Suppr超能文献

肝脏特异性细胞外基质可构建高保真患者来源的肝细胞癌异种移植模型。

Liver-Specific Extracellular Matrix Enables High-Fidelity Patient-Derived Hepatocellular Carcinoma Xenograft Models.

作者信息

Kim Su Kyeom, Bae Jungho, Lee Mi Jeong, Han Dai Hoon, Cho Seung-Woo

机构信息

Department of Biotechnology, Yonsei University, Seoul 03722, Republic of Korea.

Department of Surgery, Yonsei University College of Medicine, Seoul 03722, Republic of Korea.

出版信息

Biomater Res. 2025 Aug 21;29:0242. doi: 10.34133/bmr.0242. eCollection 2025.

Abstract

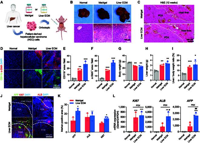
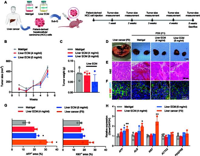
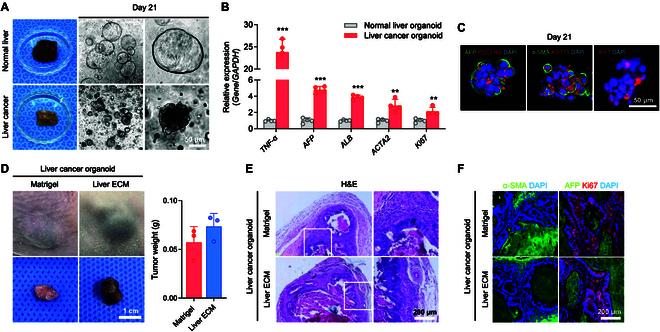
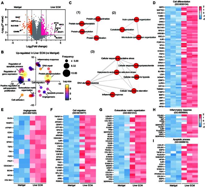
Patient-derived tumor xenograft (PDX) models serve as powerful tools in oncology research owing to their ability to capture patient-specific tumor heterogeneity and clinical behavior. However, the conventional matrices derived from murine tumors, commonly used to generate PDX models, suffer from key limitations such as lack of tissue specificity, high production costs, and inconsistent batch quality. In response, our study investigates the use of decellularized liver extracellular matrix (Liver ECM) as a biomimetic alternative that more accurately recapitulates the native hepatic microenvironment. We demonstrate that Liver ECM, enriched with liver-specific biochemical cues, enables robust engraftment, growth, and metastasis of patient-derived hepatocellular carcinoma cells in both subcutaneous and orthotopic PDX models. Notably, orthotopic models established with Liver ECM exhibited enhanced metastatic behavior, particularly to the intestine, compared to those formed using conventional matrices. Transcriptomic analysis further revealed activation of key pathways associated with cancer progression, including angiogenesis, apoptosis, migration, and inflammation. Additionally, we extend the application of Liver ECM to patient-derived organoid xenografts, which showed improved tumorigenicity and retained pathophysiological features of the original tumor tissue. Together, these findings underscore the potential of liver-specific ECM as a superior platform for generating physiologically relevant PDX models and enhancing the translational relevance of preclinical cancer studies.

摘要

患者来源的肿瘤异种移植(PDX)模型因其能够捕捉患者特异性肿瘤异质性和临床行为,成为肿瘤学研究中的有力工具。然而,常用于生成PDX模型的源自鼠类肿瘤的传统基质存在关键局限性,如缺乏组织特异性、生产成本高以及批次质量不一致。作为回应,我们的研究调查了使用去细胞化肝脏细胞外基质(肝脏ECM)作为一种仿生替代物,它能更准确地重现天然肝脏微环境。我们证明,富含肝脏特异性生化线索的肝脏ECM能够使患者来源的肝癌细胞在皮下和原位PDX模型中实现强劲的植入、生长和转移。值得注意的是,与使用传统基质形成的模型相比,用肝脏ECM建立的原位模型表现出增强的转移行为,尤其是向肠道的转移。转录组分析进一步揭示了与癌症进展相关的关键通路的激活,包括血管生成、凋亡、迁移和炎症。此外,我们将肝脏ECM的应用扩展到患者来源的类器官异种移植,其显示出改善的肿瘤发生能力,并保留了原始肿瘤组织的病理生理特征。总之,这些发现强调了肝脏特异性ECM作为生成生理相关PDX模型和增强临床前癌症研究转化相关性的优越平台的潜力。

https://cdn.ncbi.nlm.nih.gov/pmc/blobs/c73d/12369845/5b2d95442a5e/bmr.0242.fig.001.jpg

文献AI研究员

20分钟写一篇综述,助力文献阅读效率提升50倍。

立即体验

用中文搜PubMed

大模型驱动的PubMed中文搜索引擎

马上搜索

文档翻译

学术文献翻译模型,支持多种主流文档格式。

立即体验