Suppr超能文献

GS-441524治疗一只患有猫传染性腹膜炎病毒和脓性肉芽肿性横结肠病变的猫。

GS-441524 Treatment in a Cat With Feline Infectious Peritonitis Virus and Pyogranulomatous Transverse Colon Lesion.

作者信息

Kim Tae-Young, Oh Ye-In

机构信息

Jukjeon Animal Medical Center, Daegu, Republic of Korea.

Department of Veterinary Internal Medicine, College of Veterinary Medicine and Institute for Veterinary Biomedical Science, Kyungpook National University, Daegu, Republic of Korea.

出版信息

In Vivo. 2025 Sep-Oct;39(5):2760-2765. doi: 10.21873/invivo.14074.

Abstract

BACKGROUND/AIM: Feline infectious peritonitis (FIP) is a fatal disease caused by feline coronavirus (FCoV), manifesting as effusive (wet) or non-effusive (dry) forms. Granulomatous lesions in the gastrointestinal tract, particularly the colon, are rare and pose diagnostic and therapeutic challenges.

CASE REPORT

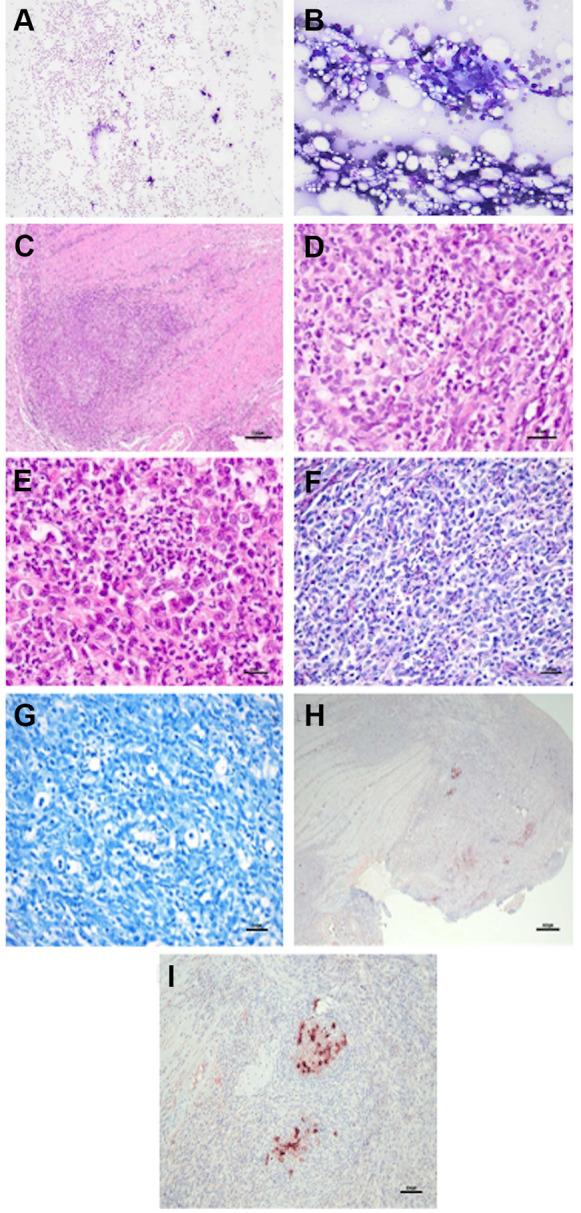
A 7-year-old castrated male domestic shorthair cat (4.1 kg) presented with anorexia and vomiting. Blood tests showed an albumin:globulin ratio of 0.5, a mild elevation in aspartate aminotransferase, mild leukocytosis, and a severe elevation of feline serum amyloid A. The abdominal ultrasound and computed tomography imaging showed a mass in the transverse colon and surrounding mesenteric lymph nodes. The mass was observed to be relatively well vascularized, with areas of low-density uneven necrosis. Histological examination revealed severe pyogranulomatous inflammation with macrophages, neutrophils, and lymphocytes predominantly present in both the affected colon and lymphoid tissues. Immunohistochemistry for feline infectious peritonitis (FIP) virus antigen of the lesion showed a strong positive result, confirming limited and localized lesion induction by FIP virus infection. The cat received GS-441524 for 12 weeks, resulting in clinical improvement, lesion resolution, and normalized lab results. RT-PCR and antibody tests were negative post-treatment.

CONCLUSION

This case report describes a rare presentation of FIP virus infection, characterized by localized lesions confined to a specific segment of the colon. In this case, treatment with the nucleoside analog GS-441524 was very effective in improving the localized lesion and demonstrated excellent efficacy in clearing the FIP virus.

摘要

背景/目的:猫传染性腹膜炎(FIP)是一种由猫冠状病毒(FCoV)引起的致命疾病,表现为渗出性(湿性)或非渗出性(干性)形式。胃肠道尤其是结肠的肉芽肿性病变罕见,给诊断和治疗带来挑战。

病例报告

一只7岁去势家养短毛雄性猫(体重4.1千克)出现厌食和呕吐症状。血液检测显示白蛋白与球蛋白比值为0.5,天冬氨酸转氨酶轻度升高,轻度白细胞增多,猫血清淀粉样蛋白A严重升高。腹部超声和计算机断层扫描成像显示横结肠有一个肿块以及周围肠系膜淋巴结。观察到该肿块血管相对丰富,有低密度不均匀坏死区域。组织学检查显示严重的脓性肉芽肿性炎症,巨噬细胞、中性粒细胞和淋巴细胞主要存在于受影响的结肠和淋巴组织中。对病变进行猫传染性腹膜炎(FIP)病毒抗原的免疫组织化学检测显示强阳性结果,证实FIP病毒感染引起局限性病变。这只猫接受了12周的GS - 441524治疗,临床症状改善,病变消退,实验室检查结果恢复正常。治疗后逆转录聚合酶链反应(RT - PCR)和抗体检测均为阴性。

结论

本病例报告描述了FIP病毒感染的一种罕见表现,其特征为局限于结肠特定节段的局限性病变。在本病例中,核苷类似物GS - 441524治疗对改善局限性病变非常有效,并在清除FIP病毒方面显示出卓越疗效。

https://cdn.ncbi.nlm.nih.gov/pmc/blobs/84c1/12396036/85bea76a1175/in_vivo-39-2762-g0001.jpg

文献AI研究员

20分钟写一篇综述,助力文献阅读效率提升50倍。

立即体验

用中文搜PubMed

大模型驱动的PubMed中文搜索引擎

马上搜索

文档翻译

学术文献翻译模型,支持多种主流文档格式。

立即体验