Suppr超能文献

抑制LDHB会引发DNA损伤并增加胸膜间皮瘤对顺铂的敏感性。

Inhibition of LDHB triggers DNA damage and increases cisplatin sensitivity in pleural mesothelioma.

作者信息

Lin Yantang, Dubey Christelle, Losmanova Tereza, Yasmin Samuel Oevgü, Reymond Jean-Louis, Peng Ren-Wang, Deng Haibin, Dorn Patrick, Marti Thomas Michael

机构信息

Department of General Thoracic Surgery, Inselspital, Bern University Hospital, University of Bern, Bern, Switzerland.

Oncology-Thoracic Malignancies, Department for BioMedical Research, University of Bern, Bern, Switzerland.

出版信息

Oncogenesis. 2025 Aug 11;14(1):28. doi: 10.1038/s41389-025-00571-4.

Abstract

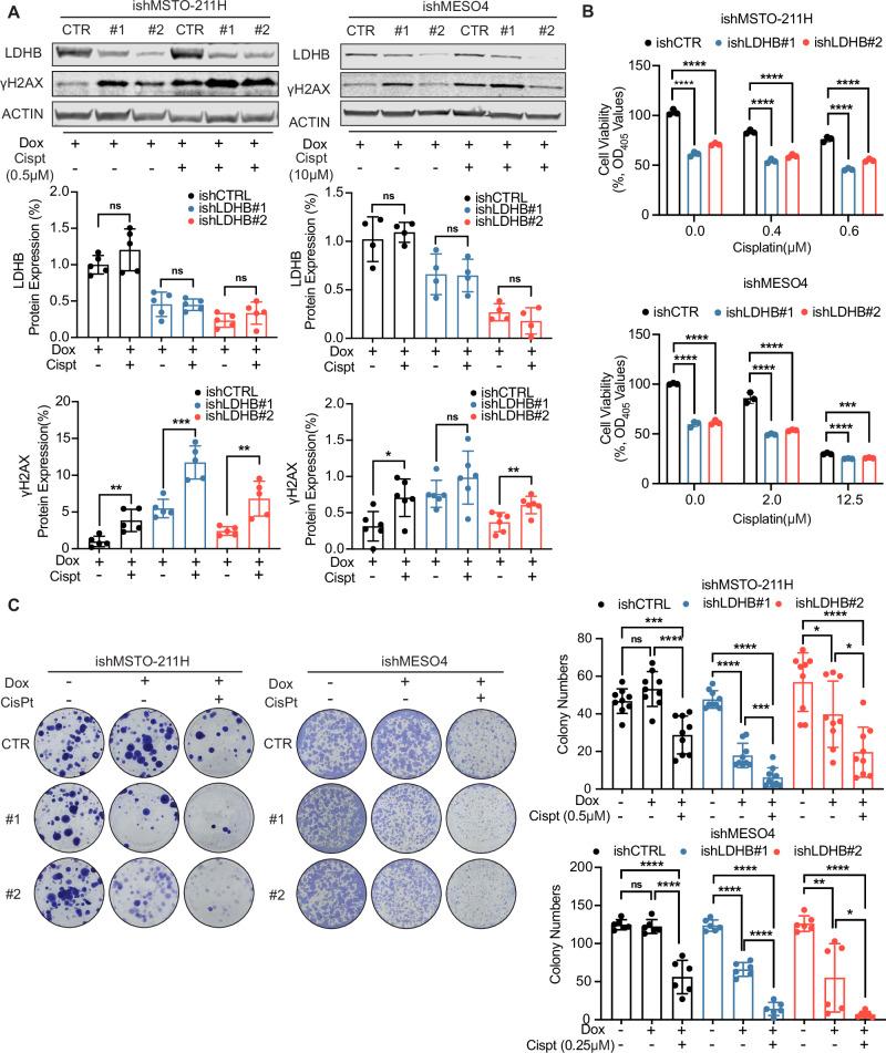
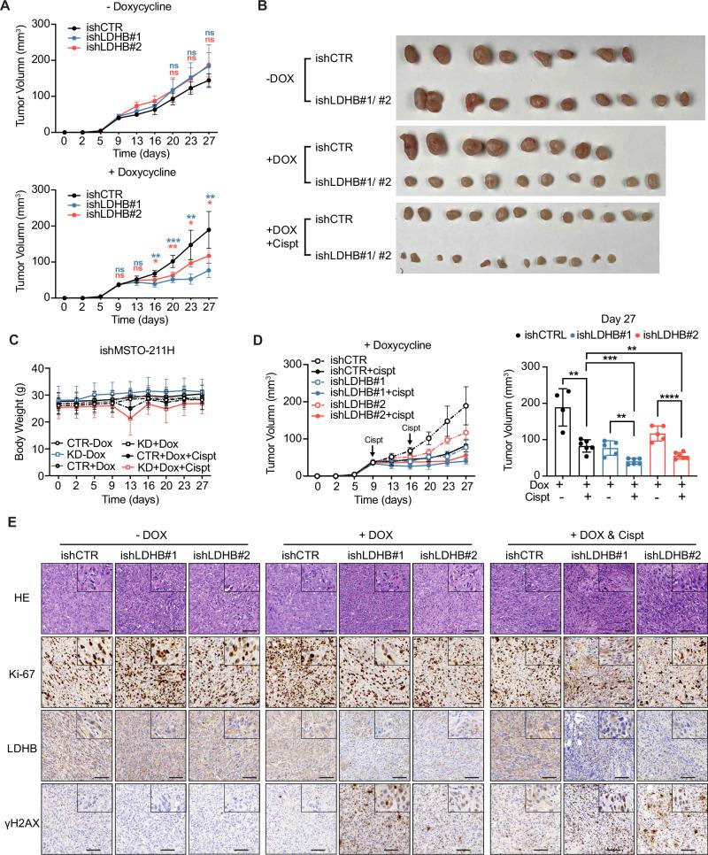
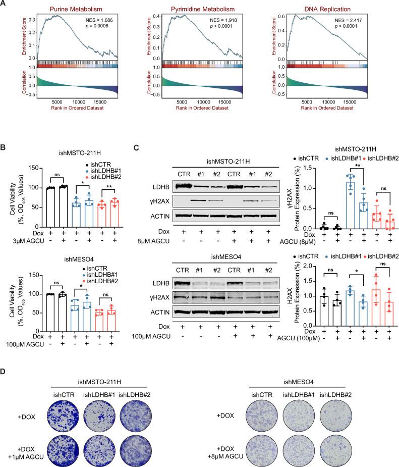
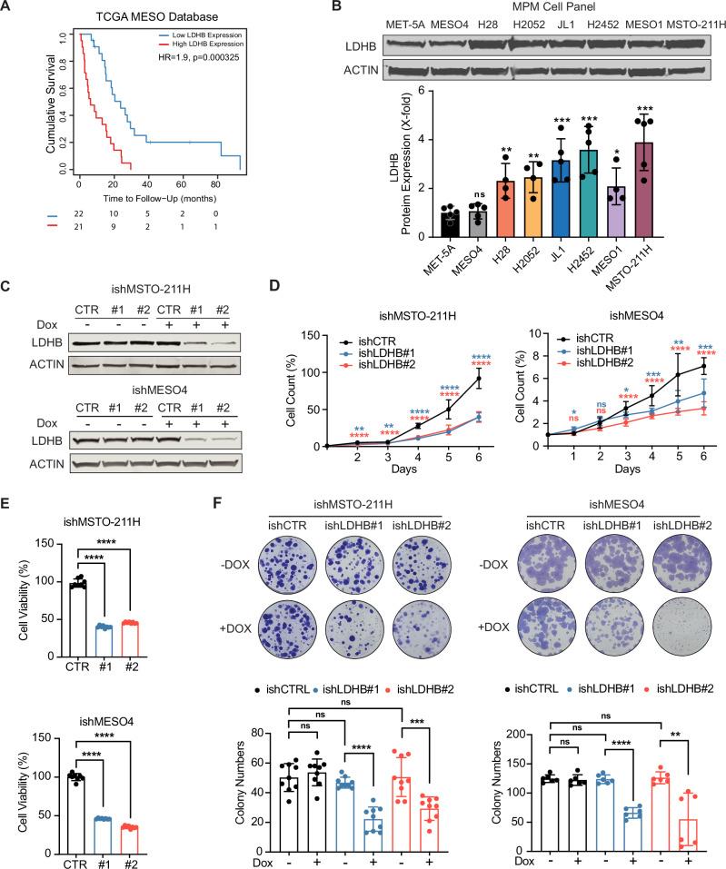
Pleural mesothelioma (PM) is an aggressive, asbestos-linked cancer with limited treatment options and a poor prognosis. Lactate dehydrogenase B (LDHB) converts lactate to pyruvate, and its silencing reduces mitochondrial metabolism, particularly nucleotide synthesis. However, whether and a role of LDHB in PM is unclear. This study aimed to investigate the effects of silencing LDHB in PM cells and their response to chemotherapy. LDHB was silenced using siRNA transfection and inducible shRNA constructs. Proliferation, colony formation, and cell viability were assessed, while DNA damage was analyzed through ɣH2AX levels. Compared to normal mesothelial cells, LDHB was highly expressed in PM cell lines. LDHB inhibition significantly reduced proliferation, cell viability, and colony formation, indicating its crucial role in PM cells. Additionally, LDHB silencing significantly increased nuclear DNA damage accumulation as indicated by elevated ɣH2AX levels, which was reversed by nucleotide supplementation. In vivo, LDHB inhibition reduced tumor growth and enhanced cisplatin's therapeutic efficacy. LDHB silencing increased ɣH2AX levels, which were further elevated with cisplatin treatment. Our results highlight LDHB as a novel therapeutic target in PM, where its inhibition induces DNA damage and improves the efficacy of cisplatin therapy.

