Suppr超能文献

靶向富马酸水合酶缺陷型转移性肾细胞癌中的代谢和表观遗传重编程。

Targeting metabolic and epigenetic reprogramming in metastatic fumarate hydratase-deficient renal cell carcinoma.

作者信息

Kührer Nadja, Huebner-Resch Irene, Mayr Roman, Agaimy Abbas, Kronbichler Andreas, Hartmann Arndt, Schmidinger Manuela, Pichler Renate

机构信息

Department of Urology, Comprehensive Cancer Center Innsbruck, Medical University of Innsbruck, Innsbruck, Austria.

Department of Urology, Comprehensive Cancer Center, Medical University of Vienna, Vienna, Austria.

出版信息

Clin Exp Metastasis. 2025 Aug 8;42(5):47. doi: 10.1007/s10585-025-10368-9.

Abstract

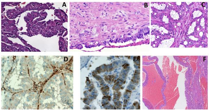
Fumarate hydratase-deficient renal cell carcinoma (FHdRCC) has been classified under the new category of molecularly defined RCCs according to the WHO classification 2022. Although rare, FHdRCC is an aggressive malignancy with a high metastatic potential and poor prognosis, even at early stages. Due to its low incidence, no standard therapeutic regimen has been established to date. Several phase 2 clinical trials are evaluating combinations of targeted therapies in patients with advanced/metastatic disease. These include immune checkpoint inhibitors (nivolumab, tislelizumab, sintilimab, avelumab), multi-tyrosine kinase inhibitors (cabozantinib, erlotinib, lenvatinib, axitinib, vandetanib), and PARP inhibitors (talazoparib). The most promising combinations are nivolumab/cabozantinib (N = 5, objective response rate (ORR): 100%), lenvatinib/tislelizumab (N = 14, ORR: 93.3%), bevacizumab/erlotinib (N = 43, ORR: 72%), and sintilimab/axitinib (N = 19, ORR: 63.1%). In this review, we will provide a detailed overview of ongoing clinical trials, highlighting the roles of metabolic and epigenetic reprogramming, as well as pro- oncogenic signaling, which together form the backbone for emerging novel targeted treatment strategies. Targeting these specific signaling pathways will shift the therapeutic landscape toward personalized medicine in metastatic FHdRCC.

摘要

根据世界卫生组织2022年分类,富马酸水合酶缺陷型肾细胞癌(FHdRCC)已被归类为分子定义的肾细胞癌新类别。尽管FHdRCC罕见,但它是一种侵袭性恶性肿瘤,即使在早期也具有高转移潜力和不良预后。由于其发病率低,迄今为止尚未建立标准治疗方案。几项2期临床试验正在评估晚期/转移性疾病患者的靶向治疗组合。这些包括免疫检查点抑制剂(纳武单抗、替雷利珠单抗、信迪利单抗、阿维鲁单抗)、多酪氨酸激酶抑制剂(卡博替尼、厄洛替尼、乐伐替尼、阿昔替尼、凡德他尼)和PARP抑制剂(他拉唑帕尼)。最有前景的组合是纳武单抗/卡博替尼(N = 5,客观缓解率(ORR):100%)、乐伐替尼/替雷利珠单抗(N = 14,ORR:93.3%)、贝伐单抗/厄洛替尼(N = 43,ORR:72%)和信迪利单抗/阿昔替尼(N = 19,ORR:63.1%)。在本综述中,我们将详细概述正在进行的临床试验,强调代谢和表观遗传重编程以及促癌信号传导的作用,这些共同构成了新兴的新型靶向治疗策略的基础。针对这些特定的信号通路将使转移性FHdRCC的治疗格局转向个性化医学。

https://cdn.ncbi.nlm.nih.gov/pmc/blobs/7b10/12334508/aa4d93c45af2/10585_2025_10368_Fig1_HTML.jpg

文献AI研究员

20分钟写一篇综述,助力文献阅读效率提升50倍。

立即体验

用中文搜PubMed

大模型驱动的PubMed中文搜索引擎

马上搜索

文档翻译

学术文献翻译模型,支持多种主流文档格式。

立即体验