Suppr超能文献

13-甲基巴马汀可能通过靶向C5a-C5aR1轴抑制中性粒细胞胞外诱捕网形成来减轻心肌缺血/再灌注损伤。

13-methylpalmatine alleviates myocardial ischemia/reperfusion injury by potentially targeting the C5a-C5aR1 axis to inhibit neutrophil extracellular trap formation.

作者信息

Zhang Miao, Gao Shan, Tan Nannan, Yan Yu, Zhu Rongxin, Liu Jiajing, Mao Qin, Wang Keyan, Zhang Wenhao, Wang Gang, Wang Zhuo, Wang Tieshan, Huang Xueshi, Zhang Rong, Yang Baofeng

机构信息

School of Traditional Chinese Medicine and Beijing Research Institute of Chinese Medicine, Beijing University of Chinese Medicine, Beijing, 100029, China.

School of Traditional Chinese Medicine and Beijing Research Institute of Chinese Medicine, Beijing University of Chinese Medicine, Beijing, 100029, China; First Teaching Hospital of Tianjin University of Traditional Chinese Medicine, National Clinical Research Center for Chinese Medicine Acupuncture and Moxibustion, Tianjin, 300381, China.

出版信息

Redox Biol. 2025 Aug 5;86:103802. doi: 10.1016/j.redox.2025.103802.

Abstract

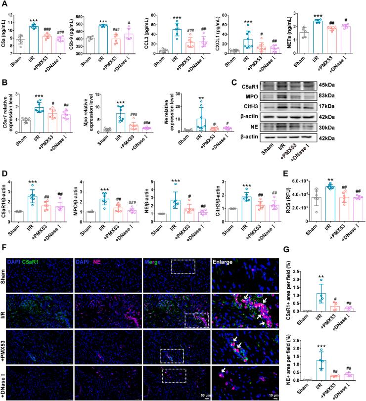
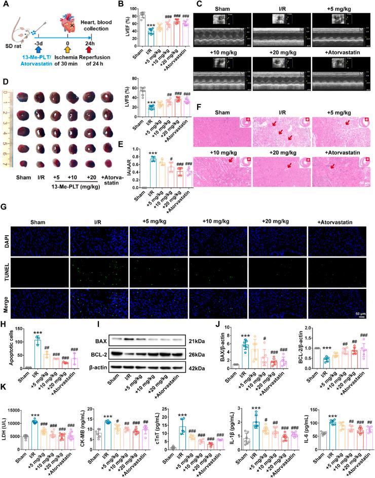
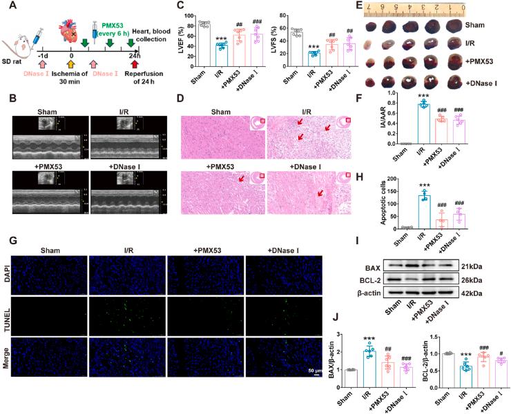
The complement system activation-induced inflammation is a critical contributor to myocardial ischemia/reperfusion (I/R) injury. However, effective therapeutic targets and pharmacological interventions remain limited. In this study, we identified 13-methylpalmatine (13-Me-PLT), a natural isoquinoline alkaloid isolated from Coptidis chinensis, as a cardio-protective agent that improved cardiac function and reduced inflammation in a rat model of myocardial I/R injury. RNA sequencing (RNA-seq) analysis revealed significant up-regulation of neutrophil extracellular trap (NET) formation-related signaling pathway and C5ar1 gene in myocardial I/R, both of which were reversed by 13-Me-PLT treatment. Bioinformatics analysis, biophysical assays, and flow cytometry confirmed that 13-Me-PLT effectively inhibited C5a receptor 1 (C5aR1) on neutrophils. However, the role of the C5a-C5aR1 axis in NET formation during myocardial I/R injury has remained unclear. In this study, using a pharmacological inhibitor of C5aR1, we demonstrated that activation of the C5a-C5aR1 axis promoted myocardial I/R injury by inducing NET formation, and that 13-Me-PLT effectively inhibited both processes in a BM213 (C5aR1 agonist)-treated rat model. In vitro, 13-Me-PLT suppressed the expression of NET-associated proteins and alleviated fibrous NET structures in neutrophils, further supporting its cardio-protective effects. In conclusion, our findings revealed that C5a-C5aR1 axis activation exacerbated myocardial I/R injury in a NET-dependent manner. 13-Me-PLT exerted cardio-protective effects by potentially inhibiting C5a-C5aR1 axis-mediated NET formation, highlighting its potential as a therapeutic candidate for myocardial I/R injury.

摘要

补体系统激活诱导的炎症是心肌缺血/再灌注(I/R)损伤的关键促成因素。然而,有效的治疗靶点和药物干预仍然有限。在本研究中,我们鉴定出从黄连中分离出的天然异喹啉生物碱13-甲基巴马汀(13-Me-PLT)是一种心脏保护剂,可改善大鼠心肌I/R损伤模型的心脏功能并减轻炎症。RNA测序(RNA-seq)分析显示,心肌I/R中中性粒细胞胞外陷阱(NET)形成相关信号通路和C5ar1基因显著上调,而13-Me-PLT处理可使其逆转。生物信息学分析、生物物理测定和流式细胞术证实,13-Me-PLT可有效抑制中性粒细胞上的C5a受体1(C5aR1)。然而,C5a-C5aR1轴在心肌I/R损伤期间NET形成中的作用仍不清楚。在本研究中,我们使用C5aR1的药理抑制剂证明,C5a-C5aR1轴的激活通过诱导NET形成促进心肌I/R损伤,并且13-Me-PLT在BM213(C5aR1激动剂)处理的大鼠模型中有效抑制了这两个过程。在体外,13-Me-PLT抑制NET相关蛋白的表达并减轻中性粒细胞中的纤维状NET结构,进一步支持其心脏保护作用。总之,我们的研究结果表明,C5a-C5aR1轴激活以NET依赖的方式加剧心肌I/R损伤。13-Me-PLT通过潜在抑制C5a-C5aR1轴介导的NET形成发挥心脏保护作用,突出了其作为心肌I/R损伤治疗候选药物的潜力。

https://cdn.ncbi.nlm.nih.gov/pmc/blobs/b84d/12345005/bb7af07881aa/ga1.jpg

文献AI研究员

20分钟写一篇综述,助力文献阅读效率提升50倍。

立即体验

用中文搜PubMed

大模型驱动的PubMed中文搜索引擎

马上搜索

文档翻译

学术文献翻译模型,支持多种主流文档格式。

立即体验