摘要

胸膜间皮瘤(PM)是一种侵袭性的、与石棉相关的癌症,治疗选择有限且预后较差。乳酸脱氢酶B(LDHB)将乳酸转化为丙酮酸,其沉默会降低线粒体代谢,尤其是核苷酸合成。然而,LDHB在PM中的作用尚不清楚。本研究旨在探讨沉默LDHB对PM细胞的影响及其对化疗的反应。使用小干扰RNA(siRNA)转染和诱导型短发夹RNA(shRNA)构建体使LDHB沉默。评估细胞增殖、集落形成和细胞活力,同时通过γH2AX水平分析DNA损伤。与正常间皮细胞相比,LDHB在PM细胞系中高表达。抑制LDHB可显著降低增殖、细胞活力和集落形成,表明其在PM细胞中起关键作用。此外,如γH2AX水平升高所示,沉默LDHB可显著增加核DNA损伤积累,补充核苷酸可逆转这种情况。在体内,抑制LDHB可减少肿瘤生长并增强顺铂的治疗效果。沉默LDHB可增加γH2AX水平,顺铂治疗可使其进一步升高。我们的结果突出了LDHB作为PM的一个新治疗靶点,抑制它会诱导DNA损伤并提高顺铂治疗的疗效。

https://cdn.ncbi.nlm.nih.gov/pmc/blobs/ef0b/12340043/51b4992d2afa/41389_2025_571_Fig1_HTML.jpg

文献AI研究员

20分钟写一篇综述,助力文献阅读效率提升50倍。

立即体验

用中文搜PubMed

大模型驱动的PubMed中文搜索引擎

马上搜索

文档翻译

学术文献翻译模型,支持多种主流文档格式。

立即体验