Suppr超能文献

非小细胞肺癌中的血管生成拟态:一项系统综述

Vasculogenic mimicry in non-small cell lung cancer: a systematic review.

作者信息

Shapkina Valeriia, Shindyapin Vadim, Burlov Nikita, Prosekina Elizaveta, Artemyeva Anna

机构信息

Laboratory of Microangiopathic Mechanisms of Atherogenesis, Institute of Medicine, Saint-Petersburg State University, Saint Petersburg, Russia.

Department of Pathology, Institute of Medicine, Saint-Petersburg State University, Saint Petersburg, Russia.

出版信息

Front Oncol. 2025 Jul 25;15:1481726. doi: 10.3389/fonc.2025.1481726. eCollection 2025.

Abstract

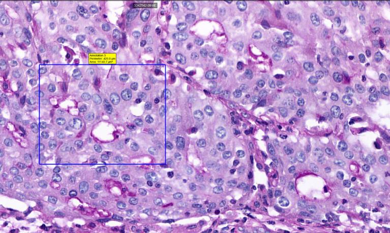
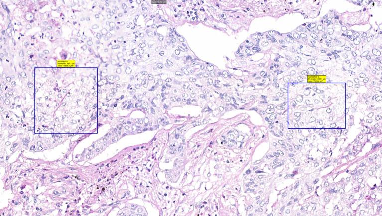
Vasculogenic mimicry (VM), a non-endothelial tumor blood supply mechanism linked to poor prognosis in various cancers, requires consolidated prognostic evaluation in non-small cell lung cancer (NSCLC). This systematic review synthesized evidence on VM's association with survival outcomes (OS, DFS, PFS) in NSCLC patients. Following PRISMA-ScR guidelines, PubMed and Google Scholar were searched, identifying 19 eligible studies (all in Chinese populations) using immunohistochemistry (CD31/CD34-PAS) for VM detection. Eighteen studies found VM presence (prevalence 13.6%-45.2%) significantly associated with worse survival. Multivariate analyses identified VM as an independent negative prognostic factor, increasing mortality risk (HR 1.542-2.542) and progression risk (HR 2.1-2.4). However, critical limitations included exclusive focus on Asian cohorts, universal retrospective design, inconsistencies and potential artifacts in VM detection, and statistical issues (misreported risk measures, discordant data). While VM correlates with reduced survival in NSCLC, suggesting potential prognostic utility, these limitations - particularly ethnic homogeneity, retrospective bias, methodological heterogeneity, and statistical errors - preclude definitive conclusions. Future prospective studies with standardized VM assessment and diverse populations are essential for validation.

摘要

血管生成拟态(VM)是一种与多种癌症预后不良相关的非内皮肿瘤供血机制,在非小细胞肺癌(NSCLC)中需要进行综合预后评估。本系统评价综合了关于VM与NSCLC患者生存结局(总生存期、无病生存期、无进展生存期)关联的证据。按照PRISMA-ScR指南,检索了PubMed和谷歌学术,通过免疫组织化学(CD31/CD34-PAS)检测VM,确定了19项符合条件的研究(均为中国人群研究)。18项研究发现VM的存在(患病率13.6%-45.2%)与较差的生存率显著相关。多变量分析确定VM为独立的负面预后因素,增加了死亡风险(风险比1.542-2.542)和进展风险(风险比2.1-2.4)。然而,关键局限性包括仅关注亚洲队列、普遍采用回顾性设计、VM检测存在不一致和潜在假象以及统计问题(风险测量报告错误、数据不一致)。虽然VM与NSCLC患者生存率降低相关,提示其可能具有预后价值,但这些局限性——尤其是种族同质性、回顾性偏倚、方法学异质性和统计误差——妨碍了得出明确结论。未来采用标准化VM评估且涉及不同人群的前瞻性研究对于验证至关重要。

https://cdn.ncbi.nlm.nih.gov/pmc/blobs/521c/12331492/97db8000724d/fonc-15-1481726-g001.jpg

文献AI研究员

20分钟写一篇综述,助力文献阅读效率提升50倍。

立即体验

用中文搜PubMed

大模型驱动的PubMed中文搜索引擎

马上搜索

文档翻译

学术文献翻译模型,支持多种主流文档格式。

立即体验