Suppr超能文献

基于正念的神经反馈:脑电图和功能磁共振成像研究的系统综述。

Mindfulness-based neurofeedback: A systematic review of EEG and fMRI studies.

作者信息

Treves Isaac N, Greene Keara D, Bajwa Zia, Wool Emma, Kim Nayoung, Bauer Clemens C C, Bloom Paul A, Pagliaccio David, Zhang Jiahe, Whitfield-Gabrieli Susan, Auerbach Randy P

机构信息

Department of Brain and Cognitive Sciences, Massachusetts Institute of Technology Cambridge, MA, United States.

Department of Psychology, Northeastern University, Boston, MA, United States.

出版信息

Imaging Neurosci (Camb). 2024 Dec 20;2. doi: 10.1162/imag_a_00396. eCollection 2024.

Abstract

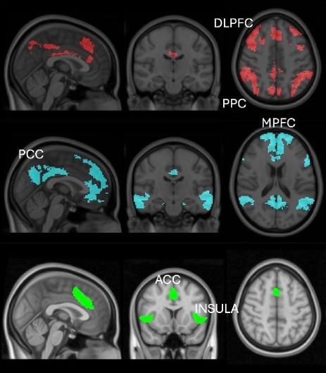
Neurofeedback concurrent with mindfulness meditation may reveal meditation effects on the brain and facilitate improved mental health outcomes. Here, we systematically reviewed electroencephalography (EEG) and functional magnetic resonance imaging (fMRI) studies of mindfulness meditation with neurofeedback (mbNF) and followed PRISMA guidelines. We identified 9 fMRI reports, consisting of 177 unique participants, and 9 EEG reports, consisting of 242 participants. Studies of fMRI focused primarily on downregulating the default-mode network (DMN). Although studies found decreases in DMN activations during neurofeedback, there is a lack of evidence for transfer effects, and the majority of studies did not employ adequate controls, for example, sham neurofeedback. Accordingly, DMN decreases may have been confounded by general task-related deactivation. EEG studies typically examined alpha, gamma, and theta frequency bands, with the most robust evidence supporting the modulation of theta band activity. Both EEG and fMRI mbNF have been implemented with high fidelity in clinical populations. However, the mental health benefits of mbNF have not been established. In general, mbNF studies would benefit from sham-controlled RCTs, as well as clear reporting (e.g., CRED-NF).

摘要

神经反馈与正念冥想相结合可能会揭示冥想对大脑的影响,并促进心理健康状况的改善。在此,我们按照PRISMA指南,系统回顾了有关正念冥想与神经反馈(mbNF)的脑电图(EEG)和功能磁共振成像(fMRI)研究。我们识别出9篇fMRI报告,涉及177名独立参与者,以及9篇EEG报告,涉及242名参与者。fMRI研究主要聚焦于下调默认模式网络(DMN)。尽管研究发现神经反馈期间DMN激活减少,但缺乏迁移效应的证据,并且大多数研究未采用充分的对照,例如假神经反馈。因此,DMN的减少可能已被一般任务相关的失活所混淆。EEG研究通常检查α、γ和θ频段,最有力的证据支持对θ频段活动的调节。EEG和fMRI的mbNF在临床人群中均已高保真实施。然而,mbNF对心理健康的益处尚未得到证实。总体而言,mbNF研究将受益于假对照随机对照试验以及清晰的报告(例如CRED-NF)。

https://cdn.ncbi.nlm.nih.gov/pmc/blobs/f1c8/12315751/a6fcae6d8ba8/imag_a_00396_fig1.jpg

文献AI研究员

20分钟写一篇综述,助力文献阅读效率提升50倍。

立即体验

用中文搜PubMed

大模型驱动的PubMed中文搜索引擎

马上搜索

文档翻译

学术文献翻译模型,支持多种主流文档格式。

立即体验