Suppr超能文献

嗅觉介蛋白-2缺陷将脂肪细胞功能障碍与肥胖联系起来。

Defective Olfactomedin-2 connects adipocyte dysfunction to obesity.

作者信息

Lluch Aina, Latorre Jèssica, Espadas Isabel, Oliveras-Cañellas Núria, Moreno-Navarrete José M, Caballano-Infantes Estefanía, Sarker Gitalee, Malvido Nicolás F, Garrido-Gil Pablo, Labandeira-García José L, Nakaya Naoki, Mora Silvia, Chicano Eduardo, López-Alcalá Jaime, Malagón María M, Martín-Montalvo Alejandro, Zhang Birong, Zhou You, Domingos Ana I, López Miguel, Pörschke Johanna, Gómez-Serrano María, Szymanski Witold, Graumann Johannes, Tomarev Stanislav I, González-García Ismael, Fernández-Real José M, Ortega Francisco J

机构信息

Service of Diabetes, Endocrinology and Nutrition (UDEN), Institut d'Investigació Biomèdica de Girona (IDIBGI), Girona, Spain.

CIBER de la Fisiopatología de la Obesidad y la Nutrición (CIBEROBN), Instituto de Salud Carlos III (ISCIII), Madrid, Spain.

出版信息

Nat Commun. 2025 Aug 4;16(1):7154. doi: 10.1038/s41467-025-62430-5.

Abstract

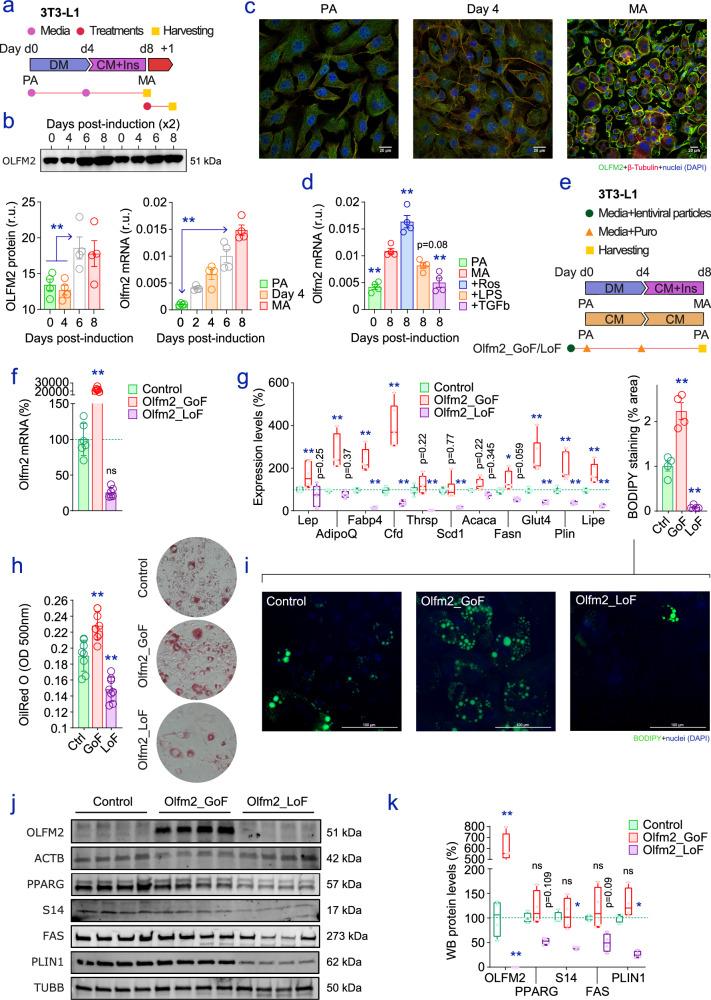
Olfactomedin-2 (OLFM2) is a pleiotropic glycoprotein emerging as a regulator of energy homeostasis. We here show the expression of OLFM2 to be adipocyte-specific and inversely associated with obesity. OLFM2 levels increase during adipogenesis and are suppressed in inflamed adipocytes. Functionally, OLFM2 deficiency impairs adipocyte differentiation, while its over-production enhances the adipogenic transformation of fat cell progenitors. Loss and gain of function experiments revealed that OLFM2 modulates key metabolic and structural pathways, including PPAR signaling, citrate cycle, fatty acid degradation, axon guidance and focal adhesion in 3T3 cell lines and primary human adipocytes. On the molecular level, OLFM2 deficiency in differentiated adipocytes predominantly downregulates genes involved in cell cycle. Extending these findings in vivo, both whole-body Olfm2 knockout and adipose-specific Olfm2 depletion in mice resulted in impaired adipose cell cycle gene expression, with the latter also displaying fat mass accretion and metabolic dysfunction. Collectively, our results underscore a critical role for OLFM2 in adipocyte biology, and support a causative link between reduced adipose OLFM2 and the pathophysiology of obesity.

摘要

嗅觉介质蛋白-2(OLFM2)是一种多效性糖蛋白,逐渐成为能量稳态的调节因子。我们在此表明,OLFM2的表达具有脂肪细胞特异性,且与肥胖呈负相关。OLFM2水平在脂肪生成过程中升高,而在炎症脂肪细胞中受到抑制。在功能上,OLFM2缺乏会损害脂肪细胞分化,而其过量表达则会增强脂肪细胞祖细胞的成脂转化。功能缺失和功能获得实验表明,OLFM2在3T3细胞系和原代人脂肪细胞中调节关键的代谢和结构途径,包括PPAR信号传导、柠檬酸循环、脂肪酸降解、轴突导向和粘着斑。在分子水平上,分化脂肪细胞中的OLFM2缺乏主要下调参与细胞周期的基因。在体内扩展这些发现,小鼠全身Olfm2基因敲除和脂肪特异性Olfm2缺失均导致脂肪细胞周期基因表达受损,后者还表现出脂肪量增加和代谢功能障碍。总体而言,我们的结果强调了OLFM2在脂肪细胞生物学中的关键作用,并支持脂肪组织中OLFM2减少与肥胖病理生理学之间的因果关系。

https://cdn.ncbi.nlm.nih.gov/pmc/blobs/9889/12322249/25150e73d9cc/41467_2025_62430_Fig1_HTML.jpg

文献AI研究员

20分钟写一篇综述,助力文献阅读效率提升50倍。

立即体验

用中文搜PubMed

大模型驱动的PubMed中文搜索引擎

马上搜索

文档翻译

学术文献翻译模型,支持多种主流文档格式。

立即体验