Suppr超能文献

纳米医学的最新进展:用于癌症治疗的纳米PROTAC递送系统的前沿研究

Recent Advances in Nanomedicine: Cutting-Edge Research on Nano-PROTAC Delivery Systems for Cancer Therapy.

作者信息

Wu Xiaoqing, Shu Yueli, Zheng Yao, Zhang Peichuan, Cong Hanwen, Zou Yingpei, Cai Hao, Zha Zhengyu

机构信息

Department of Thoracic Surgery and Institute of Thoracic Oncology, Frontiers Science Center for Disease-Related Molecular Network, West China Hospital, Sichuan University, Chengdu 610041, China.

West China School of Pharmacy, Sichuan University, Chengdu 610041, China.

出版信息

Pharmaceutics. 2025 Aug 10;17(8):1037. doi: 10.3390/pharmaceutics17081037.

Abstract

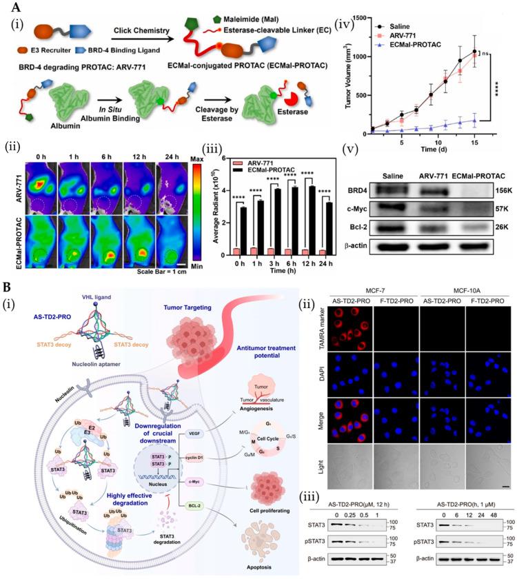
Proteolysis-targeting chimeras (PROTACs) selectively degrade target proteins by recruiting intracellular E3 ubiquitin ligases, overcoming the limitations of traditional small-molecule inhibitors that merely block protein function. This approach has garnered significant interest in precision cancer therapy. However, the clinical translation of PROTACs is hindered by their typically high molecular weight, poor membrane permeability, and suboptimal pharmacokinetic properties. Nanodrug delivery technologies represent a promising approach to overcome the limitations of PROTACs. By encapsulating, conjugating, or integrating PROTACs into functionalized nanocarriers, these systems can substantially enhance solubility and biostability, enable tumor-targeted and stimuli-responsive delivery, and thereby effectively alleviate the "hook effect" and minimize off-target toxicity. This review systematically outlines the primary design strategies for current nano-PROTAC delivery systems, including physical encapsulation, chemical conjugation, carrier-free self-assembly systems, and intelligent "split-and-mix" delivery platforms. We provide an overview and evaluation of recent advances in diverse nanomaterial carriers-such as lipid-based nanoparticles, polymeric nanoparticles, inorganic nanoparticles, biological carriers, and hybrid nanoparticles-highlighting their synergistic therapeutic potential for PROTACs delivery. The clinical translation prospects of these innovative systems are also discussed. This comprehensive analysis aims to deepen the understanding of this rapidly evolving field, address current challenges and opportunities, promote the advancement of nano-PROTACs, and offer insights into their future development.

摘要

蛋白酶靶向嵌合体(PROTACs)通过招募细胞内E3泛素连接酶选择性地降解靶蛋白,克服了传统小分子抑制剂仅阻断蛋白功能的局限性。这种方法在精准癌症治疗中引起了广泛关注。然而,PROTACs的临床转化受到其通常分子量高、膜通透性差和药代动力学性质欠佳的阻碍。纳米药物递送技术是克服PROTACs局限性的一种有前景的方法。通过将PROTACs封装、缀合或整合到功能化纳米载体中,这些系统可以显著提高溶解度和生物稳定性,实现肿瘤靶向和刺激响应递送,从而有效缓解“钩效应”并将脱靶毒性降至最低。本综述系统地概述了当前纳米PROTAC递送系统的主要设计策略,包括物理封装、化学缀合、无载体自组装系统和智能“拆分与混合”递送平台。我们对各种纳米材料载体的最新进展进行了概述和评估,如脂质基纳米颗粒、聚合物纳米颗粒、无机纳米颗粒、生物载体和杂化纳米颗粒,突出了它们在PROTACs递送方面的协同治疗潜力。还讨论了这些创新系统的临床转化前景。这一全面分析旨在加深对这个快速发展领域的理解,应对当前的挑战和机遇,推动纳米PROTACs的发展,并为其未来发展提供见解。

https://cdn.ncbi.nlm.nih.gov/pmc/blobs/939c/12389584/581a4ea05aa4/pharmaceutics-17-01037-g002.jpg

文献AI研究员

20分钟写一篇综述,助力文献阅读效率提升50倍。

立即体验

用中文搜PubMed

大模型驱动的PubMed中文搜索引擎

马上搜索

文档翻译

学术文献翻译模型,支持多种主流文档格式。

立即体验