Suppr超能文献

通过诱导表达E蛋白和M蛋白,在稳定细胞系中生产作为候选疫苗的严重急性呼吸综合征冠状病毒2(SARS-CoV-2)病毒样颗粒。

Production of SARS-CoV-2 virus-like particles as a vaccine candidate in stable cell lines through inducible E and M protein expression.

作者信息

Liu Yu, Chen Zhian, Yang Li, Gan Chunmei, Tang Jieshi, Zheng Zhaoyue, Ye JingYa, Valencia C Alexander, Chow Hoi Yee, Dong Biao

机构信息

National Clinical Research Center for Geriatrics and State Key Laboratory of Biotherapy, West China Hospital, Sichuan University, Chengdu, China.

College of Life Sciences, Shihezi University, Shihezi, China.

出版信息

BMC Biotechnol. 2025 Jul 28;25(1):79. doi: 10.1186/s12896-025-01016-x.

Abstract

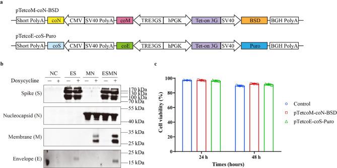
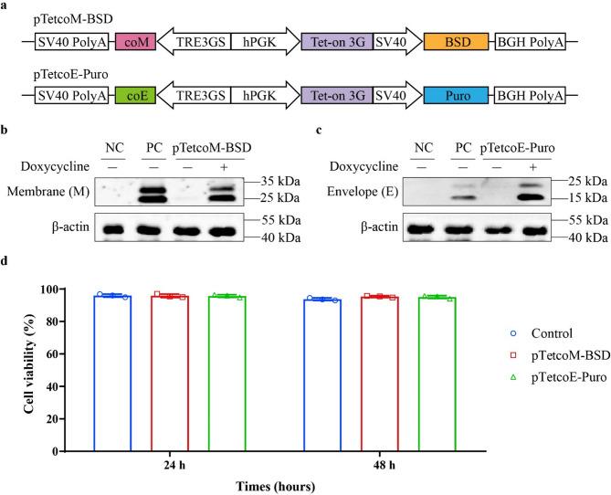
Virus-like particles (VLPs) offer potentially high-immunogenicity/low-cost vaccine platforms. SARS-CoV-2 VLPs production is achieved via transient transfection of genes encoding viral structural proteins, but is costly and difficult to scale up. To address this problem, stable VLPs-producing cell lines are desirable. In this study, we achieved efficient VLPs production by HEK293T cells after transient transfection of four plasmids containing the S, M, N, and E genes with optimized codons. Moreover, spike-specific IgG antibodies were elicited in mice, though no significant neutralizing activity was detected at the tested time points. Transmission electron microscopy (TEM) revealed that the VLPs diameters were approximately 120 nm. However, overexpression of E or M proteins was toxic to the cells. Stable cell lines were established by constructing two plasmids, in which E and M expression was controlled by an inducible Tet-on promoter and they were placed adjacent to S and N, respectively. A HEK293T cell line for stable expression of SARS-CoV-2 VLPs was established by co-selection with two antibiotics, puromycin and blasticidin. Specific IgG antibodies against the S protein were detected in mice immunized with VLPs formulated with the alum adjuvant. Our findings provide an effective approach for large-scale production of SARS-CoV-2 VLPs as vaccine candidates.

摘要

病毒样颗粒(VLPs)提供了具有潜在高免疫原性/低成本的疫苗平台。严重急性呼吸综合征冠状病毒2(SARS-CoV-2)VLPs的生产是通过瞬时转染编码病毒结构蛋白的基因来实现的,但成本高昂且难以扩大规模。为了解决这个问题,稳定的产生VLPs的细胞系是理想的。在本研究中,我们通过用优化密码子的四个质粒(包含S、M、N和E基因)瞬时转染HEK293T细胞,实现了高效的VLPs生产。此外,在小鼠体内引发了刺突特异性IgG抗体,尽管在测试时间点未检测到显著的中和活性。透射电子显微镜(TEM)显示VLPs直径约为120nm。然而,E或M蛋白的过表达对细胞有毒性。通过构建两个质粒建立了稳定细胞系,其中E和M的表达由可诱导的Tet-on启动子控制,并且它们分别与S和N相邻放置。通过用嘌呤霉素和杀稻瘟菌素两种抗生素共同筛选,建立了一个稳定表达SARS-CoV-2 VLPs的HEK293T细胞系。在用明矾佐剂配制的VLPs免疫的小鼠中检测到了针对S蛋白的特异性IgG抗体。我们的研究结果为大规模生产作为候选疫苗的SARS-CoV-2 VLPs提供了一种有效方法。

https://cdn.ncbi.nlm.nih.gov/pmc/blobs/8161/12302831/93991b6d61ad/12896_2025_1016_Fig1_HTML.jpg

文献AI研究员

20分钟写一篇综述,助力文献阅读效率提升50倍。

立即体验

用中文搜PubMed

大模型驱动的PubMed中文搜索引擎

马上搜索

文档翻译

学术文献翻译模型,支持多种主流文档格式。

立即体验