Suppr超能文献

细胞核易位的葡萄糖激酶作为一种蛋白激酶发挥作用,使TAZ磷酸化并促进肿瘤生长。

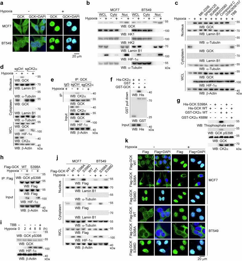
Nucleus-translocated glucokinase functions as a protein kinase to phosphorylate TAZ and promote tumour growth.

作者信息

Zhao Gaoxiang, Luo Shudi, Zhao Hong, Ma Qingxia, Jiang Hongfei, Wang Lin, Liu Juanjuan, Guo Dong, Wang Runze, Xu Qianqian, Lun Jie, Xie Ranran, Duan Yixin, Ma Leina, Qiu Wensheng, Fang Jing, Lu Zhimin

机构信息

Department of Oncology, Cancer Institute of the Affiliated Hospital of Qingdao University, Qingdao University, Qingdao Cancer Institute, Qingdao, Shandong, China.

Zhejiang Key Laboratory of Pancreatic Disease, The First Affiliated Hospital, Zhejiang Key Laboratory of Frontier Medical Research on Cancer Metabolism, and Institute of Translational Medicine, Zhejiang University School of Medicine, Hangzhou, Zhejiang, China.

出版信息

Nat Commun. 2025 Aug 4;16(1):7156. doi: 10.1038/s41467-025-62566-4.

Abstract

Hypoxia frequently occurs during rapid tumour growth. However, how tumour cells adapt to hypoxic stress by remodeling central cellular pathways remains largely unclear. Here, we show that hypoxia induces casein kinase 2 (CK2)-mediated glucokinase (GCK) S398 phosphorylation, which exposes its nuclear localization signal (NLS) for importin α1 binding and nuclear translocation. Importantly, nuclear GCK interacts with the transcriptional coactivator with PDZ-binding motif (TAZ) and functions as a protein kinase that phosphorylates TAZ T346. Phosphorylated TAZ recruits peptidyl-prolyl cis-trans isomerase NIMA-interacting 1 (PIN1) for cis-trans isomerization of TAZ, which inhibits the binding of β-TrCP to TAZ and β-TrCP-mediated TAZ degradation. Activated TAZ-TEAD induces the expression of downstream target genes to promote tumour growth. These findings reveal an instrumental mechanism by which a glycolytic enzyme regulates the Hippo pathway under hypoxic conditions and highlight the moonlighting function of GCK as a protein kinase in modulating TAZ activity and tumour growth.

摘要

缺氧在肿瘤快速生长过程中经常发生。然而,肿瘤细胞如何通过重塑核心细胞通路来适应缺氧应激在很大程度上仍不清楚。在此,我们表明缺氧诱导酪蛋白激酶2(CK2)介导的葡萄糖激酶(GCK)S398磷酸化,这暴露出其核定位信号(NLS)以供输入蛋白α1结合并进行核转位。重要的是,核GCK与具有PDZ结合基序的转录共激活因子(TAZ)相互作用,并作为一种蛋白激酶发挥作用,使TAZ的T346位点磷酸化。磷酸化的TAZ招募肽基脯氨酰顺反异构酶NIMA相互作用蛋白1(PIN1)对TAZ进行顺反异构化,这抑制了β-TrCP与TAZ的结合以及β-TrCP介导的TAZ降解。激活的TAZ-TEAD诱导下游靶基因的表达以促进肿瘤生长。这些发现揭示了一种机制,即一种糖酵解酶在缺氧条件下调节Hippo通路,并突出了GCK作为蛋白激酶在调节TAZ活性和肿瘤生长方面的兼职功能。

https://cdn.ncbi.nlm.nih.gov/pmc/blobs/d849/12322040/f1190ce6d577/41467_2025_62566_Fig1_HTML.jpg

文献AI研究员

20分钟写一篇综述,助力文献阅读效率提升50倍。

立即体验

用中文搜PubMed

大模型驱动的PubMed中文搜索引擎

马上搜索

文档翻译

学术文献翻译模型,支持多种主流文档格式。

立即体验