Suppr超能文献

卵巢生殖细胞肿瘤后多种恶性肿瘤的快速序贯发生:诊断、治疗及监测挑战

Rapid sequential development of multiple malignancies following ovarian germ cell tumor: Diagnostic, therapeutic, and surveillance challenges.

作者信息

Sheikhhasani Shahrzad, Ameli Fereshteh, Mosavat Mina Sadat

机构信息

Vali-e-Asr Reproductive Health Research Center, Family Health Research Institute, Imam Khomeini Hospital Complex, Tehran University of Medical Sciences, Tehran, Iran.

Department of Pathology, School of Medicine, Tehran University of Medical Sciences, Tehran, Iran.

出版信息

Int J Surg Case Rep. 2025 Aug 6;134:111778. doi: 10.1016/j.ijscr.2025.111778.

Abstract

BACKGROUND

Ovarian germ cell tumors (OGCTs) are uncommon malignancies predominantly affecting young women. Although platinum-based chemotherapy significantly improves prognosis, survivors remain at risk of developing secondary malignancies, posing ongoing clinical management challenges.

CASE PRESENTATION

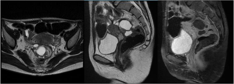
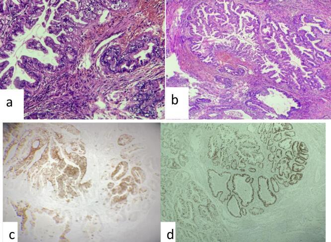
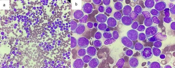
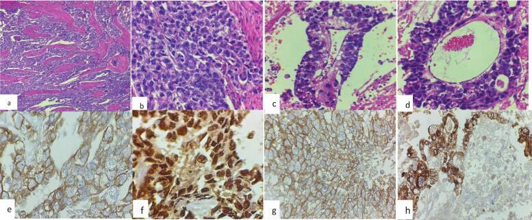
We report an exceptional case involving a 22-year-old woman initially diagnosed with a malignant mixed germ cell tumor (MGCT) during pregnancy. Following surgical debulking and chemotherapy, she rapidly developed two distinct secondary malignancies within one year: enteric-type adenocarcinoma and chemotherapy-related acute myeloid leukemia (AML). Despite multidisciplinary interventions, the patient succumbed to disease progression and treatment complications.

DISCUSSION

This rare sequence of MGCT, gastrointestinal malignancy, and AML highlights the intricate interplay between genetic predisposition, chemotherapy toxicity, and potential embryologic connections underlying multiple primary malignancies (MPMs). The rapid progression emphasizes critical inadequacies in current surveillance practices, underscoring the necessity for personalized, long-term surveillance and multidisciplinary management.

CONCLUSION

Enhanced surveillance strategies extending beyond conventional timelines, proactive genetic testing, and exploration of novel, less-toxic therapeutic approaches are urgently required. Future research on molecular mechanisms and the development of evidence-based guidelines will significantly impact the clinical outcomes of patients facing similar challenges.

摘要

背景

卵巢生殖细胞肿瘤(OGCTs)是一种罕见的恶性肿瘤,主要影响年轻女性。尽管铂类化疗显著改善了预后,但幸存者仍有发生继发性恶性肿瘤的风险,这给临床管理带来了持续挑战。

病例报告

我们报告了一例特殊病例,一名22岁女性在怀孕期间最初被诊断为恶性混合性生殖细胞肿瘤(MGCT)。在手术减瘤和化疗后,她在一年内迅速发展出两种不同的继发性恶性肿瘤:肠型腺癌和化疗相关的急性髓系白血病(AML)。尽管采取了多学科干预措施,患者仍因疾病进展和治疗并发症而死亡。

讨论

这种罕见的MGCT、胃肠道恶性肿瘤和AML的序列突出了遗传易感性、化疗毒性以及多种原发性恶性肿瘤(MPMs)潜在的胚胎学联系之间的复杂相互作用。疾病的快速进展凸显了当前监测实践中的严重不足,强调了个性化、长期监测和多学科管理的必要性。

结论

迫切需要加强监测策略,延长常规监测时间,积极进行基因检测,并探索新的、毒性较小的治疗方法。未来对分子机制的研究和循证指南的制定将对面临类似挑战的患者的临床结局产生重大影响。

https://cdn.ncbi.nlm.nih.gov/pmc/blobs/11c9/12351171/b0458c92125d/gr1.jpg

文献AI研究员

20分钟写一篇综述,助力文献阅读效率提升50倍。

立即体验

用中文搜PubMed

大模型驱动的PubMed中文搜索引擎

马上搜索

文档翻译

学术文献翻译模型,支持多种主流文档格式。

立即体验