Suppr超能文献

伴有淋巴结转移的SMARCB1/INI1缺陷型肺癌:一例报告及文献复习

SMARCB1/INI1-deficient lung cancer with lymph node metastasis: a case report and literature review.

作者信息

Yang Xuemin, Wang Mingming, Qiu Dan, Zhang Huanhuan, Jiang Wenrui

机构信息

Department of Pulmonary and Critical Care of Medicine, The First Affiliated Hospital of the Air Force Military Medical University, Xi'an, China.

出版信息

AME Case Rep. 2025 Jun 19;9:86. doi: 10.21037/acr-24-276. eCollection 2025.

Abstract

BACKGROUND

Switch/Sucrose non-fermentable-related, matrix-associated, actin-dependent regulator of chromatin subfamily B member 1/integrase interactor 1 (SMARCB1/INI1)-deficient lung cancer is a very rare and highly invasive malignant tumor, of which clinicians and pathologists often have limited understanding.

CASE DESCRIPTION

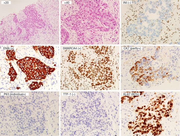
We present a 54-year-old man with SMARCB1/INI1-deficient lung cancer, pathologically confirmed by computed tomography guided percutaneous pulmonary mass biopsy and ultrasound-guided lymph node biopsy. Both lymphoids and lung tissues showed INI1 deletion and high Ki-67 index; next generation sequencing (NGS) indicated a tumor protein 53 () mutation abundance of 22.18% and cyclin-dependent kinase 4 () amplification (copy number of 4.30). Currently, SMARCB1/INI1-deficient lung cancer is rare, and no standardized treatment plan is available, and there was no clear and effective targeted drug. Considering the high expression of programmed cell death ligand 1 (PD-L1), the patient was advised to undergo treatment with anti-programmed cell death 1 (PD-1) immune checkpoint inhibitors. Unfortunately, because the patient and his family have low financial resources, only afford resident insurance and cannot afford follow-up medical expenses, the patient refused treatment and passed away 3 months after diagnosis.

CONCLUSIONS

We provided the clinical symptoms, imaging data, and literature findings of this rare case of SMARCB1/INI1-deficient lung cancer with lymph node metastasis as a reference, hoping to help clinicians and pathologists have a better understanding of it and avoid misdiagnosis.

摘要

背景

开关/蔗糖非发酵相关、基质相关、肌动蛋白依赖性染色质调节因子B亚家族成员1/整合酶相互作用因子1(SMARCB1/INI1)缺陷型肺癌是一种非常罕见且侵袭性很强的恶性肿瘤,临床医生和病理学家对其了解往往有限。

病例描述

我们报告一名54岁患有SMARCB1/INI1缺陷型肺癌的男性患者,经计算机断层扫描引导下经皮肺肿物活检和超声引导下淋巴结活检病理确诊。淋巴组织和肺组织均显示INI1缺失和高Ki-67指数;二代测序(NGS)显示肿瘤蛋白53()突变丰度为22.18%,细胞周期蛋白依赖性激酶4()扩增(拷贝数为4.30)。目前,SMARCB1/INI1缺陷型肺癌较为罕见,尚无标准化治疗方案,也没有明确有效的靶向药物。考虑到程序性细胞死亡配体1(PD-L1)高表达,建议患者接受抗程序性细胞死亡蛋白1(PD-1)免疫检查点抑制剂治疗。不幸的是,由于患者及其家属经济条件差,仅能负担居民医保,无力承担后续医疗费用,患者拒绝治疗,诊断后3个月去世。

结论

我们提供了这例罕见的伴有淋巴结转移的SMARCB1/INI1缺陷型肺癌的临床症状、影像学数据及文献研究结果作为参考,希望有助于临床医生和病理学家更好地了解该病,避免误诊。

https://cdn.ncbi.nlm.nih.gov/pmc/blobs/dfc1/12319588/589ec99b5c0f/acr-09-24-276-f1.jpg

文献AI研究员

20分钟写一篇综述,助力文献阅读效率提升50倍。

立即体验

用中文搜PubMed

大模型驱动的PubMed中文搜索引擎

马上搜索

文档翻译

学术文献翻译模型,支持多种主流文档格式。

立即体验