation response scanning (PRS) has emerged as a robust technique for pinpointing allosteric interactions within proteins. Here, we proposed the PRS analysis of drug-target networks (DTNs), which could provide a promising avenue in network medicine. We demonstrated the utility of the method by introducing a deep learning and network perturbation-based framework, for drug repurposing of multiple sclerosis (MS). First, the MS comorbidity network was constructed by performing a random walk with restart algorithm based on shared genes between MS and other diseases as seed nodes. Then, based on topological analysis and functional annotation, the neurotransmission module was identified as the "therapeutic module" of MS. Further, perturbation scores of drugs on the module were calculated by constructing the DTN and introducing the PRS analysis, giving a list of repurposable drugs for MS. Mechanism of action analysis both at pathway and structural levels screened dihydroergocristine as a candidate drug of MS by targeting a serotonin receptor of serotonin 2B receptor (HTR2B). Finally, we established a cuprizone-induced chronic mouse model to evaluate the alteration of HTR2B in mouse brain regions and observed that HTR2B was significantly reduced in the cuprizone-induced mouse cortex. These findings proved that the network perturbation modeling is a promising avenue for drug repurposing of MS. As a useful systematic method, our approach can also be used to discover the new molecular mechanism and provide effective candidate drugs for other complex diseases.

摘要

结合弹性网络模型(ENM),微扰响应扫描(PRS)已成为一种用于确定蛋白质内变构相互作用的强大技术。在此,我们提出了药物 - 靶标网络(DTN)的PRS分析,这可能为网络医学提供一条有前景的途径。我们通过引入基于深度学习和网络微扰的框架,展示了该方法在多发性硬化症(MS)药物再利用方面的效用。首先,基于MS与其他疾病之间的共享基因作为种子节点,通过执行带重启的随机游走算法构建MS共病网络。然后,基于拓扑分析和功能注释,将神经传递模块确定为MS的“治疗模块”。进一步地,通过构建DTN并引入PRS分析来计算药物对该模块的微扰分数,给出一份MS可再利用药物清单。在通路和结构水平上的作用机制分析筛选出双氢麦角汀作为MS的候选药物,其作用靶点为5 - 羟色胺2B受体(HTR2B)的一种血清素受体。最后,我们建立了铜螯合剂诱导的慢性小鼠模型,以评估小鼠脑区中HTR2B的变化,并观察到在铜螯合剂诱导的小鼠皮层中HTR2B显著降低。这些发现证明网络微扰建模是MS药物再利用的一条有前景的途径。作为一种有用的系统方法,我们的方法也可用于发现新的分子机制,并为其他复杂疾病提供有效的候选药物。

https://cdn.ncbi.nlm.nih.gov/pmc/blobs/3f09/12268079/a4af8ef8c001/ga1.jpg

文献AI研究员

20分钟写一篇综述,助力文献阅读效率提升50倍。

立即体验

用中文搜PubMed

大模型驱动的PubMed中文搜索引擎

马上搜索

文档翻译

学术文献翻译模型,支持多种主流文档格式。

立即体验