Suppr超能文献

一名终生不吸烟者出现非典型放射学和临床表现的转移性肺腺癌。

Metastatic Lung Adenocarcinoma in a Lifetime Nonsmoker With an Atypical Radiological and Clinical Presentation.

作者信息

Tun Yan Naing, Mohsin Fizza, Khan Muhammad H, Sharma Shaurya, Patti Ravikaran

机构信息

Internal Medicine, Maimonides Medical Center, Brooklyn, USA.

Pulmonary and Critical Care Medicine, Maimonides Medical Center, Brooklyn, USA.

出版信息

Cureus. 2025 Jul 14;17(7):e87943. doi: 10.7759/cureus.87943. eCollection 2025 Jul.

Abstract

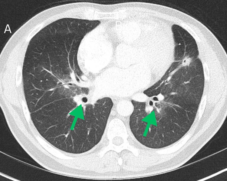
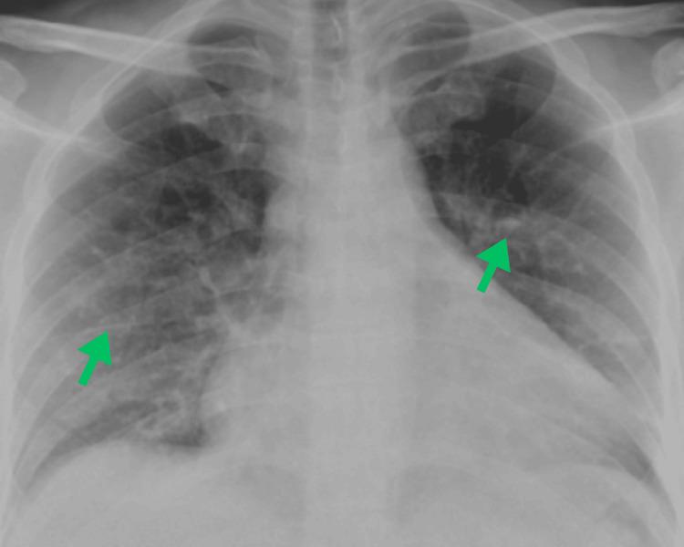
Lung cancer remains the leading cause of cancer-related deaths globally. While smoking-related lung cancers still account for most cases and cause approximately 100,000 deaths annually in the USA, smoking rates have been declining for decades. Lung cancer in never-smokers (LCINS), which tends to affect women and Asian populations, is now the fifth most common cause of cancer-related deaths worldwide. In 2023, over 20,000 lung cancer deaths in the USA were projected to occur in never-smokers, making LCINS the eighth leading cause of cancer-related mortality in the country. As the number of LCINS cases rises, it becomes increasingly important to explore the unique causes and characteristics of the disease, which calls for tailored diagnostic approaches and personalized treatment plans. Lung adenocarcinoma (LUAD) can present with atypical imaging features that often resemble benign conditions, including pneumonia, lung abscesses, post-infectious scarring, atelectasis, mediastinal masses, emphysema, and granulomatous disease. This variability in presentation can hinder accurate diagnosis and potentially delay timely treatment. While lung cancer is uncommon in younger individuals, with only 5.6% of new cases occurring in those under 54 years old, clinicians should maintain a high index of suspicion, as early detection is essential, and atypical cases can be easily missed. Here, we present a complex case involving an unusual radiologic manifestation of a lung mass, in which tuberculosis was initially considered the primary differential diagnosis.

摘要

肺癌仍然是全球癌症相关死亡的主要原因。虽然与吸烟相关的肺癌仍然占大多数病例,并且在美国每年导致约10万例死亡,但吸烟率几十年来一直在下降。从不吸烟者中的肺癌(LCINS),往往影响女性和亚洲人群,现在是全球癌症相关死亡的第五大常见原因。2023年,预计美国超过2万例肺癌死亡将发生在从不吸烟者中,使LCINS成为该国癌症相关死亡率的第八大原因。随着LCINS病例数量的增加,探索该疾病的独特病因和特征变得越来越重要,这需要量身定制的诊断方法和个性化的治疗方案。肺腺癌(LUAD)可能表现出非典型的影像学特征,这些特征通常类似于良性疾病,包括肺炎、肺脓肿、感染后瘢痕、肺不张、纵隔肿块、肺气肿和肉芽肿性疾病。这种表现的变异性可能会阻碍准确诊断并可能延迟及时治疗。虽然肺癌在年轻人中并不常见,只有5.6%的新病例发生在54岁以下的人群中,但临床医生应保持高度的怀疑指数,因为早期检测至关重要,非典型病例很容易被漏诊。在此,我们介绍一个复杂病例,涉及肺部肿块的不寻常放射学表现,其中最初将肺结核视为主要鉴别诊断。

https://cdn.ncbi.nlm.nih.gov/pmc/blobs/e055/12350203/4da3b54994c8/cureus-0017-00000087943-i01.jpg

文献AI研究员

20分钟写一篇综述,助力文献阅读效率提升50倍。

立即体验

用中文搜PubMed

大模型驱动的PubMed中文搜索引擎

马上搜索

文档翻译

学术文献翻译模型,支持多种主流文档格式。

立即体验