Suppr超能文献

三种抗K54荚膜型解聚酶的特性及治疗潜力

Characterization and Therapeutic Potential of Three Depolymerases Against K54 Capsular-Type .

作者信息

Lu Yanjun, Fang Chengju, Xiang Li, Yin Ming, Qian Lvxin, Yan Yi, Zhang Luhua, Li Ying

机构信息

The School of Basic Medical Sciences, Southwest Medical University, Luzhou 646000, China.

出版信息

Microorganisms. 2025 Jun 30;13(7):1544. doi: 10.3390/microorganisms13071544.

Abstract

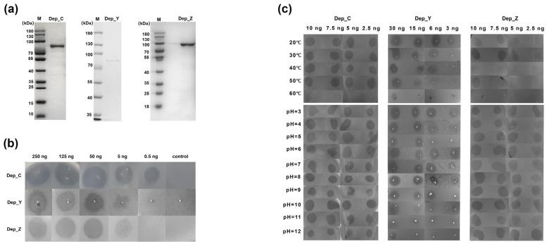
Carbapenem-resistant hypervirulent (CR-hvKp), a pathogen causing severe nosocomial infections and high mortality rates, is increasingly becoming a serious global public health threat. Capsular polysaccharide (CPS), a major virulence factor of hvKp, can be enzymatically degraded by bacteriophage-derived depolymerases. However, to our knowledge, depolymerases targeting K54-type strains have rarely been identified. Here, we identified and characterized three novel capsule depolymerases, Dep_C, Dep_Y, and Dep_Z, derived from three different phages, which retained robust activity across a broad pH range (pH 3.0-12.0) and demonstrated thermal stability up to 50 °C. These depolymerases could efficiently digest the CPS of K54-serotype strains, significantly inhibit biofilm formation, and remove their mature biofilms. Although no bactericidal activity was detected, these depolymerases rendered host bacteria susceptible to serum complement-mediated killing. We further demonstrate that Dep_C, Dep_Y, and Dep_Z can effectively and significantly prolong the survival time of mice in a pneumonia model infected with K54-type and reduce the colonization and virulence of the bacteria in the mice. These findings indicate that depolymerases Dep_C, Dep_Y, and Dep_Z could increase bacterial susceptibility to host immune responses of hvKp to the host through their degradation effect on the CPS. In conclusion, our study demonstrates that the three capsule depolymerases are promising antivirulent agents to combat CR-hvKp infections.

摘要

耐碳青霉烯类高毒力(CR-hvKp)是一种可引发严重医院感染和高死亡率的病原体,正日益成为全球严重的公共卫生威胁。荚膜多糖(CPS)是hvKp的主要毒力因子,可被噬菌体来源的解聚酶酶解降解。然而,据我们所知,针对K54型菌株的解聚酶鲜有报道。在此,我们鉴定并表征了三种新型荚膜解聚酶,即Dep_C、Dep_Y和Dep_Z,它们分别来源于三种不同的噬菌体,在较宽的pH范围(pH 3.0 - 12.0)内保持强大活性,并在高达50°C时表现出热稳定性。这些解聚酶能够有效消化K54血清型菌株的CPS,显著抑制生物膜形成,并去除其成熟生物膜。尽管未检测到杀菌活性,但这些解聚酶可使宿主细菌易受血清补体介导的杀伤作用。我们进一步证明,Dep_C、Dep_Y和Dep_Z能够有效且显著延长感染K54型菌株的肺炎模型小鼠的存活时间,并降低小鼠体内细菌的定植和毒力。这些发现表明,解聚酶Dep_C、Dep_Y和Dep_Z可通过对CPS的降解作用,增强hvKp对宿主免疫反应的易感性。总之,我们的研究表明这三种荚膜解聚酶是对抗CR-hvKp感染的有前景的抗毒力药物。

https://cdn.ncbi.nlm.nih.gov/pmc/blobs/b13f/12298977/f8c93f69caff/microorganisms-13-01544-g001.jpg

文献AI研究员

20分钟写一篇综述,助力文献阅读效率提升50倍。

立即体验

用中文搜PubMed

大模型驱动的PubMed中文搜索引擎

马上搜索

文档翻译

学术文献翻译模型,支持多种主流文档格式。

立即体验