Suppr超能文献

伏隔核中不同的神经通路是慢性疼痛和共病抑郁各自行为特征的基础。

Distinct nucleus accumbens neural pathways underlie separate behavioral features of chronic pain and comorbid depression.

作者信息

Liu Di, Xu Fang-Xia, Yu Zhuang, Huang Xiao-Jing, Zhu Ya-Bing, Wang Li-Juan, Wu Chen-Wei, Zhang Xu, Cao Jun-Li, Li Jinbao

机构信息

Department of Anesthesiology, Shanghai General Hospital, Shanghai Jiao Tong University School of Medicine, Shanghai, China.

Department of Pain Medicine, Shanghai Geriatric Medical Center, Shanghai, China.

出版信息

J Clin Invest. 2025 Aug 1;135(15). doi: 10.1172/JCI191270.

Abstract

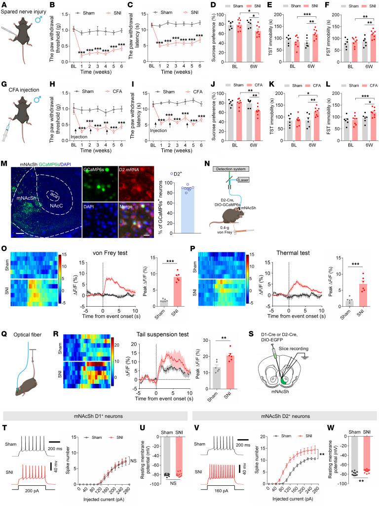
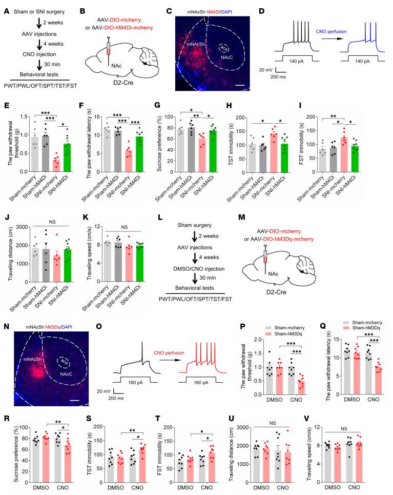
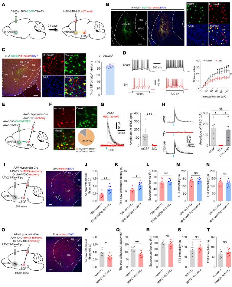
The comorbidity of depressive symptoms in chronic pain has been recognized as a key health issue. However, whether discrete circuits underlie behavioral subsets of chronic pain and comorbid depression has not been addressed. Here, we report that dopamine 2 (D2) receptor-expressing medium spiny neurons in the nucleus accumbens medial shell (mNAcSh) mediate pain hypersensitivity and depression-like behaviors in mice after nerve injury. Two separate neural pathways mediate different symptoms. The glutamatergic inputs from the anteromedial thalamic nucleus to mNAcSh D2 neurons that innervated orexin-expressing neurons in the lateral hypothalamic area contributed to pain regulation. In contrast, the lateral septum GABAergic inputs to mNAcSh D2 neurons that disinhibit the ventral pallidum glutamatergic neurons mediated depression-like behaviors. These findings indicate the functional significance of heterogeneous mNAcSh D2 neurons and their neural pathways, providing a perspective for symptom-specific treatments of chronic pain and comorbid depression.

摘要

慢性疼痛中抑郁症状的共病已被公认为一个关键的健康问题。然而,慢性疼痛和共病性抑郁的行为亚群是否由离散的神经回路介导尚未得到解决。在此,我们报告伏隔核内侧壳(mNAcSh)中表达多巴胺2(D2)受体的中等棘状神经元在神经损伤后介导小鼠的疼痛超敏反应和抑郁样行为。两条独立的神经通路介导不同的症状。从前内侧丘脑核到mNAcSh D2神经元的谷氨酸能输入支配下丘脑外侧区表达食欲素的神经元,这有助于疼痛调节。相比之下,外侧隔核向mNAcSh D2神经元的GABA能输入解除对腹侧苍白球谷氨酸能神经元的抑制,介导抑郁样行为。这些发现表明了异质性mNAcSh D2神经元及其神经通路的功能意义,为慢性疼痛和共病性抑郁的症状特异性治疗提供了一个视角。

https://cdn.ncbi.nlm.nih.gov/pmc/blobs/b005/12321395/ad7c8d4dbabb/jci-135-191270-g005.jpg

文献AI研究员

20分钟写一篇综述,助力文献阅读效率提升50倍。

立即体验

用中文搜PubMed

大模型驱动的PubMed中文搜索引擎

马上搜索

文档翻译

学术文献翻译模型,支持多种主流文档格式。

立即体验